montus Опубликовано 8 октября, 2019 Поделиться Опубликовано 8 октября, 2019 (изменено) Доброго времени суток врачи и пациенты.Ситуация:Имплантанты Osstem, установка 4 имплантантовПри установке одного из четырех имплантантов на стадии ввинчивания формирователя десны обнаружен брак-не закручивался. После безуспешных попыток ввинчивания, врач принимает решение по удалению внутрикостного элемента(еле достали-кость крепкая), после добавление костного материала(бесплатно) и установка нового элемента , теперь уже без формирователя десны(было по плану в эту же операцию). Вопрос: 1. действительно ли производитель Osstem допускает такого вида брак или здесь может "пахнуть" подменой2. возможна ли замену на аналог(не оригинал) проверить пациенту? так как к врачу пока претензий нет, но руководства клиники теоретически же может проводить такую политику3. существует возможность и (или) обязанность клиники по проверке и исключению такого рода брака, все таки последствия есть-пусть и не "смертельные" Информация необходима для дальнейшего выбора систем(планирую еще ставить 4 имплантанта) + обидно за разрушенную кость(на своей то наверное лучше держался бы-судя по тому сколько потратили время на удаление элемента) Изменено 8 октября, 2019 пользователем montus Ссылка на комментарий
hogsmeed Опубликовано 8 октября, 2019 Поделиться Опубликовано 8 октября, 2019 А другой формик пробовали?А метчик резьбы? Ссылка на комментарий
montus Опубликовано 8 октября, 2019 Автор Поделиться Опубликовано 8 октября, 2019 (изменено) А другой формик пробовали?А метчик резьбы?К сожалению доп инфы нет-я все таки пациент, инфа со слов доктора и обсуждений с помощниками во время операции. Естественно может быть другие варианты развития ситуации и были, но наверное не все клиники готовы к плану Б, а операцию надо было закончить-так как и так 3 часа была Изменено 8 октября, 2019 пользователем montus Ссылка на комментарий
Nazim_NV86 Опубликовано 8 октября, 2019 Поделиться Опубликовано 8 октября, 2019 Доброго времени суток врачи и пациенты.Ситуация:Имплантанты Osstem, установка 4 имплантантовПри установке одного из четырех имплантантов на стадии ввинчивания формирователя десны обнаружен брак-не закручивался. После безуспешных попыток ввинчивания, врач принимает решение по удалению внутрикостного элемента(еле достали-кость крепкая), после добавление костного материала(бесплатно) и установка нового элемента , теперь уже без формирователя десны(было по плану в эту же операцию). Вопрос: 1. действительно ли производитель Osstem допускает такого вида брак или здесь может "пахнуть" подменой2. возможна ли замену на аналог(не оригинал) проверить пациенту? так как к врачу пока претензий нет, но руководства клиники теоретически же может проводить такую политику3. существует возможность и (или) обязанность клиники по проверке и исключению такого рода брака, все таки последствия есть-пусть и не "смертельные" Информация необходима для дальнейшего выбора систем(планирую еще ставить 4 имплантанта) + обидно за разрушенную кость(на своей то наверное лучше держался бы-судя по тому сколько потратили время на удаление элемента)Имплант уже в упаковке идет с носителем, который уже в него вкручен. Если он точно выкручен целым из импланта после установки, то и формирователь вкрутится 100 %. не 3.5 диаметр случайно в "крепкую кость" крутили ? Ссылка на комментарий
