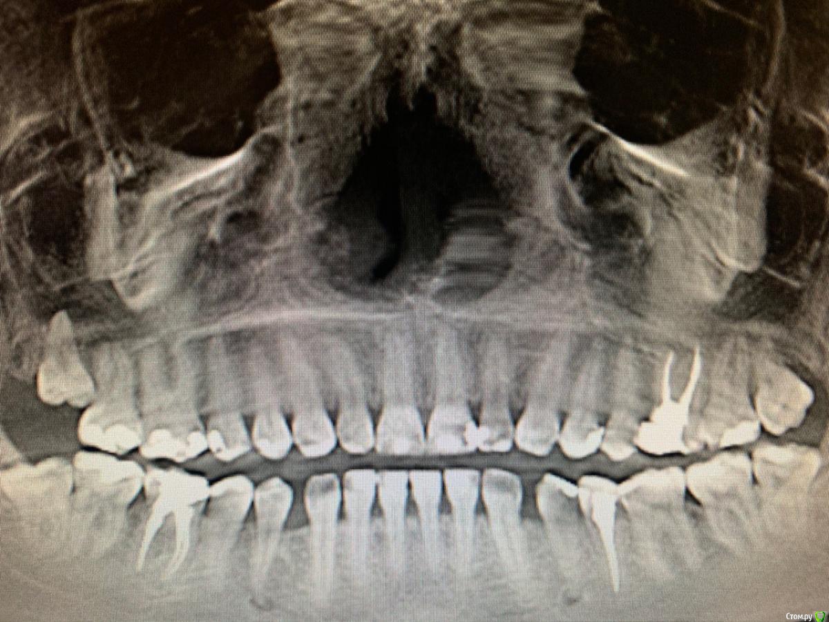
Nataly45 Опубликовано 8 октября, 2019 Поделиться Опубликовано 8 октября, 2019 Добрый вечер, мне очень нужен Ваш совет. Сразу скажу я была в 2 клиниках. и Завтра записала к члх на удаление этой 6 ки. Но очень сомневаюсь В пятницу вечером больно кусать стало, в субботу немного болело(пошла сразу к врачу сделали снимок всей челюсти) сказали надо именно удалять и именно у члх, прописали антибиотик и обезбол. Купила ,начала пить сразу. В воскресенье началась к вечеру приличная боль , о еде и речи не могло быть даже челюсть сомкнуть не могла. В понедельник,чтобы перепроверить первый диагноз удаление пошла в клинику другую,показала им снимок. Там врач предложила попробовать сохранить свой зуб играясь с лекарством,те каждые 2 недели разное лекарство в зуб закладывать,а потом резекцию. Дело это не быстрое но может сохраним зуб и поможет. Но гарантий никаких ,если что удалим. в понедельник началась мега адовая боль,ничего не помогала,звоню первому врачу,сменили антибиотик и обезбол и о чудо, мне стало легче и отлегло. Сегодня целый день не болит. но кусать больно . сказали еще что под зубом киста.Что делать? удалять или попробовать свой сохранить. Спасибо Ссылка на комментарий
Nazim_NV86 Опубликовано 8 октября, 2019 Поделиться Опубликовано 8 октября, 2019 Найдите опытного стоматолога-хирурга и всё. Ссылка на комментарий
Nataly45 Опубликовано 8 октября, 2019 Автор Поделиться Опубликовано 8 октября, 2019 Найдите опытного стоматолога-хирурга и всё. Завтра , операция назначена на 19, перед ней хочу с ним поговорить. Но эта клиника мне лечение с лекарством и последующей резекцией Десны не предлагала Ссылка на комментарий
Рекомендуемые сообщения
Для публикации сообщений создайте учётную запись или авторизуйтесь
Вы должны быть пользователем, чтобы оставить комментарий
Создать аккаунт
Зарегистрируйте новый аккаунт в нашем сообществе. Это очень просто!
Регистрация нового пользователяВойти
Уже есть аккаунт? Войти в систему.
Войти