Перейти к содержанию
Стоматология для всех

Вопросы по лечению


Анатолий_82

Рекомендуемые сообщения

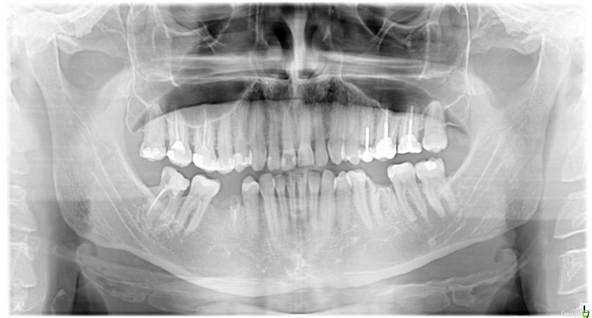
Добрый день! Собрался заняться зубами. Обошел несколько клиник т.к. мнения у врачей разделились, хотел бы проконсультироваться здесь.

 

1. Зубы 17, 18 покрыть коронками (нужно ли перелечивать каналы?).

Один врач на КТ увидел затемнения сбоку зубов у корней предложил, удалить.

2. 25 зуб сказали на удаление, один врач предложил попробовать пролечить. Имеет ли смысл попробовать перелечить.

С таким корнем хожу уже больше 5 лет точно.

3. 26 и 27 коронки, на 27 скол почти до десны. несколько врачей предложили так же их удалить.

4. 36 удаление, имплантация.

5. 45 удаление, предлагают одномоментную имплантацию или отсроченную. 46 зуб был удален давно кость тонкая,

возможен ли вариант вместо 45 и 46 поставить один имплант после костной пластики или нужно 2 импланта?.

6. 48 можно восстановить коронкой с пролечиванием каналов? Или тоже под имплантацию. Имеет ли смысл в принципе перелечивать и ставить коронку на восьмерку? 

 

Как я понимаю сначала лучше поставить коронки. А затем заняться имплантами. На каком этапе лучше заняться удалением.

post-58848-0-59612500-1571146033_thumb.jpg

post-58848-0-16197700-1571146142_thumb.jpg

Ссылка на комментарий

Для публикации сообщений создайте учётную запись или авторизуйтесь

Вы должны быть пользователем, чтобы оставить комментарий

Создать аккаунт

Зарегистрируйте новый аккаунт в нашем сообществе. Это очень просто!

Регистрация нового пользователя

Войти

Уже есть аккаунт? Войти в систему.

Войти
×
×
  • Создать...
Вверх