Перейти к содержанию
Стоматология для всех

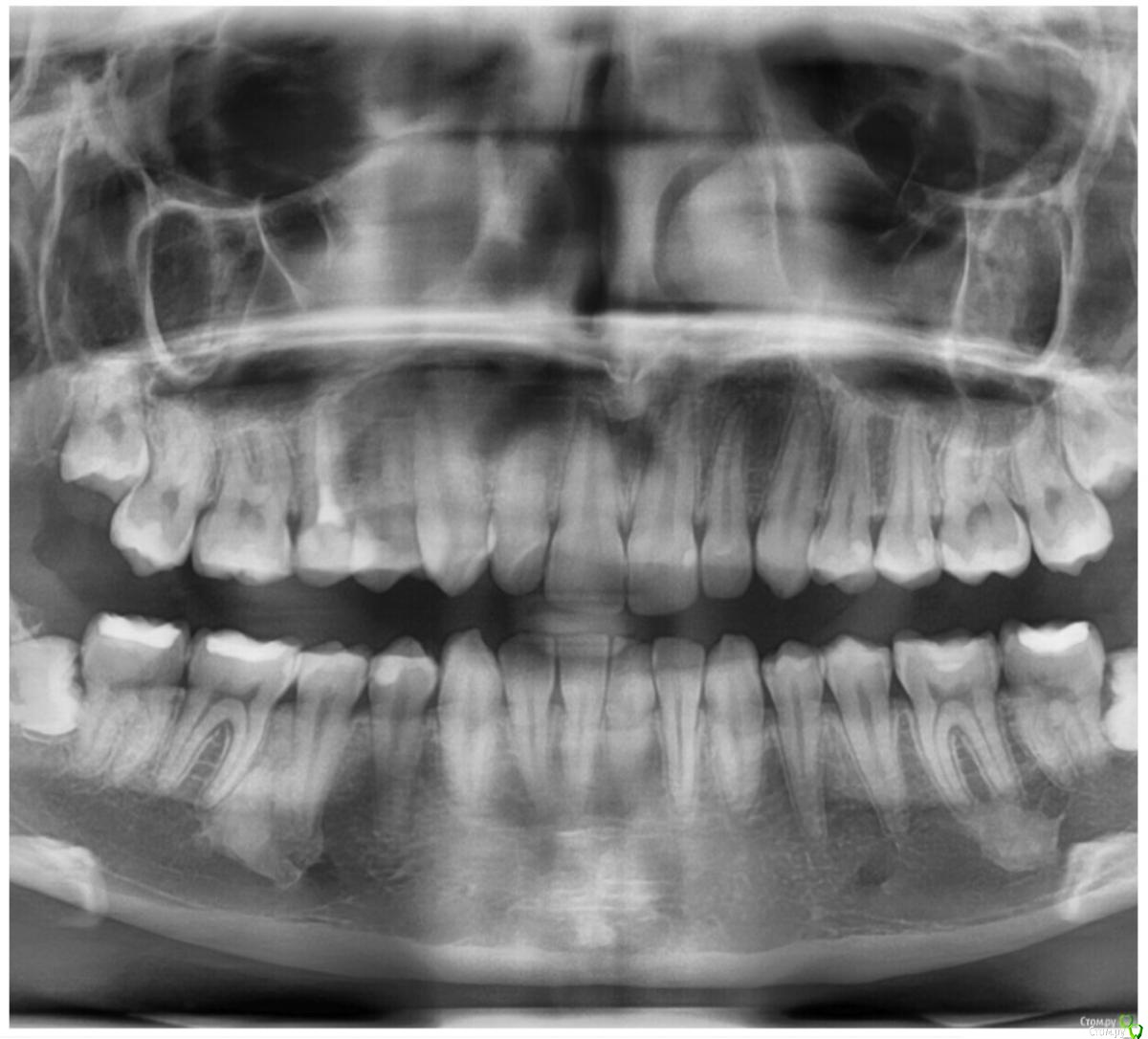
Остеома,гиперостоз,опухоль?


Кукушка357391

Рекомендуемые сообщения

Добрый вечер.

Я хочу устанавливать брекеты,мне сделали снимок и обнаружили два пятна слева.Скажите пожалуйста опасно ли это? Делала КТ в том числе. Нужно ли это удалять?

И стоит ли мне ставить брекеты? Что худшее может быть? Я очень очень сильно переживаю.

Сказали, что такое очень редко встречается.

В интернете на эту тему информации очень мало.

Помогите мне пожалуйста.

post-58572-0-14239900-1569779325_thumb.jpeg

Ссылка на комментарий

Для публикации сообщений создайте учётную запись или авторизуйтесь

Вы должны быть пользователем, чтобы оставить комментарий

Создать аккаунт

Зарегистрируйте новый аккаунт в нашем сообществе. Это очень просто!

Регистрация нового пользователя

Войти

Уже есть аккаунт? Войти в систему.

Войти
×
×
  • Создать...
Вверх