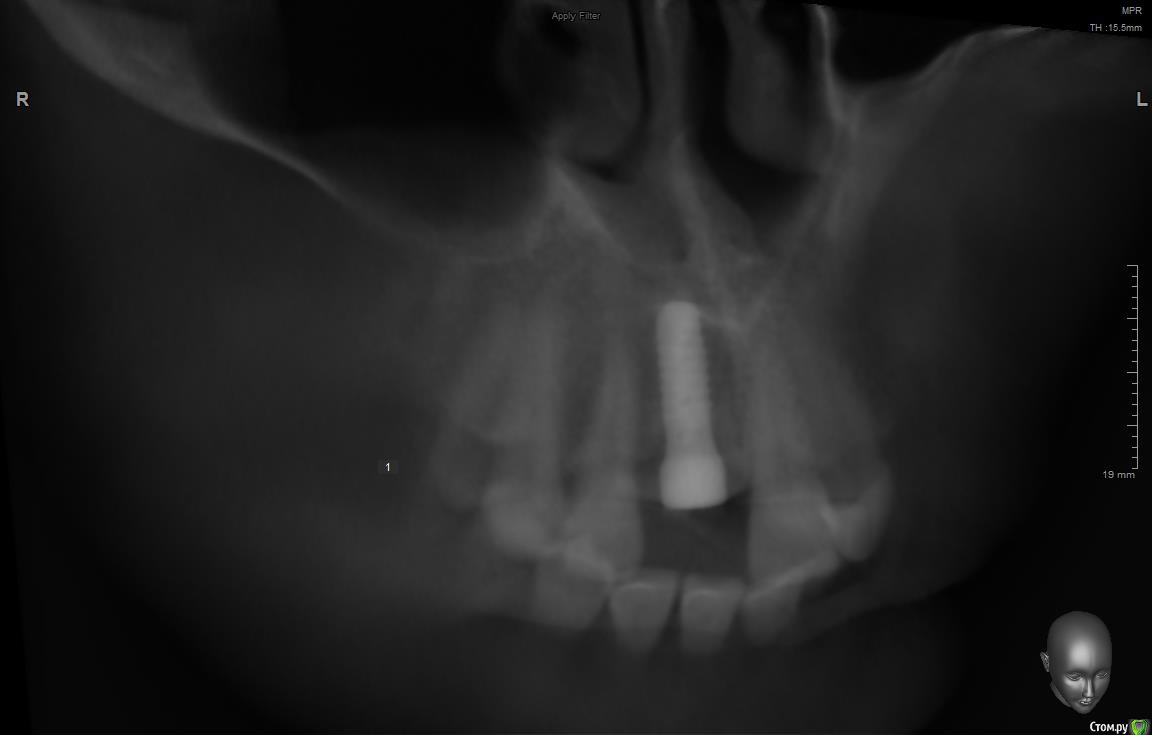
jm3300 Опубликовано 11 сентября, 2019 Поделиться Опубликовано 11 сентября, 2019 Имплант( система, производитель) не известен, формирователи подобные не видел, шестигранные отвертки не подходят( на формике отверстие под четырехгранник). Данных на имплант у пациента нет. В клинике, где ставили, якобы, не помнят что ставили. Может кто встречался с ними? Ссылка на комментарий
АнтонТЛТ Опубликовано 11 сентября, 2019 Поделиться Опубликовано 11 сентября, 2019 (изменено) Что за мода выкладывать срезы Кт, на которых всё фонит. Лучше уж прицельный снимок. Возможно это конмет, у них квадратный шлиц. Изменено 11 сентября, 2019 пользователем АнтонТЛТ 2 Ссылка на комментарий
jm3300 Опубликовано 11 сентября, 2019 Автор Поделиться Опубликовано 11 сентября, 2019 А к Конмету только Конмет подойдет? Ссылка на комментарий
dr Alexandr Опубликовано 14 сентября, 2019 Поделиться Опубликовано 14 сентября, 2019 Похож на Конмет, у этой системы своя протетика и ортопедический набор! Отвёртка у них 6 гр только меньше, нужно попробовать выкрутить фдм, там понятнее будет 1 Ссылка на комментарий
Рекомендуемые сообщения
Для публикации сообщений создайте учётную запись или авторизуйтесь
Вы должны быть пользователем, чтобы оставить комментарий
Создать аккаунт
Зарегистрируйте новый аккаунт в нашем сообществе. Это очень просто!
Регистрация нового пользователяВойти
Уже есть аккаунт? Войти в систему.
Войти