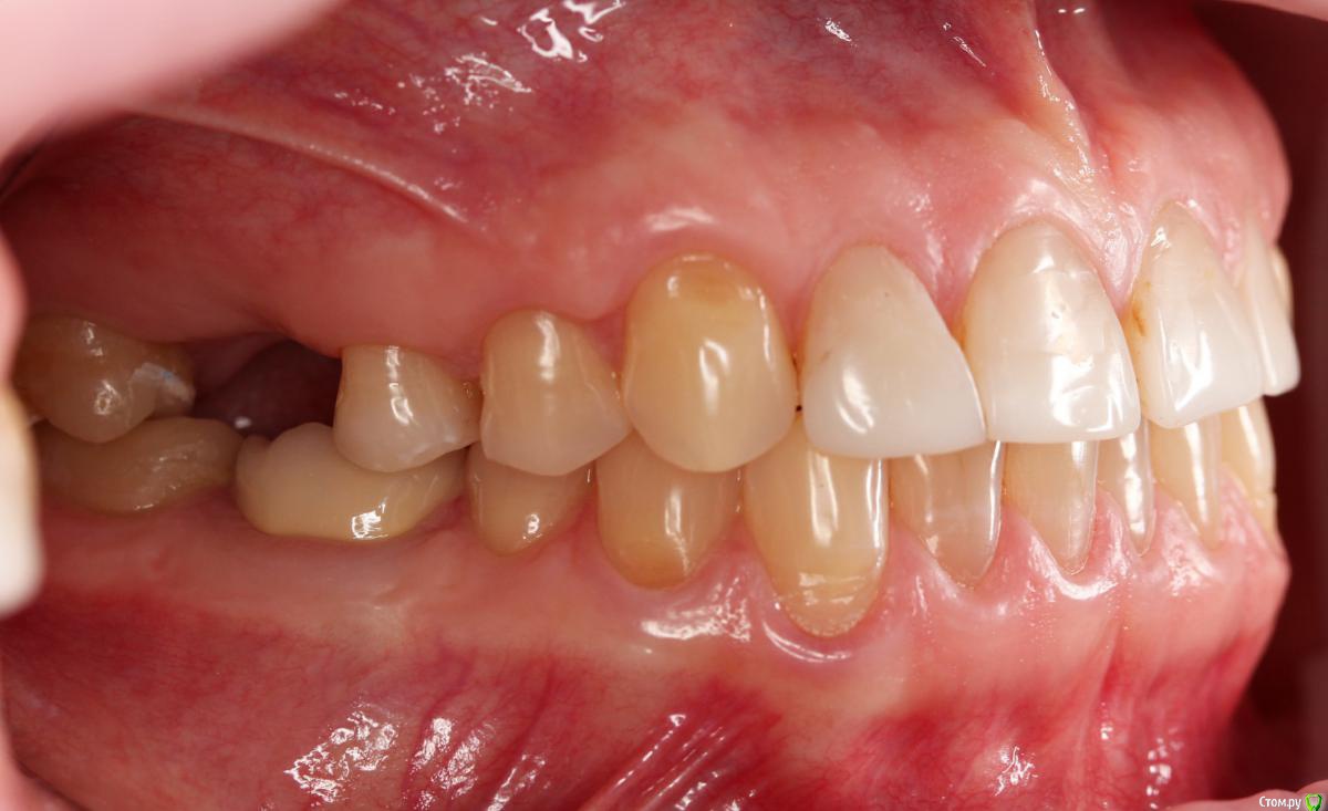
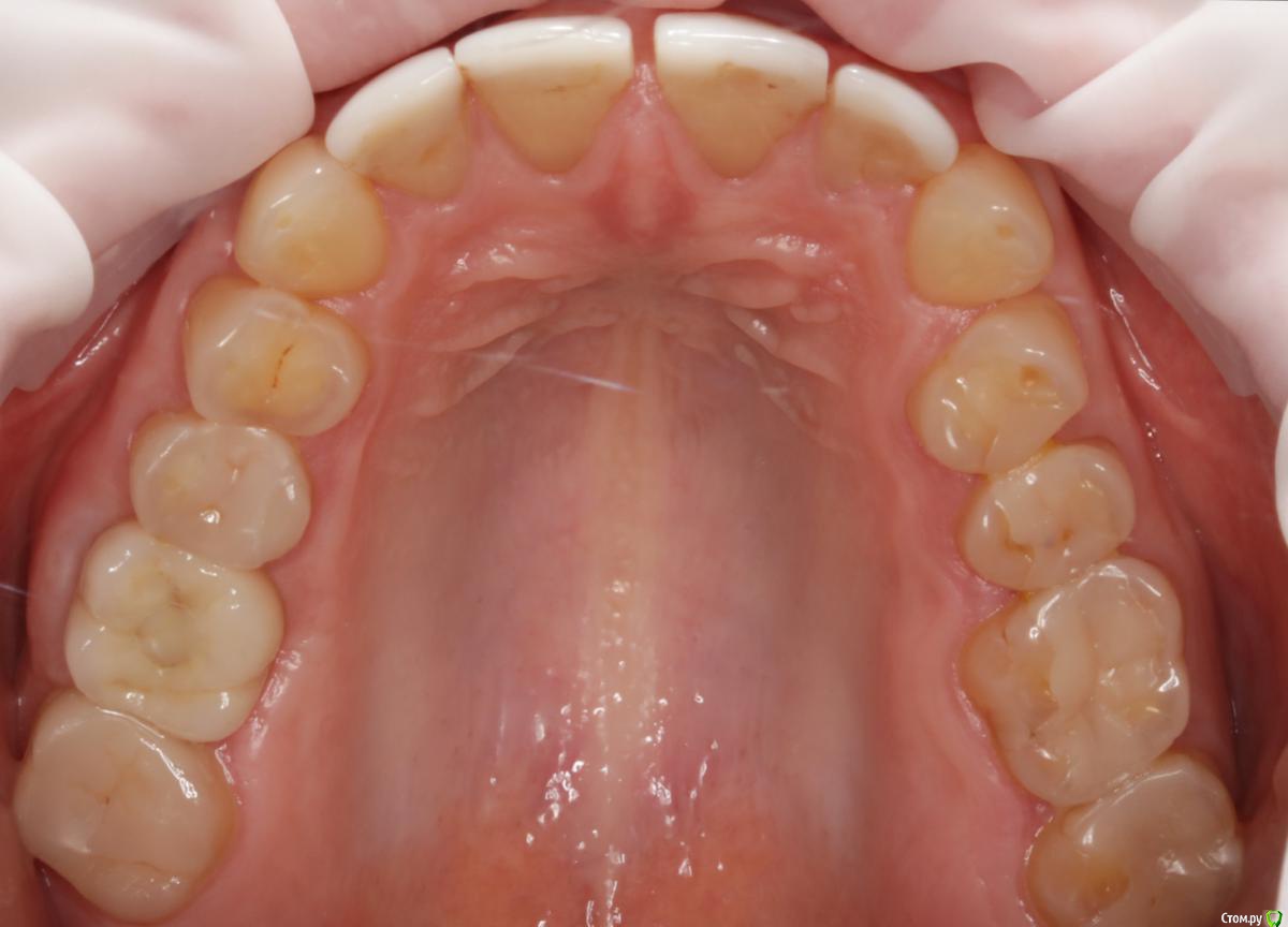
