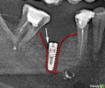
Наталия1966 Опубликовано 17 сентября, 2019 Поделиться Опубликовано 17 сентября, 2019 (изменено) на нижнюю челюсть в место 40 лет отсутствующей шестерки. С расщеплением гребня. Когда боль прошла отек спал и рана затянулась, то над имплантом образовался гнойник. Врач его выдавил, он совершенно безболезненный, ничего не болит, не кровит, кроме этого гнойничка над десной. На снимке мне показался скол кости слева, сильное понижение контура кости. Стоит ли волноваться или имплант все же приживется? Назначен визит через неделю для установки формирователя. Прошло три с половиной месяца Изменено 17 сентября, 2019 пользователем Наталия1966 Ссылка на комментарий
dok1 Опубликовано 17 сентября, 2019 Поделиться Опубликовано 17 сентября, 2019 Хорошо бы срезы томограммы. Но , судя по предоставленной информации проблема имеется. И есть тенденции к её развитию. 2 Ссылка на комментарий
Наталия1966 Опубликовано 17 сентября, 2019 Автор Поделиться Опубликовано 17 сентября, 2019 (изменено) Хорошо бы срезы томограммы. Но , судя по предоставленной информации проблема имеется. И есть тенденции к её развитию.Это пока мой единственный снимок, который я взяла с общего панорамного снимка. Еще делали сразу после установки, но его не распечатывали и что там, честно говоря, я не помню, каков контур кости вокруг импланта. Два месяца вылезали осколки, потом вроде все успокоилось, кроме вот гнойника, на который я не обращала вниманья сначала, но потом он так упорно держится и мешает жевать. В воскресенье я была у доктора, он выдавил гной с гнойника, сказал похоже на гранулему, ничего не болело, даже при выдавливании. Потом дома он надулся здорово и побаливало чуть чуть вокруг, к утру значительно опало. Я обрадовалась, решила, что помогло. Скажите, есть шанс, что имплант приживется или это только вопрос времени его аннуляция. Изменено 17 сентября, 2019 пользователем Наталия1966 Ссылка на комментарий
krokomot Опубликовано 17 сентября, 2019 Поделиться Опубликовано 17 сентября, 2019 нужен прицельный снимок, на томограмме невозможно оценить состояние кости вокруг металлического объекта. Гнойник, возможно заглушечный свищь. установится формирователь станет яснее. 2 Ссылка на комментарий
red_butler Опубликовано 18 сентября, 2019 Поделиться Опубликовано 18 сентября, 2019 нужен прицельный снимок + 1 и фото во рту 1 Ссылка на комментарий
Наталия1966 Опубликовано 19 сентября, 2019 Автор Поделиться Опубликовано 19 сентября, 2019 + 1 и фото во рту Мне назначено через неделю на формирователь. Тогда и снимусь. Но после выдавки гноя с гнойника он стал уменьшатся не сразу но вчера терабанила его языком, а сегодня он маленький стал и вроде приращается к десне. Ссылка на комментарий
red_butler Опубликовано 19 сентября, 2019 Поделиться Опубликовано 19 сентября, 2019 Мне назначено через неделю на формирователь. Тогда и снимусь. Но после выдавки гноя с гнойника он стал уменьшатся не сразу но вчера терабанила его языком, а сегодня он маленький стал и вроде приращается к десне.ок, но у меня есть большие сомнения по поводу вашего импланта... Ссылка на комментарий
Наталия1966 Опубликовано 20 сентября, 2019 Автор Поделиться Опубликовано 20 сентября, 2019 (изменено) ок, но у меня есть большие сомнения по поводу вашего импланта... наверное из-за скола кости. Честно говоря, у меня самой сомнения, которые развею только после снимка, конечно. Хотя, когда врач гной давил, он мне ничего не говорил про то, что имплант не прижился. Наоборот, когда я сказала, что очень не хочу его лишиться и повторной установки просто не перенесу, он так удивленно промолчал, дескать, об этом речи не идет, а, мол, случай обычный. Изменено 20 сентября, 2019 пользователем Наталия1966 Ссылка на комментарий
dok1 Опубликовано 20 сентября, 2019 Поделиться Опубликовано 20 сентября, 2019 Присутствие гнойного отделяемого уже большая проблема так-то Ссылка на комментарий
