Бандерлога Опубликовано 7 октября, 2019 Поделиться Опубликовано 7 октября, 2019 Приветствую, коллеги. Случилась очередная изжога, как выразился мой товарищ. 22 дня назад он поставил имплантат Астра 4.0 х 11.0. Удаление было 3 мес. назад, после удаления развился альвеолит, лечили с применением альважиля. Со слов коллеги во время препарирования кость была рыхлая, отмечалось наличие волокон альважиля. Сверлился по протоколу для мягкой кости, последнее сверление фреза 3,7 в пределах кортикалки. Торк не получил, установил миллиметровую заглушку и ушился. Пациент был на осмотре через 3 дня, все нормально, когда явился на снятие швов через 10 дней, стало видно, что заглушка прорезалась через слизистую, и свободно там залегает. Заглушку удалил, и более делать ничего не стал. Сегодня пациент должен был прийти на осмотр, но не смог, явится завтра - что делать теперь?!. Советовал установить, сразу после прорезывания заглушки, новую 0 мм., и ждать. Но получилось так. Какие перспективы ожидать. Ссылка на комментарий
Irouil Опубликовано 7 октября, 2019 Поделиться Опубликовано 7 октября, 2019 1) поставить низкую заглушку, подшить сверху трансплантат под лоскутки 2) не делать ничего до интеграции, решать вопросы на втором этапе Ссылка на комментарий
dentikl Опубликовано 7 октября, 2019 Поделиться Опубликовано 7 октября, 2019 Приветствую, коллеги.вместо заглушки поставил формирователь или просто выкрутил и все? Ссылка на комментарий
red_butler Опубликовано 7 октября, 2019 Поделиться Опубликовано 7 октября, 2019 перекрутить имплант на более короткий с нормальным заглублением 6 Ссылка на комментарий
Irouil Опубликовано 7 октября, 2019 Поделиться Опубликовано 7 октября, 2019 Для астры нормальное "заглубление", потом только усложнять ортопедию. Сейчас главное не потерять кортикалку, а это либо 1) ставить фдм 2) ушить с заглушкой, но убедиться, что над винтом будет БШ. В первом варианте либо нужен торк, либо низенький формик (на акву есть такой, кстати), во втором варианте - надо добавить трансплантат над платформой. Не ведитесь на "1 мм" высоту заглушки, она торчит от платформы будь здоров, когда ее ставите либо имплантат должен быть заглублен прилично, либо надо сразу работать с мягкими тканями. Ссылка на комментарий
Бандерлога Опубликовано 7 октября, 2019 Автор Поделиться Опубликовано 7 октября, 2019 вместо заглушки поставил формирователь или просто выкрутил и все?Да, просто убрал заглушку и оставил так Ссылка на комментарий
Бандерлога Опубликовано 7 октября, 2019 Автор Поделиться Опубликовано 7 октября, 2019 Для астры нормальное "заглубление", потом только усложнять ортопедию. Сейчас главное не потерять кортикалку, а это либо 1) ставить фдм 2) ушить с заглушкой, но убедиться, что над винтом будет БШ. В первом варианте либо нужен торк, либо низенький формик (на акву есть такой, кстати), во втором варианте - надо добавить трансплантат над платформой. Не ведитесь на "1 мм" высоту заглушки, она торчит от платформы будь здоров, когда ее ставите либо имплантат должен быть заглублен прилично, либо надо сразу работать с мягкими тканями. Понятно, спасибо, поддерживаю вас. Коллеге своему все выше предложенные ( и если будут еще какие варианты) предложу. 1 Ссылка на комментарий
red_butler Опубликовано 8 октября, 2019 Поделиться Опубликовано 8 октября, 2019 Для астры нормальное "заглубление", потом только усложнять ортопедию при правильном протоколе не усложнит Сейчас главное не потерять кортикалку уже потеряли 1 Ссылка на комментарий
Irouil Опубликовано 8 октября, 2019 Поделиться Опубликовано 8 октября, 2019 при правильном протоколе не усложнит Какой у астры будет правильный протокол? Если производителя - то 0.5 мм заглубление, это ниочем. Основания все низкие, если глубить - то переходить на индивидуальные абатменты. Учитывая все вводные, ИМХО, перекручивать смысла нет, но реагировать надо срочно. Ссылка на комментарий
Nazim_NV86 Опубликовано 8 октября, 2019 Поделиться Опубликовано 8 октября, 2019 Относительно каких ориентиров производитель рекомендует заглублять Астру на 0.5мм ? Благодаря макродизайну у шейки Астры, вы можете недозаглублять его и превращать в абатмент верхние 1-2мм и это у вас работает. попробовав сделать тоже самое с имплантом с более агрессивной резьбой у шейки, то он такого не простит. Также как не простит и низкие основания. Ссылка на комментарий