колесников Опубликовано 8 октября, 2019 Поделиться Опубликовано 8 октября, 2019 Вероятно имплант треснул при установке или винт имплантовода (формирователя?) сломался в шахте Импланта. Можно только предполагать,недостаточно информации,очевидно одно: имплант поставляется с вкрученным имплантоводом,следовательно с резьбой все впорядке. на реплики смысла нет,он довольно дешев в закупке. Проверять до открытия контейнера,такой возможности нет. Ссылка на комментарий
Большой Зеленый Опубликовано 8 октября, 2019 Поделиться Опубликовано 8 октября, 2019 Может тупо косточка наросла на плечи.. http://forum.stom.ru/topic/32502-lyogkikh-putej-ne-ischem/?hl=%D0%B6%D0%B8%D0%B2%D0%B8&do=findComment&comment=547164 Ссылка на комментарий
montus Опубликовано 8 октября, 2019 Автор Поделиться Опубликовано 8 октября, 2019 Имплант уже в упаковке идет с носителем, который уже в него вкручен. Если он точно выкручен целым из импланта после установки, то и формирователь вкрутится 100 %. не 3.5 диаметр случайно в "крепкую кость" крутили ?тогда вообще мутная история. про диаметр не в курсе-попробую уточнить. Просто у меня, как у обычного потребителя, в голове не укладывается эта ситуация, что производитель данной системы может допустить такие дефекты. Не пьяные же токари их выточили на заводе по принципу и так сойдет. Хочу разобраться -вопрос принципиальный. Ссылка на комментарий
montus Опубликовано 8 октября, 2019 Автор Поделиться Опубликовано 8 октября, 2019 Может тупо косточка наросла на плечи.. http://forum.stom.ru/topic/32502-lyogkikh-putej-ne-ischem/?hl=%D0%B6%D0%B8%D0%B2%D0%B8&do=findComment&comment=547164нарости то не успело ничего, это же сразу во время операции один вставили, потом достали и новый вставили. Ссылка на комментарий
Большой Зеленый Опубликовано 9 октября, 2019 Поделиться Опубликовано 9 октября, 2019 , а операцию надо было закончить-так как и так 3 часа былаЕсть подозрение что Вы не в то место зашли. У меня на 4 имплантанта уходит максимум 30 минут. И то это если они в разных местах по разным челюстям. Снимки покажите Ссылка на комментарий
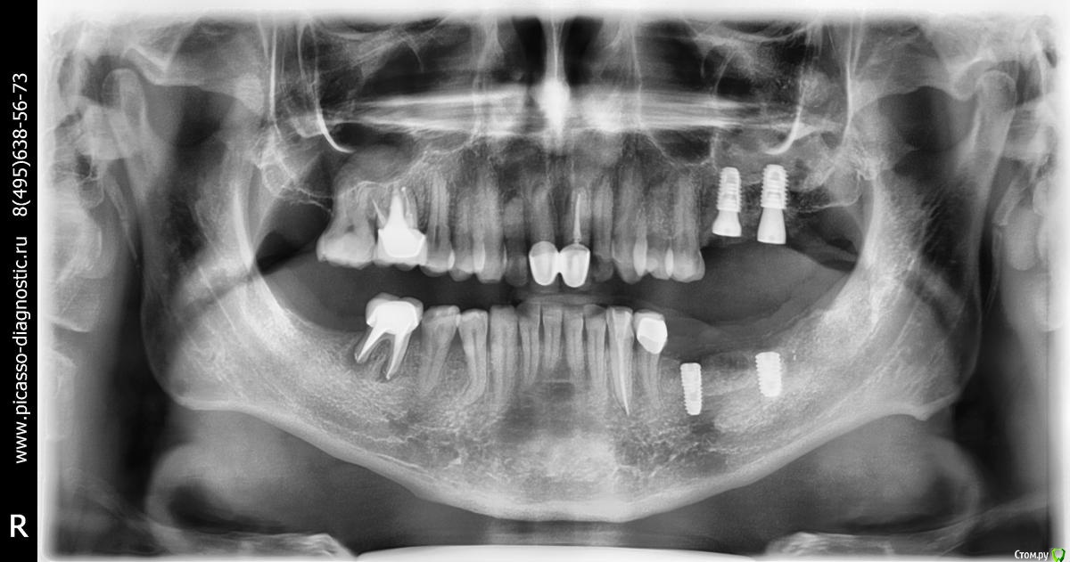
montus Опубликовано 9 октября, 2019 Автор Поделиться Опубликовано 9 октября, 2019 (изменено) Есть подозрение что Вы не в то место зашли. У меня на 4 имплантанта уходит максимум 30 минут. И то это если они в разных местах по разным челюстям. Снимки покажитена данный момент есть только такой снимок, остальные в клиникепроблема брака при установке была на нижней челюсти Изменено 9 октября, 2019 пользователем montus Ссылка на комментарий
red_butler Опубликовано 9 октября, 2019 Поделиться Опубликовано 9 октября, 2019 Ответить не видя имплант и формирователь не возможно. Я бы не до добавлял имплант, а протезировал нижнюю челюсть слева мостовидным протезом 1 Ссылка на комментарий
Irouil Опубликовано 9 октября, 2019 Поделиться Опубликовано 9 октября, 2019 У осстемов винт, фиксирующий имплантоввод в имплантате может сломаться, если по ошибке взять не тот инструмент. Ключ там не похож на ключи в других системах, поэтому даже опытный, но первый раз работающий с этой системой доктор может ошибиться. Тогда, конечно, формирователь уже не закрутится. На снимке имплантаты выглядят установленными очень грамотно, поводов для беспокойств не вижу. Подмену имплантата исключаю. Проверяется это элементарно и проблем, в случае подмены, клиника наест себе на всю голову. Да и разница в стоимости между оригиналом и контрафактом будет априори мизерная. Ссылка на комментарий
