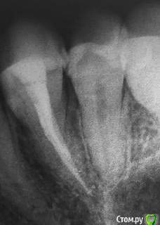
Olga2396 Опубликовано 6 октября, 2019 Поделиться Опубликовано 6 октября, 2019 (изменено) Зуб не болит 4й,но при постукивании чувствителен. Что с боку если постучат, что если постучать на жевательную поверхность.При первом лечении каналов зуб продолжал реагировать на горячее, был крайне чувствителен после горячего,языком было недотронуться. Врач перелечила каналы,боль уменьшилась,при надкусывании не больно, но непонятно почему если постучать неприятно, хотя с другими зубами у которых есть нерв нет неприятного ощущения. + переживаю из за того что выведено за верхушку корня, гуттаперча ли это? Или силлер, пломбировали мне кстати эндометазоном. Надо перелечивать? Или смотреть за состоянием зуба через пол года,будет ли увеличиваться чувствительность или уменьшаться.+ ко всему говорят об удаление нерва из 5го зуба. Зуб чувствителен на холодное,иногда горячее,но не пульсирует,ночных болей нет. Надо ли удалять? Говорят у меня анатомия зубов что нерв близко расположен к поверхности зуба,но при препарировании не была вскрыта пульповая камера и сказали дентин плотный, но 5 зуб чувствителен на холодное,но не больно,обезболивающее не пью и проходит сразу же. Я уже устала с этими зубами, вроде пролечила, а неприятных ощущения есть. 4й зуб пролечен уже как месяц. 5й пока не удаляют нерв смотря за динамикой,есть ли боли нет. Иногда сам как будто микротоком мимолетно стрельнет, ощущения как если бы укололи палец,не больно и пройдётсразу же. Не пульсирующая.1. До удаления нервов 4й5й зуб2. После удаления нерва,первая попытка (боли,чувствительностью горячее)3,4- после 2го лечения в разных боковых проэкциях снимок. Состояния на данный момент 4 и 5 зубаНа 5 снимке красным я отметила потемнее похоже на доп.ветвь канала. На снимках 3,4 есть это ответвление. Это доп. Канал?или особенность снимка? Изменено 6 октября, 2019 пользователем Olga2396 Ссылка на комментарий
red_butler Опубликовано 10 октября, 2019 Поделиться Опубликовано 10 октября, 2019 Четвертый пролечен достойно, дискомфорт при постукивании должен пройти. Зуб обязательно восстановите искусственной коронкой. Пятый, доктор оставил часть старой пломбы? По рентгену необходимости лечения каналов не увидел. По снимку есть вопросы по контактным пунктам между пятым и шестым - пломбировочный материал в межзубном промежутке, на шестом, его нужно убрать. Если боли в пятом быстро проходящие, и не исчезнут, то ставить вопрос о повторном лечении Ссылка на комментарий
Olga2396 Опубликовано 10 октября, 2019 Автор Поделиться Опубликовано 10 октября, 2019 (изменено) Четвертый пролечен достойно, дискомфорт при постукивании должен пройти. Зуб обязательно восстановите искусственной коронкой. Пятый, доктор оставил часть старой пломбы? По рентгену необходимости лечения каналов не увидел. По снимку есть вопросы по контактным пунктам между пятым и шестым - пломбировочный материал в межзубном промежутке, на шестом, его нужно убрать. Если боли в пятом быстро проходящие, и не исчезнут, то ставить вопрос о повторном леченииКогда четвёртый изначально лечили по кариесу, сразу залечили боковушку между контрактными пунктами 4 и 5, потом 4 пришлось удалить нерв, но опять же болей не было, был просто дискомфорт... потом 5 продолжили лечение и поставили пломбу между 5 и 6. Пломба так и осталась, реагирует на сладкое и холодное, пробовала нагружаться зуб, надкусывать не больно, но сам зуб щас начал будто поднывать. Но ночных болей нет. Сплю как убитая. 5й убрали пломбу на поверхности из композита и сделали мне из стеклоцемента или чего то там... стекло химического отверждения, мол,якобы под ним дентин вырабатывается быстро. Но зуб ноет. Переделывать смысла не видят, мол, либо нерв удалять раз ноет, либо так ходи... в другой клирике была, одни сказали по снимку нерв далеко,болит скорее всего из за нависающей пломбы между контактными пунктами 4 и 5. А другая сказала точно под удаление, мол на нерве прям стоит. Где правда? Изменено 10 октября, 2019 пользователем Olga2396 Ссылка на комментарий
