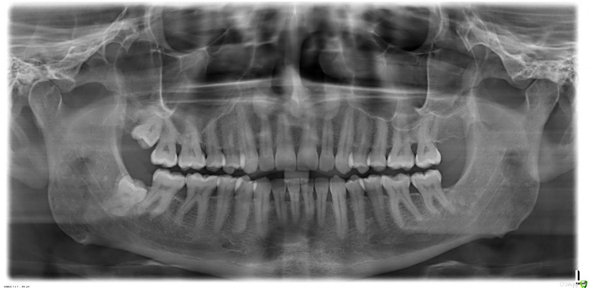
user2017 Опубликовано 22 сентября, 2019 Поделиться Опубликовано 22 сентября, 2019 Добрый день! Интересует возможность и целесообразность наращивания кости. Подвижности и кровоточивости нет. Сколько это будет примерно стоить для Москвы или Санкт-Петербурга? Можно в личку. Спасибо. Ссылка на комментарий
Bier Опубликовано 23 сентября, 2019 Поделиться Опубликовано 23 сентября, 2019 а где вы хотите нарастить кость? Ссылка на комментарий
Pavel-Pskov Опубликовано 24 сентября, 2019 Поделиться Опубликовано 24 сентября, 2019 Хороший вопрос)). Ссылка на комментарий
red_butler Опубликовано 24 сентября, 2019 Поделиться Опубликовано 24 сентября, 2019 Это про пародонтальные карманы Ссылка на комментарий
Jurai Опубликовано 26 сентября, 2019 Поделиться Опубликовано 26 сентября, 2019 Вам требуется тщательная диагностика у пародонтолога, оценка статуса и причин пародонтита и, исходя из полученных данных, комплексное лечение. Ссылка на комментарий
Рекомендуемые сообщения
Для публикации сообщений создайте учётную запись или авторизуйтесь
Вы должны быть пользователем, чтобы оставить комментарий
Создать аккаунт
Зарегистрируйте новый аккаунт в нашем сообществе. Это очень просто!
Регистрация нового пользователяВойти
Уже есть аккаунт? Войти в систему.
Войти