montus Опубликовано 9 октября, 2019 Автор Поделиться Опубликовано 9 октября, 2019 У осстемов винт, фиксирующий имплантоввод в имплантате может сломаться, если по ошибке взять не тот инструмент. Ключ там не похож на ключи в других системах, поэтому даже опытный, но первый раз работающий с этой системой доктор может ошибиться. Тогда, конечно, формирователь уже не закрутится. На снимке имплантаты выглядят установленными очень грамотно, поводов для беспокойств не вижу. Подмену имплантата исключаю. Проверяется это элементарно и проблем, в случае подмены, клиника наест себе на всю голову. Да и разница в стоимости между оригиналом и контрафактом будет априори мизерная.понял-будем надеется, что неприятные впечатления от имплантации на этом и закончится. врач то меня устраивает- вызывает доверие Ссылка на комментарий
red_butler Опубликовано 9 октября, 2019 Поделиться Опубликовано 9 октября, 2019 У осстемов винт, фиксирующий имплантоввод в имплантате может сломаться, если по ошибке взять не тот инструмент. Ключ там не похож на ключи в других системах, поэтому даже опытный, но первый раз работающий с этой системой доктор может ошибиться. нагнал на меня страху, в пятницу первый остем инсталлирую Ссылка на комментарий
montus Опубликовано 9 октября, 2019 Автор Поделиться Опубликовано 9 октября, 2019 Ответить не видя имплант и формирователь не возможно. Я бы не до добавлял имплант, а протезировал нижнюю челюсть слева мостовидным протезома верхнею то же так планирует мостом, если я не ошибаюсь. или там другие варианты по снимку Ссылка на комментарий
Irouil Опубликовано 9 октября, 2019 Поделиться Опубликовано 9 октября, 2019 а верхнею то же так планирует мостом, если я не ошибаюсь. или там другие варианты по снимкуСудя по снимку там два имплантата рядом, поэтому каждый будет со своей коробкой, хотя их можно и объединить, но мостом они от этого не станут нагнал на меня страху, в пятницу первый остем инсталлирую )Ключ на имплантоввод просто накидной, слышал случаи как отвёрткой имплантат устанавливали и скручивали головку винта. Ссылка на комментарий
колесников Опубликовано 10 октября, 2019 Поделиться Опубликовано 10 октября, 2019 слышал случаи как отвёрткой имплантат устанавливали и скручивали головку винта. дичь какая. Откручивайте слегка винт у имплантовода перед установкой импланта,привычка от анкилос. Его потом можно легко пальцами открутить. В дистальный отделе отвертку не всегда удаётся установить,машинной в наборе нет. 1 Ссылка на комментарий
montus Опубликовано 11 октября, 2019 Автор Поделиться Опубликовано 11 октября, 2019 Был в клинике, беседовал с главврачом, с его слов осстем признал брак (предлагали показать оф переписку). Сегодня спросил более детально у своего врача "что это было",он сказал сломался имплантовод (показывал зеленую штучку) обломалась по кругу вроде. Вообщем картина такая, насколько правдивая - это уже на совести каждого, карму никто не отменял). Сказали мне, что у них первый раз такое за 10 лет и осстем им заменит имплантат, правда мне от этого ни жарко ни холодно). Надеюсь что этот инцидент последний в моей истории имплантации). Правда смотрели на меня все как-то подозрительно и говорили что хорошо выгляжу для такого объема работы. Да и 3 часа делали может потому, что мне в верхней челюсти что-то молотком расщепляли (кстати наверное самое неприятное в операции), ну и плюс переделка после инцидента (это к слову что долго делал) Есть подозрение что Вы не в то место зашли. У меня на 4 имплантанта уходит максимум 30 минут. И то это если они в разных местах по разным челюстям. Снимки покажите Ссылка на комментарий
red_butler Опубликовано 16 октября, 2019 Поделиться Опубликовано 16 октября, 2019 Тему можно закрывать? Ссылка на комментарий
montus Опубликовано 16 октября, 2019 Автор Поделиться Опубликовано 16 октября, 2019 да Ссылка на комментарий
Рекомендуемые сообщения