Olga2396 Опубликовано 10 октября, 2019 Автор Поделиться Опубликовано 10 октября, 2019 (изменено) Нерв начинается где красным? Или по данным снимкам начинается где синим отмечено?Можете объяснить? Мне кажется, что сам сосудисто-нервный пучок расположен где красным отмечено, но то что тень идёт до верха,как отмечено синим, я не знаю как объяснить... нервный пучок он же представлен из ткани а не обычной полости заполненной воздухом,где на верху мол он как бы меньше и типа якобы мы его уже задели, раз тень уже на снимке видна, как можно задеть,то,до чего ещё не дошёл?. Тогда если бы нерв находился выше как синим отмечено, откуда там быть дентину? Который бы защищал мой нерв,он же не из тонкой полоски состоит а эта твёрдая полость с большим количеством. Или я что то не так говорю? Я говорю своими словами как понимаю. Изменено 10 октября, 2019 пользователем Olga2396 Ссылка на комментарий
St. Опубликовано 10 октября, 2019 Поделиться Опубликовано 10 октября, 2019 Нерв начинается где красным? Или по данным снимкам начинается где синим отмечено? там где краснымВсе что выше это ткани зуба дентин и эмаль Ссылка на комментарий
Olga2396 Опубликовано 12 октября, 2019 Автор Поделиться Опубликовано 12 октября, 2019 Четвертый пролечен достойно, дискомфорт при постукивании должен пройти. Зуб обязательно восстановите искусственной коронкой. Пятый, доктор оставил часть старой пломбы? По рентгену необходимости лечения каналов не увидел. По снимку есть вопросы по контактным пунктам между пятым и шестым - пломбировочный материал в межзубном промежутке, на шестом, его нужно убрать. Если боли в пятом быстро проходящие, и не исчезнут, то ставить вопрос о повторном леченииПеределали сегодня зуб. До пульпы не дошли,дентин плотный был,мне показали на зеркальце, там он был белый,насколько я знаю,чем ближе к пульпе дентин темнее,типа коричневого,поправьте если что не так. Полость была глубокая.Но,после того как отошла анастезия зуб ныл,пульсировал,простреливал,я почти сразу же выпила обезболивающее,помогло. Скажите,такая боль это норма после лечения? Мол пару дней болеть будет и с каждым днём на утишения. Или это приговор зубу? Удаление нерва? До этого он у меня так не болел. Ссылка на комментарий
Olga2396 Опубликовано 12 октября, 2019 Автор Поделиться Опубликовано 12 октября, 2019 (изменено) Четвертый пролечен достойно, дискомфорт при постукивании должен пройти. Зуб обязательно восстановите искусственной коронкой. Пятый, доктор оставил часть старой пломбы? По рентгену необходимости лечения каналов не увидел. По снимку есть вопросы по контактным пунктам между пятым и шестым - пломбировочный материал в межзубном промежутке, на шестом, его нужно убрать. Если боли в пятом быстро проходящие, и не исчезнут, то ставить вопрос о повторном леченииПеределали сегодня зуб. До пульпы не дошли,дентин плотный был,мне показали на зеркальце, там он был белый,насколько я знаю,чем ближе к пульпе он темнее,типа коричневого,поправьте если что не так. Полость была глубокая.Но,после того как отошла анастезия зуб ныл,простреливал,я почти сразу же выпила обезболивающее,помогло. Скажите,такая боль это норма после лечения? Или это приговор зубу? Удаление нерва? Изменено 12 октября, 2019 пользователем Olga2396 Ссылка на комментарий
St. Опубликовано 12 октября, 2019 Поделиться Опубликовано 12 октября, 2019 Скажите,такая боль это норма после лечения? Или это приговор зубу? Может быть. пока ждите и наблюдайте несколько дней динамику. Ссылка на комментарий
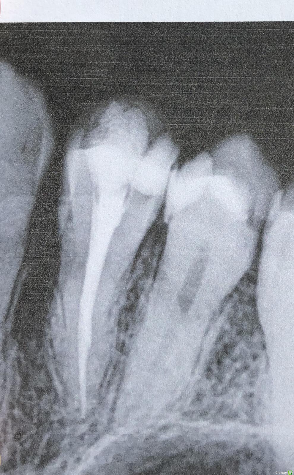
Olga2396 Опубликовано 4 ноября, 2019 Автор Поделиться Опубликовано 4 ноября, 2019 Пишу почти через месяц. пломбу переделали, но блин 5й зуб реагируете на холодное все так же, при длительной нагрузке ноет. Где десна воспаляется периодически,зубная нить рвётся.Сказал врач что может отдавать так 4й, мол там корни рядом друг с другом.Сделали снимок, сказали все нормально. Но! Я боюсь меня обманывают, потому что что-то идёт не так. Если сравнить предыдущие снимки. То на 4ке у корня какое то затемнение в месте выведение материала,на предыдущих снимках такого не было. Но 4й зуб вроде не беспокоит. 5й после холода но не длительный дискомфорт, только при перкуссии и то не всегда как то, как будто если на определенный участок зуба попадёт,твёрдая пища.Что можете сказать по этому снимку? На счёт 4го и 5го.Если сравнить предыдущие. Ссылка на комментарий