Наталия1966 Опубликовано 20 сентября, 2019 Автор Поделиться Опубликовано 20 сентября, 2019 (изменено) Присутствие гнойного отделяемого уже большая проблема так-тоГнойник явно идет на спад, и уже нет боли, когда пища на дырку попадает между зубами как раньше. У меня вот еще какой вопрос. Если гнойник уходит, и есть вероятность приживления импланта, то не рановато формирователь ставить. Прошло 3 с половиной месяца только, первые два месяца там просто месиво было ничего не понятно, лился гной, прям длинными соплями вылезал, крупинки белые вылезали и лезли осколки, я думала кость обнажается, но сковыривала их языком. Под языком толстенный валик был по нижней челюсти изнутри, с щеки выпирало на кости, потом прошло, шею повернуть нельзя было и глотать с болью неимоверной. Потом образовалась бороздка гребня посредине, все отеки, все прошло, сровнялось как и было, только десна потолще стала, конечно, и, вот, прямо явно на передней половинке ближе к 7 зубу образовался гнойничок болезненный такой, который врач потом выдавил. Что вы хотите - расщепление гребня есть расщепление гребня, стучали молотком и, конечно, не исключено, что чего - нибудь потом отвалилось. Врач сразу предупредил, что кость узкая, поставил 3,5 диаметр на шестерку. Где-то прочла, что циркониевые очень тяжелы на жевательный зуб и такого малюсенького диаметра и что лучше поставить обычную безметалловую легкую пластмассу по типу временной коронки. Что минимум для одиночки диаметр - 4,5, для спаренных - 4,0. А у меня, вот получилось по строению кости еще меньше, но ничего страшного, лишь бы прижилось. Изменено 20 сентября, 2019 пользователем Наталия1966 Ссылка на комментарий
Наталия1966 Опубликовано 1 октября, 2019 Автор Поделиться Опубликовано 1 октября, 2019 (изменено) Была еще раз у врача. Он еще подавил гной, сделал КТ сегмента и сообщил, что имплант погружен в кость все нормально. Продлил срок до формирователя еще на месяц. Почти прошло. Но огорчил меня, заметив в зубе на вкладке "вроде как перфорация", но "не точно". У меня внутри все упало. Изменено 1 октября, 2019 пользователем Наталия1966 Ссылка на комментарий
red_butler Опубликовано 1 октября, 2019 Поделиться Опубликовано 1 октября, 2019 Покажите кт и фото во рту Ссылка на комментарий
Наталия1966 Опубликовано 1 октября, 2019 Автор Поделиться Опубликовано 1 октября, 2019 (изменено) Покажите кт и фото во ртуПока невозможно, так как кт осталось в электронном виде в компьютере клиники, а перевести на диск, в принципе мне в голову не пришло. Наверное это очень дорого и зачем мне оно? Сам доктор его крутил, вертел и вроде так, вроде не так, а вроде нормально. Есть старое КТ, но как его загрузить? Там больше 400 мб Изменено 1 октября, 2019 пользователем Наталия1966 Ссылка на комментарий
Наталия1966 Опубликовано 4 октября, 2019 Автор Поделиться Опубликовано 4 октября, 2019 Вообщем, снова гнойник и уже кровит при выдавливании гноя. Ничего не болит. Не знаю, что это такое. Может формирователь поставить. Ссылка на комментарий
dok1 Опубликовано 4 октября, 2019 Поделиться Опубликовано 4 октября, 2019 Открыть имплант надо. Есть вероятность его потери. Если так, то лучше раньше, чем позже 1 Ссылка на комментарий
red_butler Опубликовано 4 октября, 2019 Поделиться Опубликовано 4 октября, 2019 Удаляйте имплант Ссылка на комментарий
Наталия1966 Опубликовано 4 октября, 2019 Автор Поделиться Опубликовано 4 октября, 2019 Открыть имплант надо. Есть вероятность его потери. Если так, то лучше раньше, чем позжеОткрыть - то есть, поставить формирователь? И посмотреть, что дальше будет. У меня такое подозрение, что это травматический гнойник от пережевывания грубой пищи. Потому как НИЧЕГО НЕ БОЛИТ, даже, когда врач выдавливал тщательно гной - ничего не болело, не побаливало. А самое главное - еще лезут осколки! Вот вчера вылез беленький, похожий на костную гранулу, которой заполняют рану. Я спичкой сковырнула его с десны. Ссылка на комментарий
dok1 Опубликовано 5 октября, 2019 Поделиться Опубликовано 5 октября, 2019 Простите, вы читаете, что вам пишут? С имплантом нужно расстаться. А в целом - дело хозяйское Ссылка на комментарий
Bier Опубликовано 5 октября, 2019 Поделиться Опубликовано 5 октября, 2019 Да мне кажется, что тему закрыть можно. Топикстартер с тем же успехом может сама с собой говорить. 2 Ссылка на комментарий
