Перейти к содержанию
Стоматология для всех

Проблема с депульпированным зубом


jeniak91

Рекомендуемые сообщения

Доброго дня!

 

В июле было воспаление десны депульпированного зуба с раздутием десны и места "под " десной, с повышением температуры и разбуханием лимфоузлов, болью в горле.

Как сообщил стоматолог - из-за попадания инфекции в десневой карман.

Пропил антибиотики, стоматолог пролечила повторно каналы - поставила лекарство и временную пломбу. Больше к данному стоматологу не ходил (т.е. >  месяца с временной пломбой). Зуб не болел, не набухал.

Временная пломба в участке между зубами (где десенный карман) раскрошилась пару недель назад и начало болеть. Т.к. уезжал в отпуск пришёл в другую клинику и поставили вроде как  "дёсенную повязку" - прочистили и залепили розоватым материалом (как временная пломба). Стало полегче.

Вчера пришёл к другому врачу (отказался от первого стоматолога, т.к. этот зуб никак не вылечу с февраля) - каналы запломбировали, поставили постоянную пломбу.

Эту "повязку" расковыряли и сняли.

Теперь опять ноющая боль, порой очень сильная и больно жевать на этот зуб, хотя он уже пол года как мёртвый.

Десну вроде не раздуло, хотя я точно не уверен, т.к. если между зубами просунуть зубочистку-  она в крови.

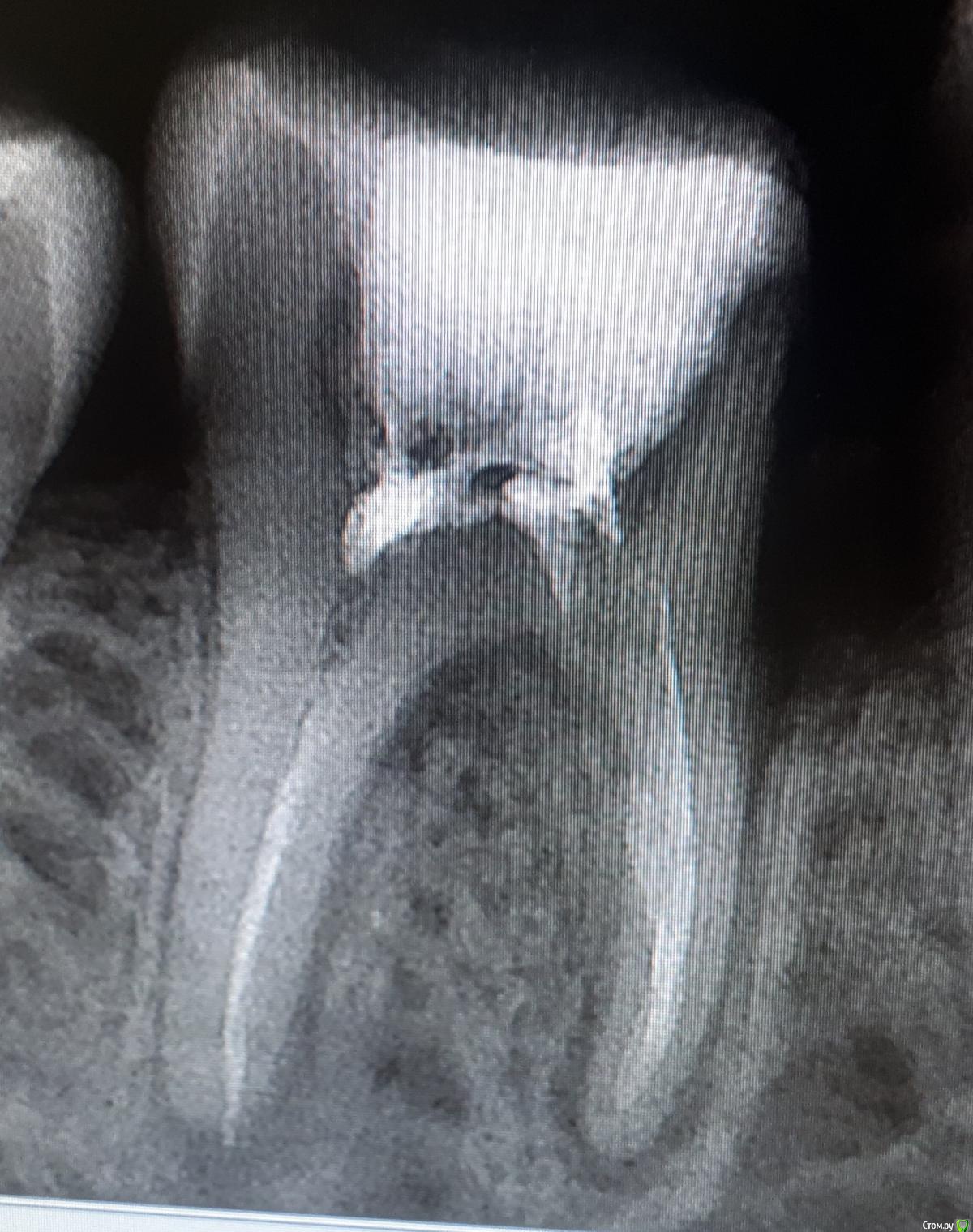
Посмотрите, пожалуйста, снимки. 

Правильно понимаю, что проблема в десневом кармане и мне ,грубо говоря, не то лечили? За все посещения ни один врач  к парадонтологу меня не отправлял.

Сейчас купил метрогил дента - мажу в надежде на утихание боли.

Также первый врач сказала что после лечения (депульпирования- приложено фото - более светлое) на зуб надо ставить коронку - ортодонт отказалась ставить коронку т.к. один канал не пройден до конца. 

Не совсем понимаю к какому врачу сейчас мне идти со своей проблемой. 

Посоветуйте, пожалуйста, как поступить.

 

PS 2 снимка - на первом зуб с запломбированными каналами во время попадания инфекции и разбухания десны (июль)

На более тёмном снимке зуб с перелеченными каналами при наложении "десенной повязки"

 

post-58661-0-32770400-1569170290_thumb.jpg

post-58661-0-90769300-1569170432_thumb.jpg

Ссылка на комментарий

Для публикации сообщений создайте учётную запись или авторизуйтесь

Вы должны быть пользователем, чтобы оставить комментарий

Создать аккаунт

Зарегистрируйте новый аккаунт в нашем сообществе. Это очень просто!

Регистрация нового пользователя

Войти

Уже есть аккаунт? Войти в систему.

Войти
×
×
  • Создать...
Вверх