Olga2396 Опубликовано 4 ноября, 2019 Автор Поделиться Опубликовано 4 ноября, 2019 (изменено) И ещё я хотела бы приложить снимки других зубов. Задать пару вопросов.. отдельную тему заводить? Или в этой же можно? Изменено 4 ноября, 2019 пользователем Olga2396 Ссылка на комментарий
red_butler Опубликовано 4 ноября, 2019 Поделиться Опубликовано 4 ноября, 2019 И ещё я хотела бы приложить снимки других зубов. Задать пару вопросов.. отдельную тему заводить? Или в этой же можно?Задавайте вопросы в этой теме Ссылка на комментарий
Olga2396 Опубликовано 4 ноября, 2019 Автор Поделиться Опубликовано 4 ноября, 2019 (изменено) Прошу незакидывать камнями,а дочитать историю до конца и войти у мое положение.Мне зуб с гранулемой,ссылку прилагаю лечат уже почти 5 месяцев, мне кажется меня обманывают и губят мое здоровье. Кт сделано 5 месяцев назад. Сначала она врач распломбировала каналы,промывала,использовала изначально рабедарм(изоляцию),заводила лекарство. После первых манипуляций первые 5 дней, а началась я лечиться в июне, я лезла на стенку от боли,но потом боли прошли, второй раз она промыла каналы через 2 недели закладывала лекарства метапекс какой-то и каласепт,за эти 2 раза зуб вроде стих,но у меня начались проблемы с другими зубами. На снимке видно что был пульпит нижнего 6го зуба,этот зуб вроде залечили. С гранулемой забыли. чрез 2 недели его надо бы уже закрыть, но мне его раскрыли промыли(последующие разы уже не применялся рабедарм)и вроде заложили лекарство, но как оказалось нет. Тут врач неожиданно уезжает на месяц. Через недели 2 у меня зуб с гранулемой начинает снова болеть, при надкусывании, реакция на горячее, я пишу ей, она говорит дождись меня. За это время она прописала мне антибиотики амоксиклав, я пропила,стала легче. Но ненамного.Она приезжает и у меня начинаются проблемы со следующими зубами, как раз 4 и 5, там был глубокий кариес. В 4м удалили нерв, хотя он не болел, нотреагировал на холодное и сладкое,не было таких пульпитах болей, 5й долго не залечивали, так как появилась новая проблема. 6й зуб который был снизу с пульпитом, боли не проходили (первая ссылка до перелечивания) ,при постукивании болел, при нажатии болел, иногда самопроизвольно болел. Переличили, сменила пасту пломбировочную и сказала что до этого была паста ah+ И сказала запломбировала эндометазоном (после лечения) . я снова жалуюсь на зуб с гранулемой тут опять она снова берётся за 6 промывает,зуб месяц был пустым оказывается и закладывает почему то в один канал гуттаперчевый штифт с каким то лекарством и снова уезжает куда то на две недели. за эти 2 недели боли стихли но началась проблема с 4м зубом который изначально лечили также Ah + он начал дико реагировать на горячее, до зуба было не дотронуться. я ей звоню опять же она говорит ждать ее, я свято верила ей,пока мое лечение не затянулось до настоящего момента,поэтому всю историю излагаю здесь. Она приезжает перелечивает зуб 4й и боли моментально проходят, в этот же день, на что она мне говорит что запломбировала очень хорошим французским лекарством под названием эндометазон с гуттаперчевыми штифтами,что мол,он якобы с противомикробный действием и даже если там что то осталось,эндометазоном убьёт микроорганизмы. Не знаю так ли это. Проблемы с зубом с гранулемой остались все так же нерешенными по сей день, а прошло 5 месяцев. Когда я уже пришла и сказала давайте как то уже будем решать вопрос с зубами и будем иметь хоть какую то монотонную работу, она прям реально так с особой серьезностью сказала что дада щас заложим лекарство и запломбируем его скоро. Назначили встречу она промывает мне зуб за 15 минут и отпускает говорит все. Теперь через 3 недели,мол типа в отпуск ухожу на следующей неделе. Я тогда подумала ну ладно, кальций она вроде мне заложила. Как оказалось всего в 2 канала, я это увидела по снимку и спросила почему так. Она сказала в другие смысла нет закладывать и она делала так ПОСТОЯННО. Там нет воспаления. Но через 4 дня почему зуб начал реагировать снова на горячее,боль была как будто по самим границам колонковой части, а не на середине жевательной поверхности зуба.