Irouil Опубликовано 9 октября, 2019 Поделиться Опубликовано 9 октября, 2019 Все менторы АТ, которых я слышал, рекомендуют не заглублять ее вообще - полированная шейка, мол, должна торчать. К идее перемещать бш на микро резьбу у шейки отношусь скептически, астра хоть и терпит, но она не волшебная Ссылка на комментарий
red_butler Опубликовано 14 октября, 2019 Поделиться Опубликовано 14 октября, 2019 http://forum.stom.ru/user/45187-banderloga/продолжение будет? Ссылка на комментарий
kramer Опубликовано 14 октября, 2019 Поделиться Опубликовано 14 октября, 2019 "Мой коллега". Хоспади, что такого прямо сказать... 3 Ссылка на комментарий
Irouil Опубликовано 14 октября, 2019 Поделиться Опубликовано 14 октября, 2019 "Мой коллега". Хоспади, что такого прямо сказать... На конференции по FESS один сингапурский лектор показывал кейсы с осложнениями хирургии клиновидных пазух, включая разрыв глазного нерва, повреждение внутренней сонной артерии и т.д., сопровождая каждый кейс комментарием "это пациент одного моего хорошего знакомого")На второй день проходили трансляции из операционной, упомянутый коллега проводил эндоскопию пазухи доступом через нижний носовой ход вентральнее назо-лакримального канала, очень бодро и отважно выделяя серповидным скальпелем стенку канала, на что А С Лопатин отметил "кажется, коллеги, профессор Ли потом будет показывать со словами "у одного моего знакомого...")) 2 Ссылка на комментарий
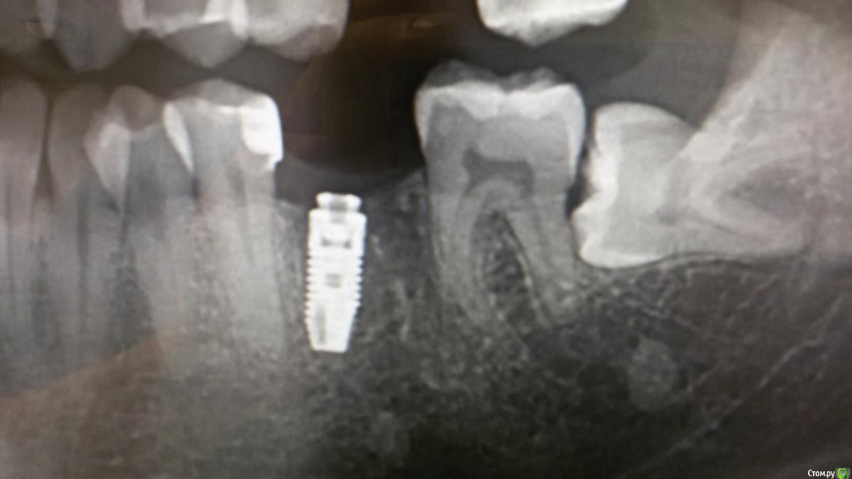
El_cucuy Опубликовано 22 января, 2020 Поделиться Опубликовано 22 января, 2020 (изменено) 1) поставить низкую заглушку, подшить сверху трансплантат под лоскутки 2) не делать ничего до интеграции, решать вопросы на втором этапе Доброго времени суток , доктора . По состоянию на 20 декабря , вот такая картина , нужно ли подсаживать трансплантат? Изменено 22 января, 2020 пользователем El_cucuy Ссылка на комментарий
red_butler Опубликовано 22 января, 2020 Поделиться Опубликовано 22 января, 2020 Доброго времени суток , доктора . По состоянию на 20 декабря , вот такая картина , нужно ли подсаживать трансплантат?нужны фото. И создавайте свои темы, а не засоряйте чужие Ссылка на комментарий
El_cucuy Опубликовано 22 января, 2020 Поделиться Опубликовано 22 января, 2020 (изменено) нужны фото. И создавайте свои темы, а не засоряйте чужиеТот же кейс , добавил спустя 2 месяца Изменено 22 января, 2020 пользователем El_cucuy Ссылка на комментарий
red_butler Опубликовано 22 января, 2020 Поделиться Опубликовано 22 января, 2020 Тот же кейс , добавил спустя 2 месяцаВы что завели второй аккаунт? Ссылка на комментарий
El_cucuy Опубликовано 22 января, 2020 Поделиться Опубликовано 22 января, 2020 Вы что завели второй аккаунт?Ранее не было аккаунта , коллега мой закидывал , зарегестрировался сегодня Ссылка на комментарий
red_butler Опубликовано 22 января, 2020 Поделиться Опубликовано 22 января, 2020 Ранее не было аккаунта , коллега мой закидывал , зарегестрировался сегодняок, фото во рту покажите 1 Ссылка на комментарий
El_cucuy Опубликовано 22 января, 2020 Поделиться Опубликовано 22 января, 2020 ок, фото во рту покажитеХорошо , как раз завтра осмотр Ссылка на комментарий
red_butler Опубликовано 26 января, 2020 Поделиться Опубликовано 26 января, 2020 Хорошо , как раз завтра осмотри? Ссылка на комментарий
El_cucuy Опубликовано 26 января, 2020 Поделиться Опубликовано 26 января, 2020 и? Ссылка на комментарий
Дмитрий Л. Опубликовано 26 января, 2020 Поделиться Опубликовано 26 января, 2020 Я бы не подсаживал, вроде 3 мм есть. 1 Ссылка на комментарий
red_butler Опубликовано 26 января, 2020 Поделиться Опубликовано 26 января, 2020 не вижу смысла работать с десной Ссылка на комментарий
Рекомендуемые сообщения
Для публикации сообщений создайте учётную запись или авторизуйтесь
Вы должны быть пользователем, чтобы оставить комментарий
Создать аккаунт
Зарегистрируйте новый аккаунт в нашем сообществе. Это очень просто!
Регистрация нового пользователяВойти
Уже есть аккаунт? Войти в систему.
Войти