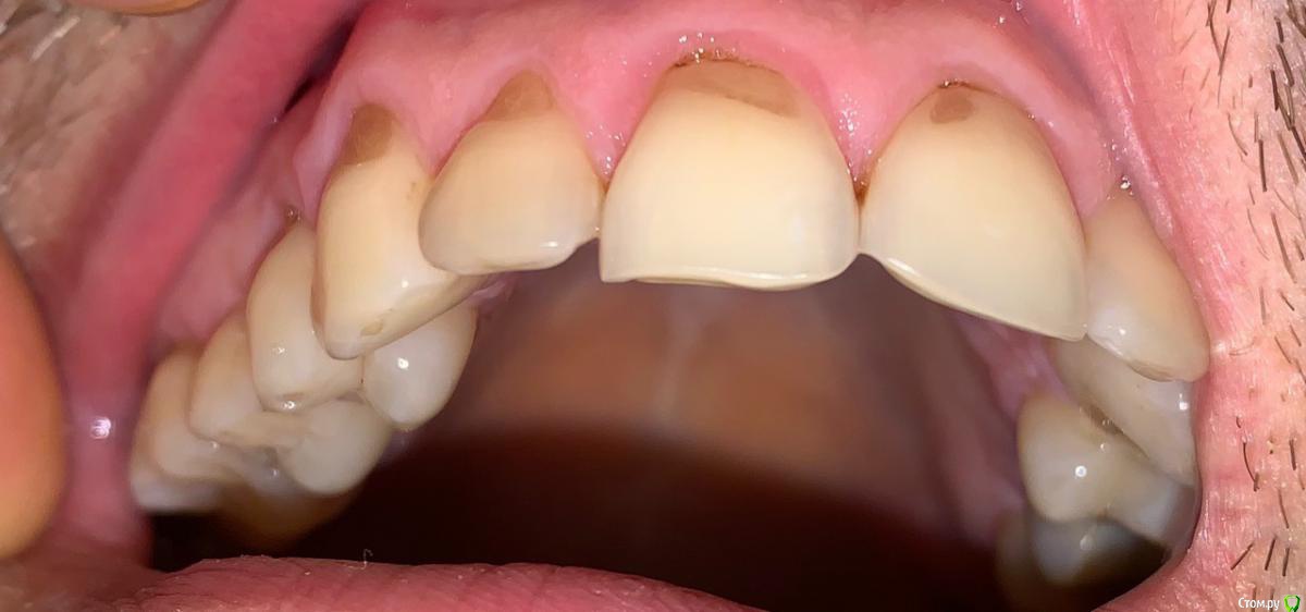
Valaro Опубликовано 20 сентября, 2019 Поделиться Опубликовано 20 сентября, 2019 Здравствуйте, уважаемые форумчане! Очень хочется верить, что есть еще доктора, способные лечить.Клиновидный дефект развивается стремительно: за полгода - два новых зуба затронул, на подходе еще один. Сильно выражено на верхней челюсти, на передних зубах. Был у терапевта и у хирурга. Сказали не трогать, пока не болит и нет критичной чувствительности. Рассказали мне про правильную технику чистки зубов и про возможность декоративного пломбирования, о чем и сам почерпнул на просторах сети, в том числе и тут. В общем, никакой практической пользы от посещения "специалистов". Мужчина, 42 года. Здоровый образ жизни (много лет никаких ядов и наркотиков), физкультура, витамины, достаточно солнца, воздуха, воды и сна.За последние 10 месяцев увеличено потребление содержащих кальций и фосфор с магнием продуктов, кисломолочного, квашеной капусты, свежей зелени, семян льна, кунжута...; йода, витамина д3...два курса поливитаминов. Сейчас глюконат кальция с лимоном. Думаю, пробовать компрессы из глюконата кальция, в капе с ватой держать по 10-15 минут... Чистка зубов щадящая, средней или мягкой щеткой, полоскание водой или содово-соленым раствором с эфирными маслами чайного дерева и полыни, после каждого приема пищи. Иногда непродолжительное жевание-рассасывание крошки прополиса. После кислых фруктов щеткой не пользуюсь. Применение зубной нити. Гель РОКС для реминерализации применяю с индивидуальной капой на протяжении девяти месяцев, с перерывами, как в инструкции. Зубы всегда были в хорошем состоянии, за первой пломбой в 36 лет ходил. У родственников ничего похожего нет и не было никогда. Прошу помощи в лечении этой напасти! Буду благодарен советам опытных врачей-лечебников! Ссылка на комментарий
AndyAndy Опубликовано 20 сентября, 2019 Поделиться Опубликовано 20 сентября, 2019 Я бы искал причину в окклюзии, у вас на клыке и премолярах с правой стороны фасетки стираемости. Это может свидетельствовать об окклюзионной перегрузке этих зубов. Для более развёрнутого ответа нужно: панорамный снимок, модели челюстей в артикуляторе, очный осмотр. Обратитесь к ортопеду или ортодонту 1 Ссылка на комментарий
Valaro Опубликовано 20 сентября, 2019 Автор Поделиться Опубликовано 20 сентября, 2019 Благодарю! Обязательно схожу на приём к названным специалистам. Ссылка на комментарий
Рекомендуемые сообщения
Для публикации сообщений создайте учётную запись или авторизуйтесь
Вы должны быть пользователем, чтобы оставить комментарий
Создать аккаунт
Зарегистрируйте новый аккаунт в нашем сообществе. Это очень просто!
Регистрация нового пользователяВойти
Уже есть аккаунт? Войти в систему.
Войти