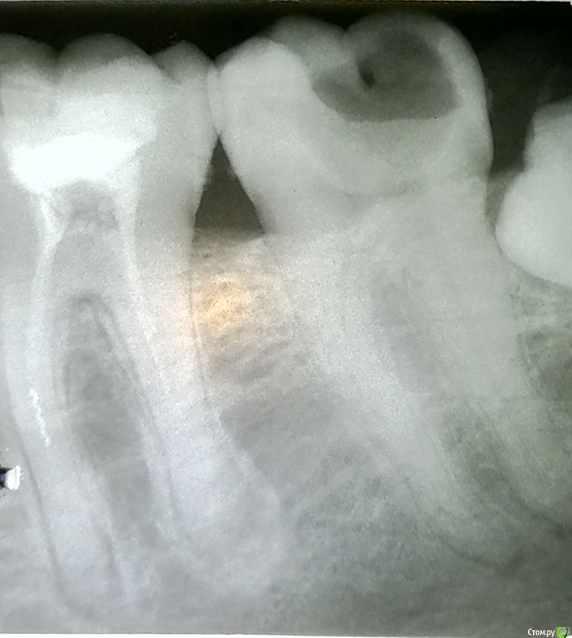
qwerty54321 Опубликовано 5 октября, 2019 Поделиться Опубликовано 5 октября, 2019 Добрый день!Подскажите, пожалуйста, можно ли сохранить зуб или только удаление (на снимке справа)? Ссылка на комментарий
DmitrySH Опубликовано 5 октября, 2019 Поделиться Опубликовано 5 октября, 2019 Здравствуйте. в зубе 36 требуется ревизия каналов под контролем микроскопа.37 - можно и нужно лечить38 - удалять обязательно Ссылка на комментарий
Рекомендуемые сообщения
Для публикации сообщений создайте учётную запись или авторизуйтесь
Вы должны быть пользователем, чтобы оставить комментарий
Создать аккаунт
Зарегистрируйте новый аккаунт в нашем сообществе. Это очень просто!
Регистрация нового пользователяВойти
Уже есть аккаунт? Войти в систему.
Войти