Arsinoya Опубликовано 5 октября, 2019 Поделиться Опубликовано 5 октября, 2019 Полтора года назад протезировала зубы, все было хорошо за исключением левого верхнего моста, он мне эстетически не понравился и решили его переделать. Мне сбили этот мост и в процессе сбивания я почувствовала сильную боль в шестом верхнем зубе. Далее уже дома зуб продолжал болеть при надавливании. Врачу я об этом сказала, но он осмотрев снимки успокоил что это пройдет и все впорядке, что болит соседний зуб мудрости, который короткий не закрывали. Поставили новый мост... Через три месяца начался ад... Адские боли в зубе отдающие в висок, за глаз в голову!!! Я опять к врачу, он сказал это зуб мудрости болит и удалил его... Боли не прекратились, я настояла на вскрытии зуба через коробку, врач там увидел перфорацию зубного дна, поставил временную пломбу, через месяц пришла, боли не прекратились, врач поменял временную пломбу на другую, при про чистке каналов боли не было, при надавливании не болит, но остальные сильнейшие боли остались. Болит так, как будто на нерв попало сладкое. Я сделала КТ челюсти, врач осмотрел его и сказал что причин для таких болей не видит, все хорошо! Сейчас постоянные боли, которые стали еще и в верхнюю четверку отдавать. И каждый день обезболивающие плюс аэртал. Посоветуйте пожалуйста что мне делать? Ссылка на комментарий
Arsinoya Опубликовано 5 октября, 2019 Автор Поделиться Опубликовано 5 октября, 2019 Прилагаю снимок Ссылка на комментарий
DmitrySH Опубликовано 5 октября, 2019 Поделиться Опубликовано 5 октября, 2019 Здравствуйте, может какие-то старые снимки есть? Ссылка на комментарий
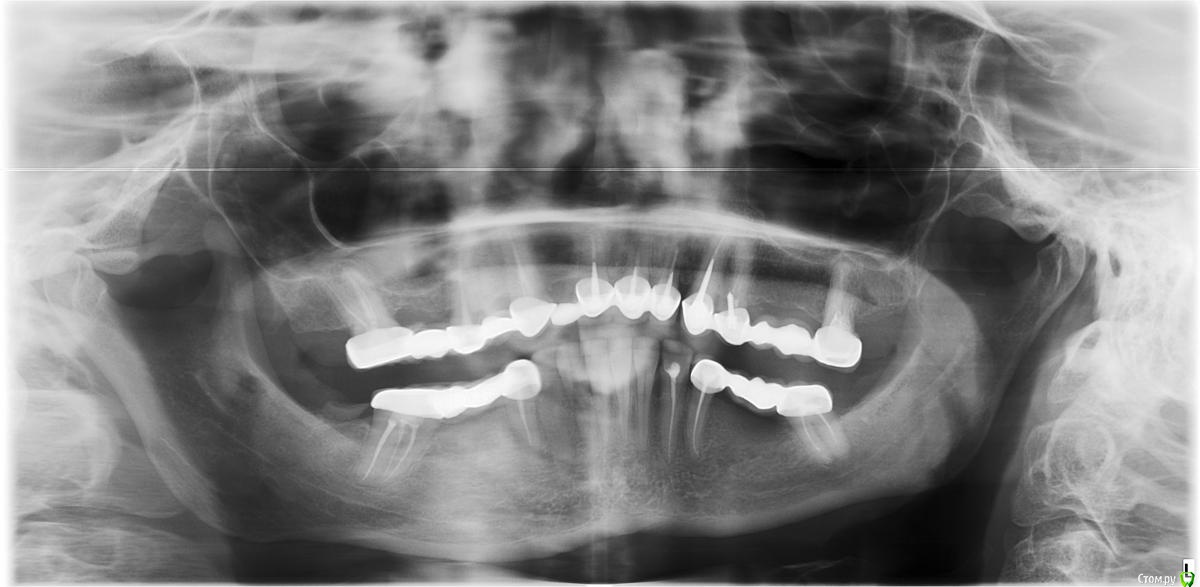
Arsinoya Опубликовано 5 октября, 2019 Автор Поделиться Опубликовано 5 октября, 2019 Здравствуйте, есть еще вот такой снимок, это как раз когда все боли начались, еще до перепломбировки каналов Ссылка на комментарий
Arsinoya Опубликовано 5 октября, 2019 Автор Поделиться Опубликовано 5 октября, 2019 Здравствуйте, есть еще вот такой снимок, это как раз когда все боли начались, еще до перепломбировки каналов Ссылка на комментарий
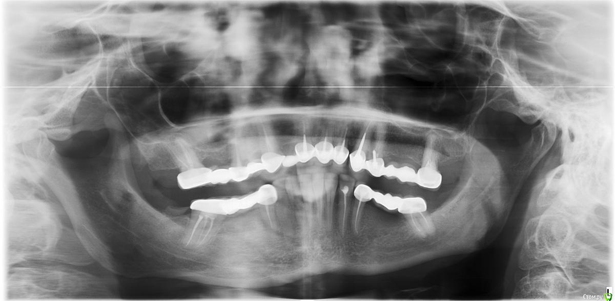
Arsinoya Опубликовано 5 октября, 2019 Автор Поделиться Опубликовано 5 октября, 2019 Вот еще такой Ссылка на комментарий
Vladimirov Опубликовано 6 октября, 2019 Поделиться Опубликовано 6 октября, 2019 уже полтора года каждый день пью обезболивающие!!! а не много ли обезболивающего вы пьёте???может всё же к другому врачу (врачам) лучше обратится Ссылка на комментарий
Arsinoya Опубликовано 7 октября, 2019 Автор Поделиться Опубликовано 7 октября, 2019 Конечно много, поэтому уже и в отчаянии... Обращалась я к другому врачу, тоже ничего не нашел... А таблетки я пить вынужденна, с такой болью невозможно работать...И не знаю что делать.... Ссылка на комментарий
Мартовский Опубликовано 7 октября, 2019 Поделиться Опубликовано 7 октября, 2019 Шестых зубов у вас нет, ни с лева ни с права, ни с верху ни с низу. Перфорация есть в левой четверке. Что делать, вам уже сказали: обратиться к другому врачу, по интернету такое не вылечить. Ссылка на комментарий
Рекомендуемые сообщения
Для публикации сообщений создайте учётную запись или авторизуйтесь
Вы должны быть пользователем, чтобы оставить комментарий
Создать аккаунт
Зарегистрируйте новый аккаунт в нашем сообществе. Это очень просто!
Регистрация нового пользователяВойти
Уже есть аккаунт? Войти в систему.
Войти