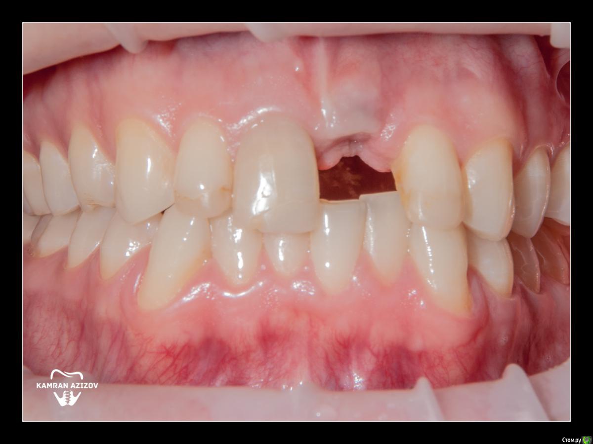
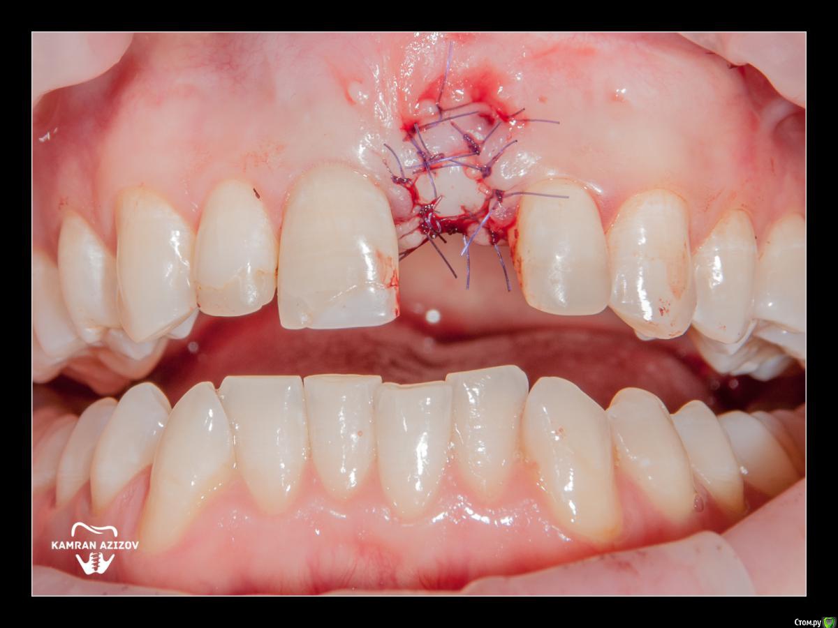
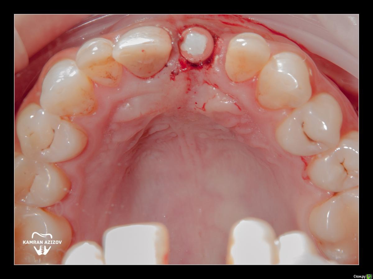
kamranchick Опубликовано 8 октября, 2019 Поделиться Опубликовано 8 октября, 2019 удаление зуба+консервация лунки с вестибулярным ССТчерез 2 месяца имплантация с фдм по карлоссучерез 4 месяца замена на более длинный фдм и широкийпостоянная коронка 5 Ссылка на комментарий
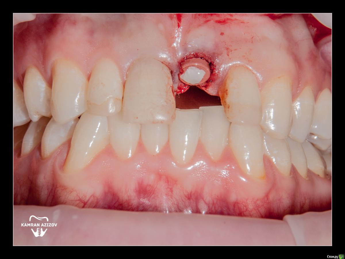
Irouil Опубликовано 9 октября, 2019 Поделиться Опубликовано 9 октября, 2019 Жаль фотки до удаления нет, кажется там дефект вестибулярно был Ссылка на комментарий
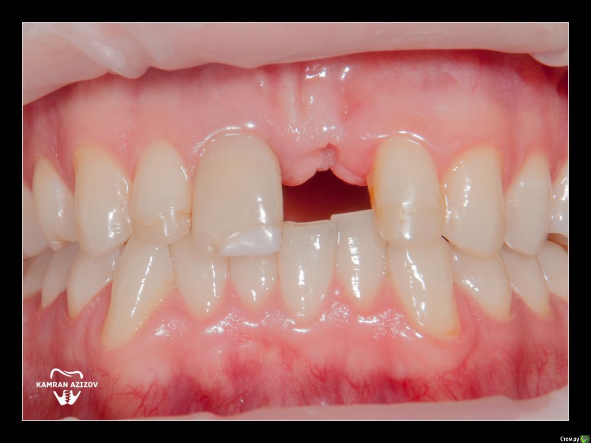
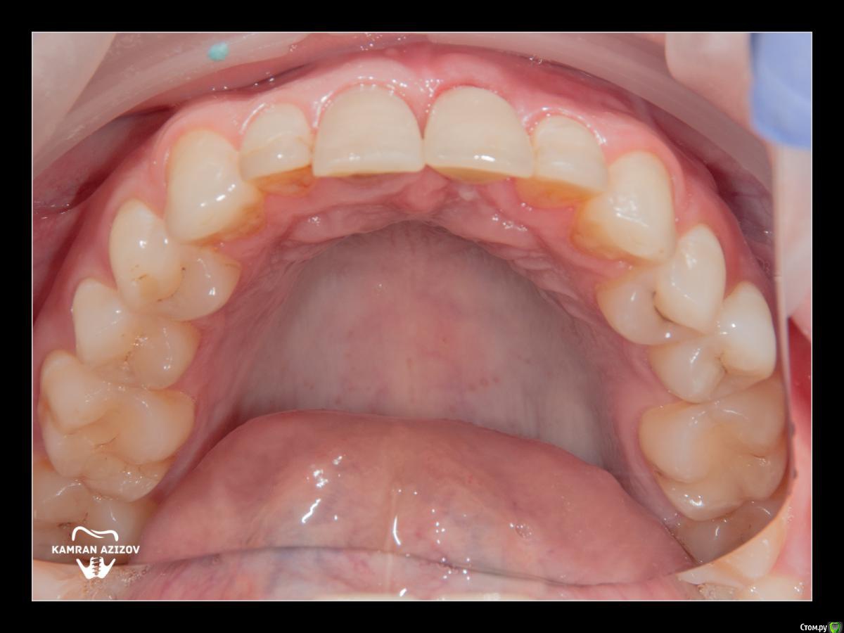
Nazim_NV86 Опубликовано 10 октября, 2019 Поделиться Опубликовано 10 октября, 2019 посмотрел только последнюю фотку. Такая зпкд всё прощает Ссылка на комментарий
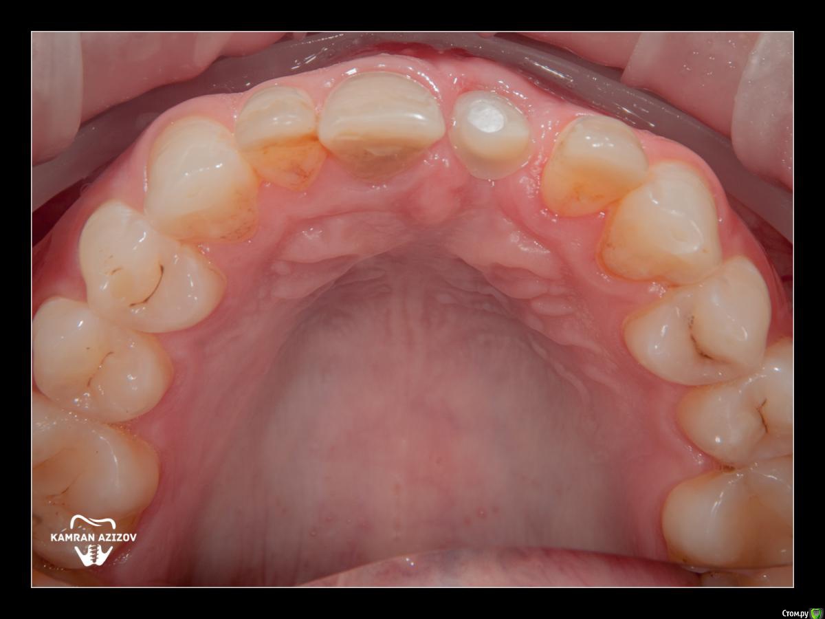
Dman Опубликовано 11 октября, 2019 Поделиться Опубликовано 11 октября, 2019 На 9 фото не понятно что, другой формирователь и корректировал десну? Ссылка на комментарий
kamranchick Опубликовано 11 октября, 2019 Автор Поделиться Опубликовано 11 октября, 2019 На 9 фото не понятно что, другой формирователь и корректировал десну?да. это такой формирователь на штраумане который винтом прикручивается, денег не было на времянку, пришлось поставить такой формик Ссылка на комментарий
Dman Опубликовано 11 октября, 2019 Поделиться Опубликовано 11 октября, 2019 да. это такой формирователь на штраумане который винтом прикручивается, денег не было на времянку, пришлось поставить такой формикс десной то что делали - выглядит как корректированная бором или лазером Ссылка на комментарий
kamranchick Опубликовано 12 октября, 2019 Автор Поделиться Опубликовано 12 октября, 2019 Не. Ничего особо не делал.Формик зарос. Немного освободил от мягких тканей. Чуть чуть скальпелечком прошёл и вкрутил Новый Ссылка на комментарий
Рекомендуемые сообщения
Для публикации сообщений создайте учётную запись или авторизуйтесь
Вы должны быть пользователем, чтобы оставить комментарий
Создать аккаунт
Зарегистрируйте новый аккаунт в нашем сообществе. Это очень просто!
Регистрация нового пользователяВойти
Уже есть аккаунт? Войти в систему.
Войти