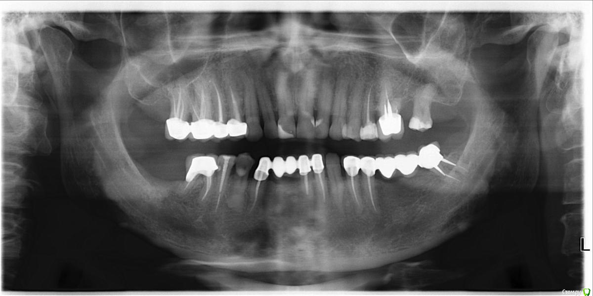
СеменМ Опубликовано 14 октября, 2019 Поделиться Опубликовано 14 октября, 2019 Время от времени, при плохой погоде болят зубы. один перестает начинает другой и так по кругу. Невралгия тройничного нерва? Оголены корни? Инфекция? Ссылка на комментарий
Saymon Опубликовано 18 октября, 2019 Поделиться Опубликовано 18 октября, 2019 (изменено) Добрый день. В Вашем случае, лучше обратиться на очный осмотр к доктору терапевту и пародонтологу. Нужно смотреть, трогать и так далее. Изменено 18 октября, 2019 пользователем Saymon Ссылка на комментарий
Рекомендуемые сообщения
Для публикации сообщений создайте учётную запись или авторизуйтесь
Вы должны быть пользователем, чтобы оставить комментарий
Создать аккаунт
Зарегистрируйте новый аккаунт в нашем сообществе. Это очень просто!
Регистрация нового пользователяВойти
Уже есть аккаунт? Войти в систему.
Войти