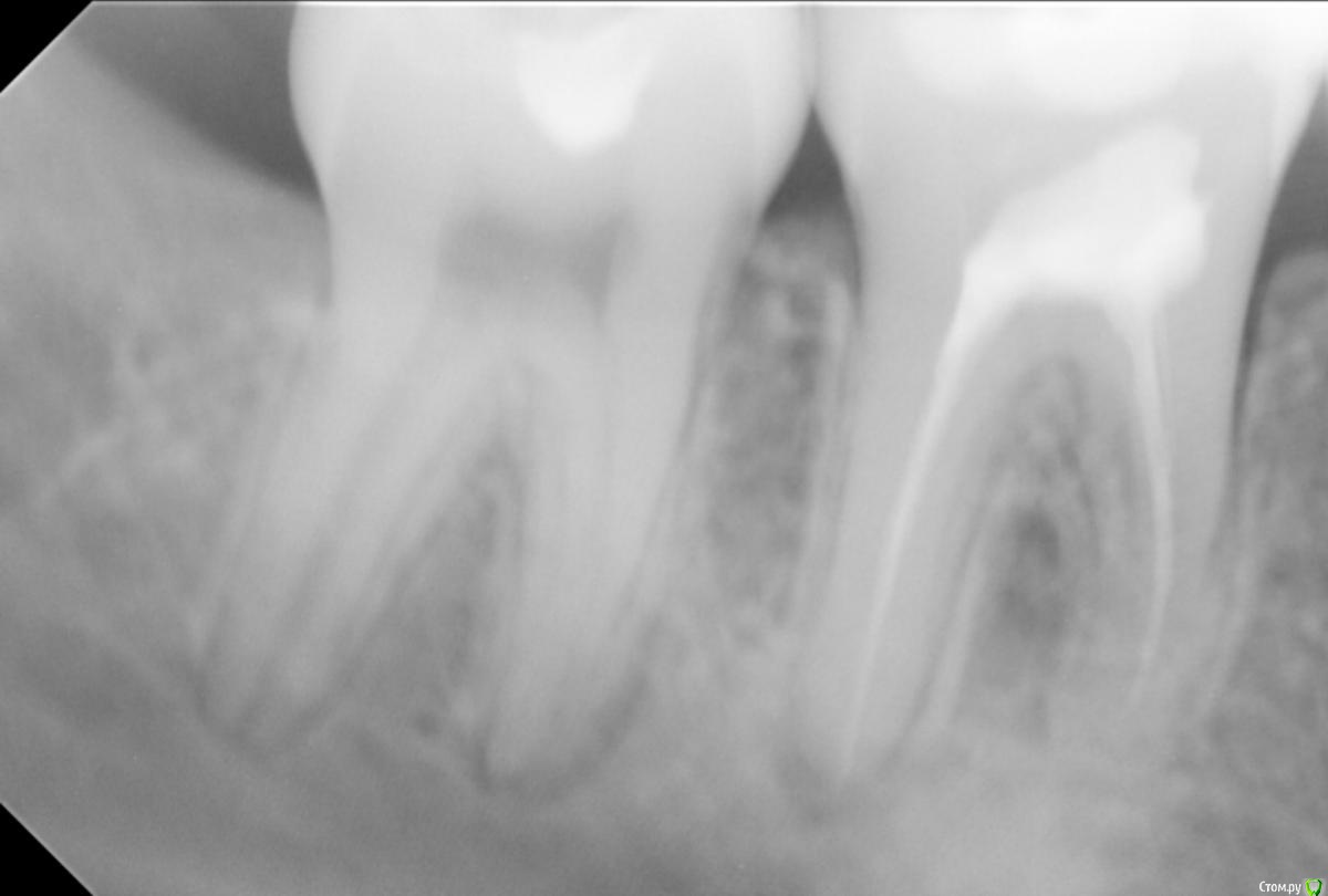
Madness88755 Опубликовано 25 сентября, 2019 Поделиться Опубликовано 25 сентября, 2019 Здравствуйте. Мне 22 года. С августа месяца 2019 года начал беспокоить депульпированный зуб (нерв был удален почти 4 года назад). Боли постоянные, ноющие. Будто болит где-то в кости. Сразу же обратилась к стоматологу. Прочистили каналы, поставили лечебную пасту и временную пломбу. Через три дня пришла снова, так как боли были невыносимые. Прочистили, решили вывести лекарство с кальцием за верхушку корня и поставили временную пломбу. Через неделю поставили постоянную. Боли не беспокоили.2 сентября 2019 года обратилась снова к стоматологу из-за постоянной ноющей боли в зубе. Распломбировали и поставили лекарство с временной пломбой. Сказали придти через 2 недели, но так как стоматолог попала в больницу, попала к ней через 3 недели. Первые две недели все было отлично, боли прошли, но на третью неделю вновь начали усиливаться. Была у стоматолога 23 сентября 2019 года. Почистили каналы и снова поставили лекарство с йодом и кальцием + временная пломба. Через неделю сказала, будем ставить постоянную пломбу и после посоветовала походить на процедуры в стоматологическую поликлинику.Снимок был сделан в июле месяце. Тогда зуб никак не беспокоил, к лечению, как я писала выше, приступили в августе месяце. Стоматолог посоветовала пропить кальций-Д3 НИКОМЕД, что мной и было сделано. Улучшений никаких замечено не было. Прошу разъяснить мне в чем может быть причина болей и что можно сделать в моем случае? Заранее большое Вам спасибо! Ссылка на комментарий
red_butler Опубликовано 26 сентября, 2019 Поделиться Опубликовано 26 сентября, 2019 Покажите актуальный снимок Ссылка на комментарий
Рекомендуемые сообщения
Для публикации сообщений создайте учётную запись или авторизуйтесь
Вы должны быть пользователем, чтобы оставить комментарий
Создать аккаунт
Зарегистрируйте новый аккаунт в нашем сообществе. Это очень просто!
Регистрация нового пользователяВойти
Уже есть аккаунт? Войти в систему.
Войти