Перейти к содержанию
Стоматология для всех

Закрытый синус 15,17 з


Dmitry DK

Рекомендуемые сообщения

Добрый день.

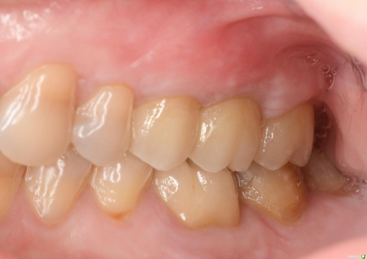
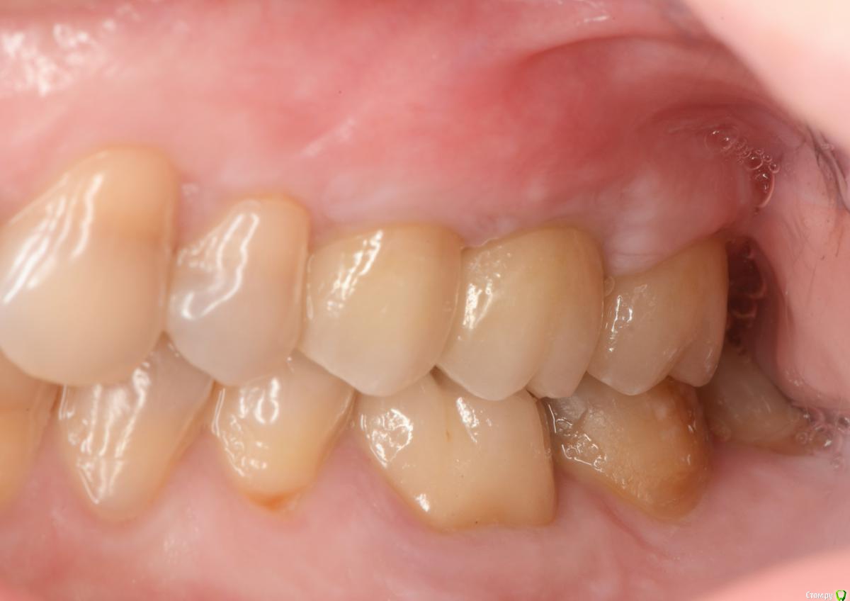
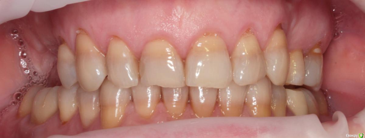
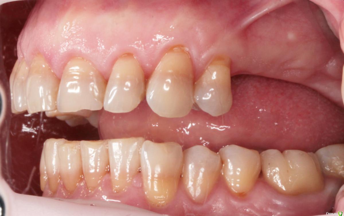
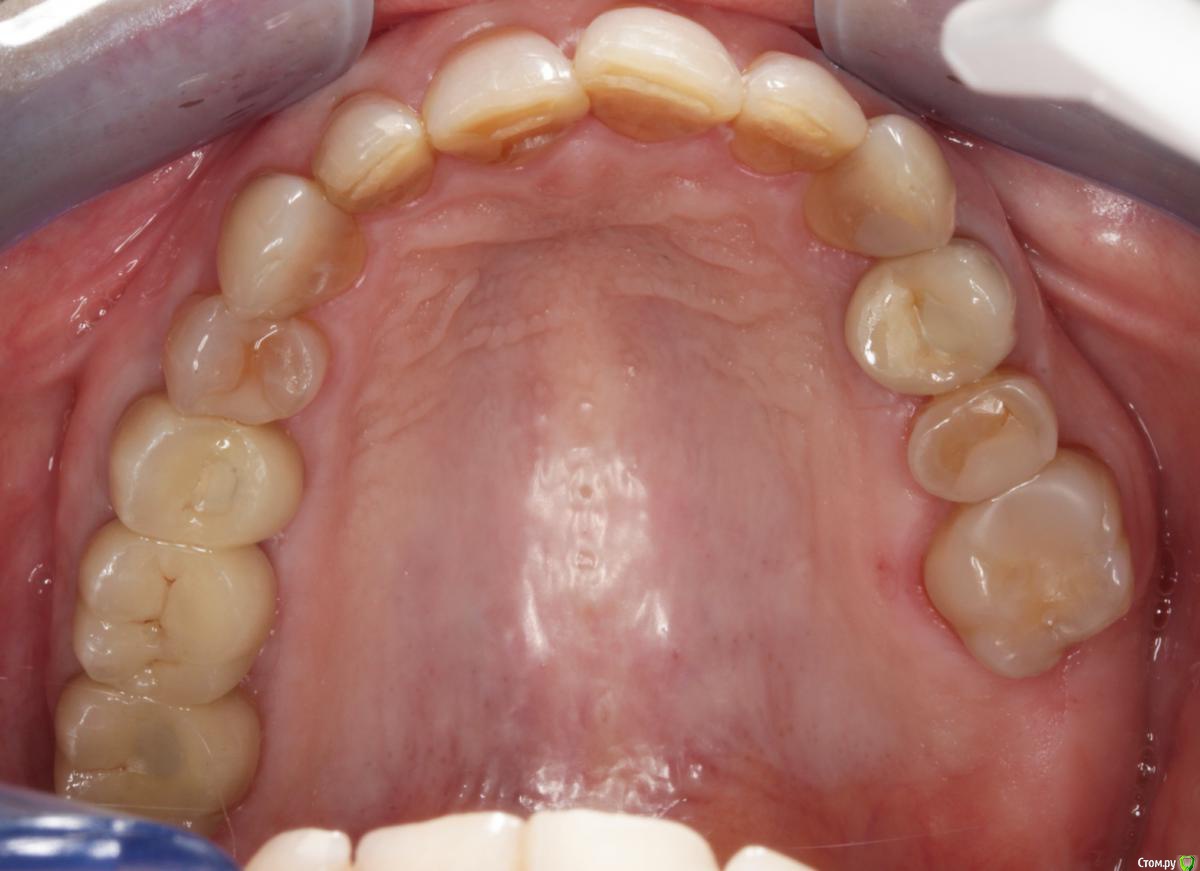
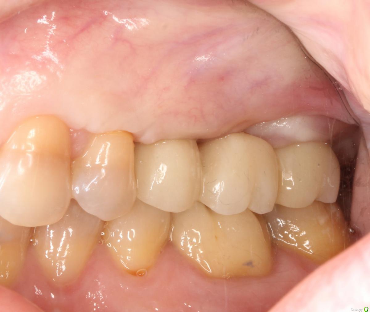
Пациентка пришла с целью восстановления отсутствующих 15,16,17,24,27 з. 

