Перейти к содержанию
Стоматология для всех

Помогите найти причину


Catherine Deneuve

Рекомендуемые сообщения

Добрый день.

 

Прошу помочь с установлением причин увеличения лимфатических узлов. В начале мае произошло онемение челюсти после сна с левой стороны. За 6 часов мне удалось разработать челюсть и чувствительность вернулась. Однако так продолжалось 4 дня. Я обратилась к стоматологу за помощью. В ходе осмотра была обнаружена небольшая дырочка на 36 зубе. При вскрытии зуба врач предположила пульпит, но в связи с тем, что отсутствовала реакция на холодное и горячее, а также боль при постукивании, приняла решение лечить как обычный кариес. По окончанию лечения предупредила о том, что как появится острая боль следует обратиться за профессиональной помощью. В июне месяце у меня увеличились подчелюстные лимфатические узлы, позднее распространились на шею слева. Периодически наблюдается температура субфебрильных значений. Проехала ни один челюстно-лицевой институт, никто ничего не нашел.

В начале сентября появилась острая пульсирующая боль в 36 зубе. Обратилась в стоматологическую клинику. Во время обработки каналов были обнаружены изменения, который ближе к 37 зубу. Врач положила лекарство на 2 недели. Лимфатические узлы уменьшились, температуры не наблюдалось. Через 2 недели поставили постоянную пломбу и все вернулось, а может даже и увеличились ещё больше. По словам врача, каналы в порядке. Наблюдается боль в процессе чистки зубов и при употреблении твердой пищи. С момента установки постоянной пломбы прошло 1,5 недели. Температура 37,1-37,5.

Да, ещё на месте удаленного 38 зуба (4 года назад) имеется небольшая «опухоль», на которую врачи не обращают внимания. У всех разные предположения кто-то говорит, что фиброма, кто экзостоз и само рассосется, а кто-то вообще называет уплотнением. Однако за 5 месяцев образование выросло. Ощущение, что зубы не мои нижней челюсти и один зуб сдвинулся в ряду, а т. к. изменения не сильно выражены, то врачи считают, что прикус такой и был. Тем не менее близкие люди тоже это замечают.

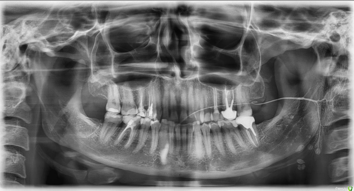
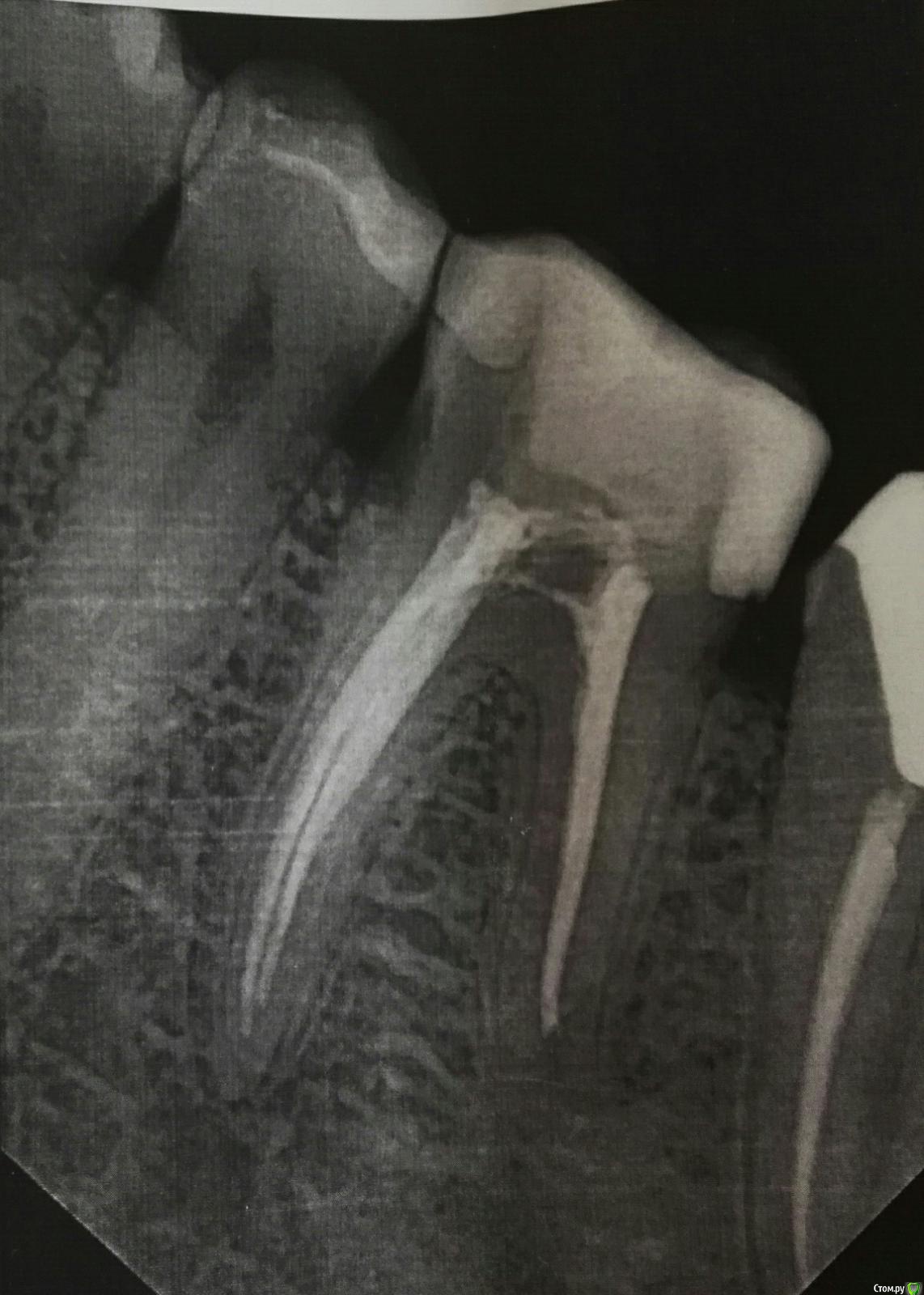
Прилагаю снимки с сиалографии до лечения и рентген после. Надеюсь на вашу помощь.

 

 

post-58739-0-41973600-1570017345_thumb.jpg

post-58739-0-55307900-1570017381_thumb.jpg

Ссылка на комментарий

Сделайте 3д томограмму есть подозрения на процесс в 3.7 зубе, и точно по датам распишите что когда лечилось и какие были симптомы.

Ссылка на комментарий

Для публикации сообщений создайте учётную запись или авторизуйтесь

Вы должны быть пользователем, чтобы оставить комментарий

Создать аккаунт

Зарегистрируйте новый аккаунт в нашем сообществе. Это очень просто!

Регистрация нового пользователя

Войти

Уже есть аккаунт? Войти в систему.

Войти
×
×
  • Создать...
Вверх