klemento Опубликовано 30 сентября, 2019 Поделиться Опубликовано 30 сентября, 2019 (изменено) Здравствуйте. Прощу помощи, т.е. совета. Проблемы слева вверху. После лечения 6 зуба и дальнейшего его протезирования вкладкой и коронкой - появилась боль при накусывании в области 5-6 зуба. Появляется преимущественно после жевания и попадания пищи. Знакомый посоветовал сделать КТ. Я обратился в 3 клиники. В 1 мне сказали удалить 6 и 7, т.к. что-то пошло в пазуху(снимок пазухи), там видно в виде пятна серого, а так же на 4 и 5 делать резекцию, т.к. выведен материал за верхушку. В двух других - сказали попытаться вскрыть 7 зуб, т.к. не понятно, что там с ним - может и получиться спасти, а 6 - не трогать(мол как простоит так простоит) . Про 5 ничего сказать не могут. Так же на 4 что-то есть и про него ничего не сказали.Хотелось бы понять как поступить. Возможно ли сохранить 7 зуб и действительно ли не трогать 6, но тогда ходить с воспалением? На одном из снимков есть двойка протезированная - на ней воспаление уже несколько лет и не беспокоит - трогать ее или делать резекцию? Понимаю, что дурак раз запустил так зубы, но обидно, что много денег отдал на 6 зуб и теперь под удаление его... Хотелось бы услышать какие-то варианты. Заранее спасибо. Изменено 30 сентября, 2019 пользователем klemento Ссылка на комментарий
DmitrySH Опубликовано 30 сентября, 2019 Поделиться Опубликовано 30 сентября, 2019 Те изменения в пазухе, которые вы показали на снимке, вряд ли можно отнести к зубам. Воспаление вокруг корня зуба 27 можно вполне успешно лечить, это не проблема. Вопрос в том, что сам зуб достаточно сильно разрушен и состоит из большой пломбы. Тоже самое касается и зуба 26. В такой ситуации нужен очный осмотр и решении о целесообразности сохранения/удаления с учетом дальнейшего ортопедического восстановления Ссылка на комментарий
krokomot Опубликовано 30 сентября, 2019 Поделиться Опубликовано 30 сентября, 2019 Давайте томограмму, по вашим срезам сложно ориентироваться. Любое воспаление должно быть вылечено, а не запротезировано. Зубы с апикальными периодонтитами нельзя протезировать. Часто вопрос решается перелечиванием, качественным протезиированием в случае целесообразности данной затеи. Ссылка на комментарий
klemento Опубликовано 1 октября, 2019 Автор Поделиться Опубликовано 1 октября, 2019 (изменено) Те изменения в пазухе, которые вы показали на снимке, вряд ли можно отнести к зубам. Воспаление вокруг корня зуба 27 можно вполне успешно лечить, это не проблема. Вопрос в том, что сам зуб достаточно сильно разрушен и состоит из большой пломбы. Тоже самое касается и зуба 26. В такой ситуации нужен очный осмотр и решении о целесообразности сохранения/удаления с учетом дальнейшего ортопедического восстановления26 - с коронкой и вкладкой и бояться снимать ее. Никто не хочет браться.А что насчет 25? Изменено 1 октября, 2019 пользователем klemento Ссылка на комментарий
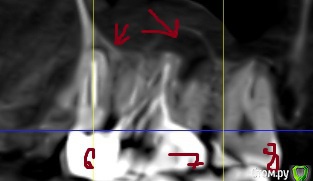
klemento Опубликовано 1 октября, 2019 Автор Поделиться Опубликовано 1 октября, 2019 (изменено) Давайте томограмму, по вашим срезам сложно ориентироваться. Любое воспаление должно быть вылечено, а не запротезировано. Зубы с апикальными периодонтитами нельзя протезировать. Часто вопрос решается перелечиванием, качественным протезиированием в случае целесообразности данной затеи.Вот КТ. Только надо вручную ссылку копировать, а то из форума не открывает.https://dropmefiles.com/1aSGrА что делать с воспалением под запротезированном зубом? Врачи снимать коронку и вкладу не хотят браться. Изменено 1 октября, 2019 пользователем klemento Ссылка на комментарий
krokomot Опубликовано 3 октября, 2019 Поделиться Опубликовано 3 октября, 2019 Вот КТ. Только надо вручную ссылку копировать, а то из форума не открывает.https://dropmefiles.com/1aSGrА что делать с воспалением под запротезированном зубом? Врачи снимать коронку и вкладу не хотят браться.Томограмма отвратительная, то что по ней удалось определить что в 7м не запломбирован дистальный канал, лечение перепломбировка, нужен еще прицельный снимок коронок 6-ого и 7ого, из-за наводок невозможно определить состояние тканей вокруг этих коронок и особенно в промежутке между 6-м и 7-м, в 5м выведения материала нет, в 4-м есть 0.5 мм это не критично никакие резекции делать не нужно, по поводу 2-ки лечите канал и переставляйте коронку. для обьективной картины нужна хорошая томограмма на современном томографе типа Sirona, и прицельные снимки 5-й,6-й,7-й зубы на визиографе с позиционером, а не пальцем датчик держать. Скорее всего все зубы спасабельны, но это не точно)) Ссылка на комментарий
klemento Опубликовано 4 октября, 2019 Автор Поделиться Опубликовано 4 октября, 2019 Томограмма отвратительная, то что по ней удалось определить что в 7м не запломбирован дистальный канал, лечение перепломбировка, нужен еще прицельный снимок коронок 6-ого и 7ого, из-за наводок невозможно определить состояние тканей вокруг этих коронок и особенно в промежутке между 6-м и 7-м, в 5м выведения материала нет, в 4-м есть 0.5 мм это не критично никакие резекции делать не нужно, по поводу 2-ки лечите канал и переставляйте коронку. для обьективной картины нужна хорошая томограмма на современном томографе типа Sirona, и прицельные снимки 5-й,6-й,7-й зубы на визиографе с позиционером, а не пальцем датчик держать. Скорее всего все зубы спасабельны, но это не точно))Спасибо огромное за ответ. Обнадежили. Подскажите пожалуйста, а в 5 верхней обычно 2 канала или 1? Мне его вскрыли заложили кальций. Но он что-то на перкуссию и накусывание всё равно реагирует. Может там всё таки не могут найти 2 канал? Ссылка на комментарий
krokomot Опубликовано 4 октября, 2019 Поделиться Опубликовано 4 октября, 2019 Давайте начнем с качественных снимков, я на кофейной гуще не гадаю. Ссылка на комментарий
klemento Опубликовано 4 октября, 2019 Автор Поделиться Опубликовано 4 октября, 2019 Давайте начнем с качественных снимков, я на кофейной гуще не гадаю.Постараюсь завтра сделать, но с оборудованием у нас в городе всё плохо. Схожу в другое место. Ссылка на комментарий
Рекомендуемые сообщения
Для публикации сообщений создайте учётную запись или авторизуйтесь
Вы должны быть пользователем, чтобы оставить комментарий
Создать аккаунт
Зарегистрируйте новый аккаунт в нашем сообществе. Это очень просто!
Регистрация нового пользователяВойти
Уже есть аккаунт? Войти в систему.
Войти