Перейти к содержанию
Стоматология для всех

Пародонтит, костные карманы


user2017

Рекомендуемые сообщения

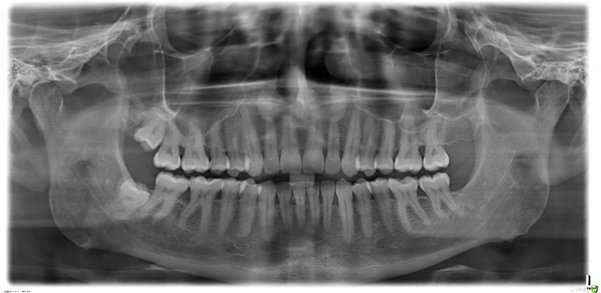
Добрый день.

Поставили диагноз пародонтит, убыль кости, рецессия десны в области моляров.

Кровоточивости и подвижности нет, гигиена в норме. Есть ощущение зуда межу 6-м и седьмым зубом с одной стороны, причина которого стоматологом не обнаружена. Временно помогает ершик и ирригатор.

Ситуация с деснами длится довольно давно, если ухудшается, то медленно.

Кто-то из врачей запугивает, говоря, что зубы чуть ли не завтра выпадут и надо делать довольно дорогие процедуры, кто-то говорит, что профгигиены для поддержания достаточно.

Можно ли решить проблему хирургически? Еще предложили плазмолифтинг плазмой из собственной крови. Насколько в этом есть смысл?

Примерная цена вопроса в Москве или Санкт-Петербурге? Можно в личку.

post-50403-0-05395100-1569160451_thumb.jpg

Ссылка на комментарий

Добрый вечер. На данном этапе важнее всего качественная домашняя гигиена. Применение ирригатора систематически будет большим плюсом. Проф гигиена  и осмотр парадонтолога обязательно каждые 4-6 месяцев как стоматолог скажет при очном осмотре, и дальше смотреть динамику.  Парадонтит есть, но ничего страшного не увидела

Ссылка на комментарий

Для публикации сообщений создайте учётную запись или авторизуйтесь

Вы должны быть пользователем, чтобы оставить комментарий

Создать аккаунт

Зарегистрируйте новый аккаунт в нашем сообществе. Это очень просто!

Регистрация нового пользователя

Войти

Уже есть аккаунт? Войти в систему.

Войти
×
×
  • Создать...
Вверх