Из анамнеза - хронический двухсторонний синусит, соответствующие зубы удалены более 5-ти лет назад, тетрациклиновые зубы ( от изменения цвета отказалась ).

 

Хирургический план :  консервативное лечение у ЛОР специалистов

                                   

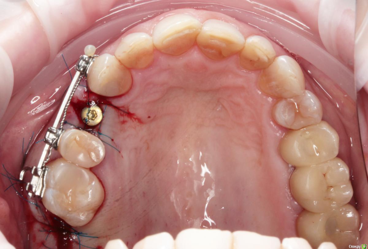
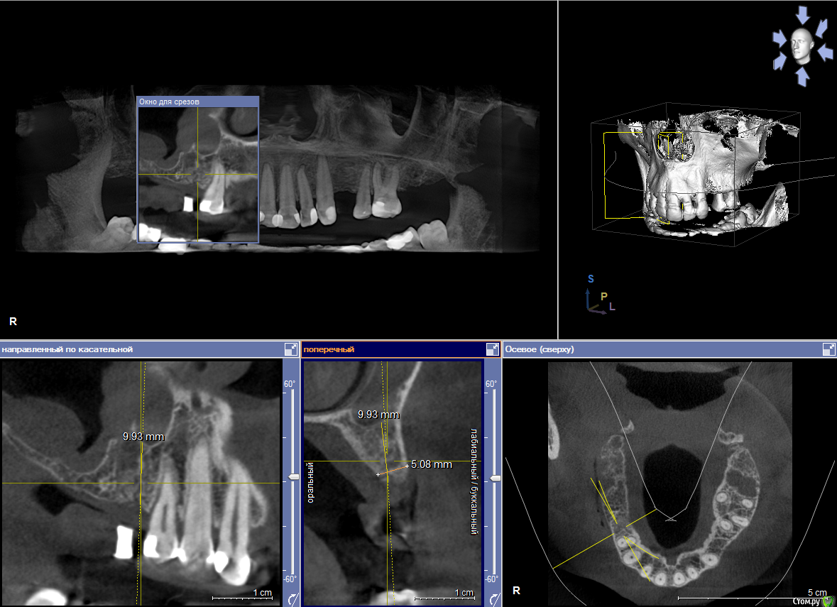
                                     1) имплантация в позиции 15,17 з с закрытым синусом и незначительной НКР