Надкусить было неприятно не сказать что больно, о своих ощущениях она говорила сообщать,ну я и сказал, а так как она собралась идти в отпуск она передаёт меня другому врачу. Все это реально затянулось на 5 месяцев. (Я могла прийти на приём к ней, а она уйти или так же снова уехать куда то на неделю на две и лечение ещё затягивалось на неделю. Я рассказала малую часть, встречи переносили и лечение затягивалось,затягивалось, пока не привело меня сюда и сомнения в её квалификации или желании вылечить мои зубы.) Следующий врач говорит что все это затянулось и говорит слишком долго зуб был открыт без пломбировки. Промывает мне его, пробивает каналы и говорит что у меня там гной типа, тянется за сухими штифтами, и что странное я не знаю кому верить, та врач которая щас в отпуске говорит что там налёт на каналах типа творога, а эта врач говорит что там не налёт а «сопли» каки то тянется из двух каналов. И что ещё более странное у врача которая в отпуске длинна каналов была 17,18. А у этой 15,14 Как может расходиться длинна каналов? Он же у меня не изменяется за весь период...кому верить? Измеряли обе аппекслокатором... последний снимок зуба с гранулемой когда последний раз промыли мне зуб, 2 дня было хорошо все. А на 3й начались такие боли, что не то что надкусить, он у меня пульсировал так что не помогали обычные таблетки типа ибупрофена, помог только кеторол.+ ещё вопрос. У меня зуб который 6 снизу был с пульпитом периодически будто бы простреливает в районе между 5,6. Говорят что такого быть не может каналы запломбированы хорошо,но что я заметила,очень спилили коронку зуба и прикус снизился. Что скажете по снимку? Снимок в настоящее время.Простите за много слов, я очень устала от болей. Просто описала всю ситуацию. Вывод и вопросы: 1.Что делать с зубом у которого гранулема? 5 месяцев лечат,то забывают про него, то снова закладывают лекарство. В данный момент мне уже врач (к которому меня передала та которая ушла втотпуск) говорит просто в следующее посещение промоем и поставим постоянную пломбу. Я напротив но боли сейчас стали ещё сильнее, как при первом визите в июне. За все время я то забыла про зуб с гранулемой то снова вспоминала,вполне болей. Посещала я врача по расписанию. И каждый раз там снова появлялся налёт как мне говорила предыдущая врач. Нормально ли лечить зуб так долго 5 месяцев? Или это повод пойти к другому? Или пойти жаловаться вообще? Какой протокол лечения таких зубов. 2. Что с 6м снизу? Может там тоже Каналы плохо пролечены? Что периодически простреливает между 5,6 как будто. Или это десна? Или это вообще из за того что прикус снизился на этой стороне? Зуб явно если посмотреть срез Кт и снимок в настоящее время ниже чем должен был быть,может нагрузка идёт не на жевательный зуб поэтому так стреляет?3. Что с 4м депульпированный зубом сверху? там нет никаких воспалений на верхушке корня? И по 5 рядом что скажите какие прогнозы на данный момент? разница снимков в месяц Изменено 4 ноября, 2019 пользователем Olga2396 Ссылка на комментарий
dentikl Опубликовано 5 ноября, 2019 Поделиться Опубликовано 5 ноября, 2019 а почему -Ольга? 1 Ссылка на комментарий
Olga2396 Опубликовано 5 ноября, 2019 Автор Поделиться Опубликовано 5 ноября, 2019 а почему -Ольга? потому что я девушка, а то что на снимках написано МУЖ это просто забыли переставить галочку на ЖЕН. Ссылка на комментарий