Наталия1966 Опубликовано 6 октября, 2019 Автор Поделиться Опубликовано 6 октября, 2019 (изменено) Да мне кажется, что тему закрыть можно. Топикстартер с тем же успехом может сама с собой говорить.Ну, вообщем, да, можно закрыть. Но мне было бы интересно дождаться результата установки. Все не так просто, как нам кажется с первого взгляда и случаи разные бывают. В принципе, в принципе... выдавливание гноя помогло и очень. Сегодня я проснулась и первым делом ощупка языком места - десна абсолютно ровная, потом побежала к зеркалу - гнойник ушел на его месте еще не совсем срослось и мягкий небольшой провальчик в месте гнойника, то есть заживает! Я сама еще пальцем слегка помассировала все вокруг от зуба до зуба -выдавилась еще капля гноя и все совсем опало. Десна розовая, ничего не болит. Заодно промассировала другой имплант, где мне в воспаленье вкрутил врач, он не болит, но нажим на десну и отпускание сильную пульсацию без боли вызывало. Там обмассировала и вот результат - десна лучше прилипать стала и пульсация исчезла! Вывод - никогда не надо торопиться, принимать поспешных решений. Если есть регламент - выжидать, значит нарушать его не надо 9 октября будет ровно 4 месяца. А на таком расщеплении гребня, видите, только только нормализовалось и то с вмешательством врача по десне. Нижние зубы не могут сливать сами гной как верхние, где он просто оттекал бы вниз. Тут вероятно он копиться в челюсти и не может сам исчезнуть. Вот такие пироги. Всем спасибо за внимание и добрые пожелания. Вот этим двум имплантам в июне ровно год был. Снимок в конце августа сделали. Одиночному верхнему год в ноябре будет. Изменено 6 октября, 2019 пользователем Наталия1966 Ссылка на комментарий
Irouil Опубликовано 6 октября, 2019 Поделиться Опубликовано 6 октября, 2019 (изменено) Не надо закрывать тему, чтиво же зачетное, только просьба ТС продолжать писать. Пусть будет своего рода "дневник одного имплантата"? Изменено 6 октября, 2019 пользователем Irouil 4 Ссылка на комментарий
Наталия1966 Опубликовано 1 ноября, 2019 Автор Поделиться Опубликовано 1 ноября, 2019 (изменено) Ну, вот и все. Установлен формирователь. Снимок показал частичное обнажение импланта по передней стенке, задняя покрывает весь имплант. Доктор сказал, что в принципе это допустимо. Если не будет нагноения в передней части импланта, то считайте, что он установлен. Если будет постоянное нагноение, то два варианта - удаление самого импланта, либо попытка подсадки кости на переднюю стенку. Посмотрим, конечно. Я что думаю. Если часть импланта обнажена, то не будет ли зубной камень лепиться к этой части, тело импланта не полировано. Мож отполировать как-то. Тогда прирастет ли десна. Вообщем пока два варианта - удаленье (очень не хотелось бы) и костная пластика. 10-мм имплант утоплен по край сзади и где-то на 5-6 мм спереди. Вот такие пироги! Изменено 1 ноября, 2019 пользователем Наталия1966 Ссылка на комментарий
red_butler Опубликовано 2 ноября, 2019 Поделиться Опубликовано 2 ноября, 2019 Не понятно зачем Вы создавали тему Ссылка на комментарий
Наталия1966 Опубликовано 12 ноября, 2019 Автор Поделиться Опубликовано 12 ноября, 2019 Не понятно зачем Вы создавали темуЯ не работаю на форуме и плачу свои деньги за все, поэтому мне хотелось бы узнать, кто что думает. И еще создам тему у меня есть проблемка. К нам "чуркам", кто платит свои бабосы, отношение явно пренебрежительнее, чем к тем, за кого платят, да еще ищут людей у них ставить. 1 1 Ссылка на комментарий
krokomot Опубликовано 12 ноября, 2019 Поделиться Опубликовано 12 ноября, 2019 Не понятен ваш посыл, но чтоб вы знали, все доктора на форуме высокого уровня и помогают всем абсолютно бесплатно, ни копейки тут никто не платит. Люди которые много работают еще и тратят свое личное время, что бы консультировать людей с их сложными ситуациями, далеко не все даже спасибо говорят, но я думаю хотя бы мы заслуживаем уважения к себе в общении и оформлении тем. 3 Ссылка на комментарий
Рекомендуемые сообщения