Shcheva Опубликовано 11 сентября, 2019 Поделиться Опубликовано 11 сентября, 2019 Добрый день,коллеги. Я начинающий ортопед. Хотелось бы узнать как вы поступаете, когда необходимо установить коронку на зуб, на котором есть скол под десну. Пришёл пациент, зуб 36, депульпирован, произошёл скол дистально щёчного бугра под десну на 2-3 мм. Как лучше поступить: 1)установить уступ на уровне клинической шейки и провести гингивэктомию нависающей дёсны и сполировать поверхность корня, Коронку емах/дц; 2) или иссечь десну, провести полировку и сделать мк с плечом? Извиняюсь за отсутствие фото, в клинике для фотопротокола вообще ничего нет... Ссылка на комментарий
zubovolok Опубликовано 11 сентября, 2019 Поделиться Опубликовано 11 сентября, 2019 2-3 мм под десну, думаю лучше удалить. Ссылка на комментарий
dentikl Опубликовано 11 сентября, 2019 Поделиться Опубликовано 11 сентября, 2019 Добрый день,коллеги. Извиняюсь за отсутствие фото, в клинике для фотопротокола вообще ничего нет...а камера мобильного телефона?Просто не встречал изолированный поддесневой скол дистально щечного угла. Ссылка на комментарий
Shcheva Опубликовано 11 сентября, 2019 Автор Поделиться Опубликовано 11 сентября, 2019 а камера мобильного телефона?Просто не встречал изолированный поддесневой скол дистально щечного угла. завтра придёт на повторный приём, постараюсь сделать, просто зеркал нет, а в рот телефон засовывать не комильфо) Ссылка на комментарий
dentikl Опубликовано 11 сентября, 2019 Поделиться Опубликовано 11 сентября, 2019 завтра придёт на повторный приём, постараюсь сделать, просто зеркал нет, а в рот телефон засовывать не комильфо)36? -просто откроет рот Ссылка на комментарий
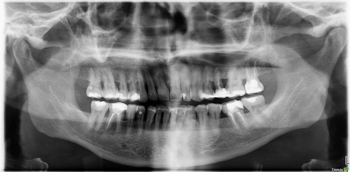
krokomot Опубликовано 11 сентября, 2019 Поделиться Опубликовано 11 сентября, 2019 Нужен рентген, до какого уровня скол, можно сепарировать десну провести препарированме сыормировать десневой контур на новом уровне, в области нижних зубов не рекомендую делать гингив эктомию, только перемещение. Ссылка на комментарий
oleg07 Опубликовано 12 сентября, 2019 Поделиться Опубликовано 12 сентября, 2019 Вертипреп? Ссылка на комментарий
kramer Опубликовано 12 сентября, 2019 Поделиться Опубликовано 12 сентября, 2019 Если подлежащие ткани плотные, то сделать билдап или вкладку, этот участок отпрепарировать без уступа, изготовить временную коронку, снять оттиск, далее ДЦ или emax Ссылка на комментарий
Паращук Роман Опубликовано 13 сентября, 2019 Поделиться Опубликовано 13 сентября, 2019 в.о.р.т 1 Ссылка на комментарий
Shcheva Опубликовано 24 сентября, 2019 Автор Поделиться Опубликовано 24 сентября, 2019 Десна базой ещё слегка отдавилась. Да, как раз 1 ноября в Краснодар на Стефана Конти поеду, только ещё два месяца ждать... Ссылка на комментарий
dentikl Опубликовано 24 сентября, 2019 Поделиться Опубликовано 24 сентября, 2019 Десна базой ещё слегка отдавилась. Да, как раз 1 ноября в Краснодар на Стефана Конти поеду, только ещё два месяца ждать...я бы сделал литую культевую и на нее по бюджету.Десна на препе под вкладку уйдет. Ссылка на комментарий
DmitrySH Опубликовано 24 сентября, 2019 Поделиться Опубликовано 24 сентября, 2019 Не вижу никаких особых сложностей. убрать пломбу, оценить то что имеем в итоге. далее или билдап или вкладку. Временной коронкой сформировать контур десны. И объяснить пациенту необходимость лечения и ортопедического восстановления 25,27, 36, для избежания подобных случаев Ссылка на комментарий
Shcheva Опубликовано 25 сентября, 2019 Автор Поделиться Опубликовано 25 сентября, 2019 А делать вертипреп и или поддесневой уступ, чтобы контур десны сформировать? Ссылка на комментарий
chervoncevdaniil Опубликовано 25 сентября, 2019 Поделиться Опубликовано 25 сентября, 2019 (изменено) Вертипреп,но вы и ваш техник должны знать протокол работы.Вы же не думаете,я надеюсь,что вертипреп это просто как под штамповку обточить и все?Там специальная подготовка штампиков,циркон с циркулярной гирляндой и очень много мелких врачебных и технических нюансов,если вы хотите это грамотно сделать(и техгнических нюансов там даже больше) Изменено 25 сентября, 2019 пользователем chervoncevdaniil Ссылка на комментарий
Рекомендуемые сообщения
Для публикации сообщений создайте учётную запись или авторизуйтесь
Вы должны быть пользователем, чтобы оставить комментарий
Создать аккаунт
Зарегистрируйте новый аккаунт в нашем сообществе. Это очень просто!
Регистрация нового пользователяВойти
Уже есть аккаунт? Войти в систему.
Войти