Olga2396 Опубликовано 5 ноября, 2019 Автор Поделиться Опубликовано 5 ноября, 2019 (изменено) Добавилась новая информация по поводу зуба с гранулемой, в данный момент у меня обострение, зуб болит, при надкусывании больно и дали время на раздумье когда удалять! Чистить каналы и убирать обострение отказались, сказали смысла нет. Врач котрому меня передали говорит только на удаление! Мне нужно мнение нескольких врачей. Говорят гранулема съела перегородку между гайморовой пазухой и зубом и что сколько зуб не промывай так и будет. Только не понятно почему сразу это не сказали раз эта перегородка в этой кости самостоятельно не восстанавливается и меня столько мучали.Скажите что видно по снимкам срезу Кт? Зуб возможно ли лечить? Или то что гранулема входит там на какие то боли миллиметра в пазуху уже приговор зубу? Что скажете по прогнозу? Я просто видела успешные лечения когда размер гранулемы был и больше,а тут 4 мм и говорят под удаление...Просто я думаю вдруг они делают не так что то и просто сливают меня, хотят удалить зуб,чтобы перестраховаться от своих каких то ошибок. И вдруг та врач которая прошлый раз налёт сравнила со слизью в зубе,просто пробила мне гайморову пазуху и теперь хочет удалением зуба скрыть свою ошибку. Изменено 5 ноября, 2019 пользователем Olga2396 Ссылка на комментарий
___49___ Опубликовано 5 ноября, 2019 Поделиться Опубликовано 5 ноября, 2019 Очень много вопросов , не буду отвечать на все - просто выскажу свое мнение ( как вы и просили) . Если лечение каналов не приводит к желаемому результату , можно выполнить резекцию верхушки корня с предварительным "запечатыванием" всех каналов зуба. Вам нужно найти специалистов для которых резекция 6ок вполне рутинное занятие( обзвоните с данным вопросом клиники ) . Если же лечение не дает положительных результатов, а специалистов кто делает резекцию 6 кам вы не нашли - придется зуб удалить, так как очередное обострение может закончится развитием гайморита . Я не был в Воронеже , но знаю , что в некоторых уголках нашей необъятной подобные зубы - автоматически идут на удаление , и это правильно конкретно для той местности где это происходит , так как альтернативы нет , а промедление грозит более серьезными осложнениями. Ссылка на комментарий
Olga2396 Опубликовано 6 ноября, 2019 Автор Поделиться Опубликовано 6 ноября, 2019 (изменено) Очень много вопросов , не буду отвечать на все - просто выскажу свое мнение ( как вы и просили) . Если лечение каналов не приводит к желаемому результату , можно выполнить резекцию верхушки корня с предварительным "запечатыванием" всех каналов зуба. Вам нужно найти специалистов для которых резекция 6ок вполне рутинное занятие( обзвоните с данным вопросом клиники ) . Если же лечение не дает положительных результатов, а специалистов кто делает резекцию 6 кам вы не нашли - придется зуб удалить, так как очередное обострение может закончится развитием гайморита . Я не был в Воронеже , но знаю , что в некоторых уголках нашей необъятной подобные зубы - автоматически идут на удаление , и это правильно конкретно для той местности где это происходит , так как альтернативы нет , а промедление грозит более серьезными осложнениями. Дело в том что мне его ниразу не закрывали постоянной обтурацией. Вводили лекарство только в те каналы которые воспалены. Лечение должно дать положительный результат после обтурации или же во время того как мне закалывают лекарство как то это определяется? Вообще 5 месяцев норма ли это лечить? Не было периодичности что каждые 2 недели мне меняли лекарство. А просто то на месяц врач уехала, то встречу отменила, то 15 минут промыла и заложила лекарство и отпустила. Лекарство должно как располагаться в канале? Канал должен быть Полностью заполнен до верхушки корня?или оно как бы размазывается по стенкам корня зуба? И вообще все каналы должны быть заполнены если все раскрыты? Изменено 6 ноября, 2019 пользователем Olga2396 Ссылка на комментарий
Рекомендуемые сообщения
Для публикации сообщений создайте учётную запись или авторизуйтесь
Вы должны быть пользователем, чтобы оставить комментарий
Создать аккаунт
Зарегистрируйте новый аккаунт в нашем сообществе. Это очень просто!
Регистрация нового пользователяВойти
Уже есть аккаунт? Войти в систему.
Войти