                                     2) коррекция слизистой в области 1-го сегм

                                     3) имплантация с ССТ в позиции 24 з ( после дистализации 25,26 з), в области 27 з на момент  операции был гнойный синусит, отложили  

post-46374-0-67429000-1569133699_thumb.jpg

post-46374-0-64922900-1569133778_thumb.jpg

post-46374-0-84313100-1569133787_thumb.jpg

post-46374-0-66877600-1569135920_thumb.jpg

post-46374-0-23743600-1569136057_thumb.jpg

post-46374-0-94187700-1569136066_thumb.jpg

post-46374-0-88080000-1569136076_thumb.jpg

post-46374-0-21299200-1569136097_thumb.jpg

post-46374-0-71972900-1569136108_thumb.jpg

post-46374-0-22626500-1569136118_thumb.jpg

post-46374-0-30539900-1569136125_thumb.png

post-46374-0-59068200-1569136134_thumb.png

post-46374-0-50669000-1569136155_thumb.png

post-46374-0-53117300-1569136165_thumb.png

post-46374-0-68719300-1569136175_thumb.png

post-46374-0-99147100-1569136188_thumb.jpg

  • Поддерживаю 6
Ссылка на комментарий

Спасибо)

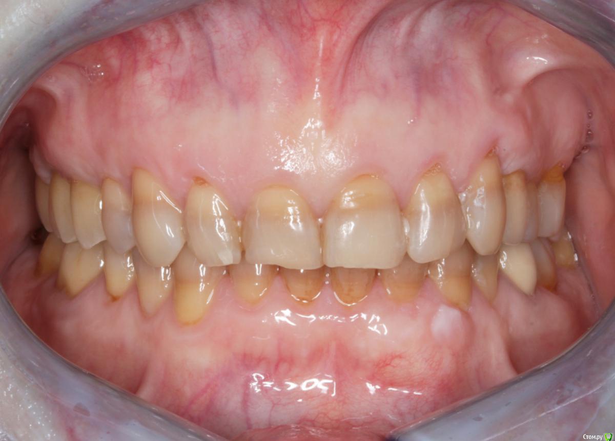
тут нарушена последовательность фотографий ( не знаю почему залилось именно так ... )

это времянки, постоянная - средний ряд, правая сторона, последнее фото

post-46374-0-27985400-1569231363_thumb.jpg

Изменено пользователем Dmitry DK
  • Поддерживаю 2
Ссылка на комментарий

Ааа, теперь понятно. А то я думаю, почему какие-то фото отзеркалены, а другие нет... думал, что разные стороны)

 

Ну тогда вообще все здорово!

Ссылка на комментарий

Для публикации сообщений создайте учётную запись или авторизуйтесь

Вы должны быть пользователем, чтобы оставить комментарий

Создать аккаунт

Зарегистрируйте новый аккаунт в нашем сообществе. Это очень просто!

Регистрация нового пользователя

Войти

Уже есть аккаунт? Войти в систему.

Войти
×
×
  • Создать...
Вверх