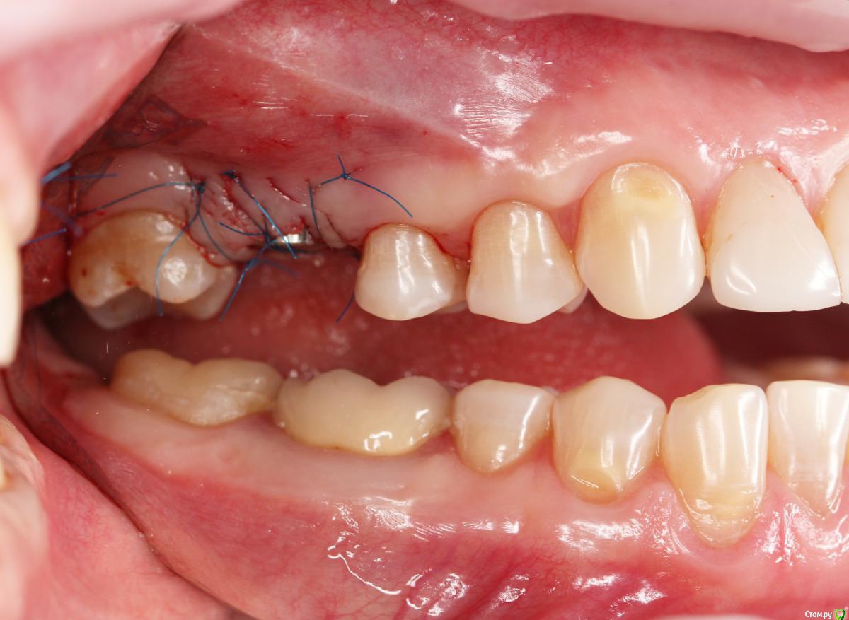
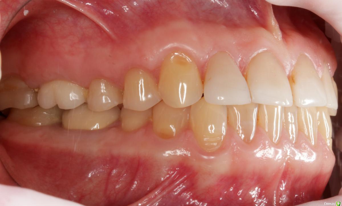
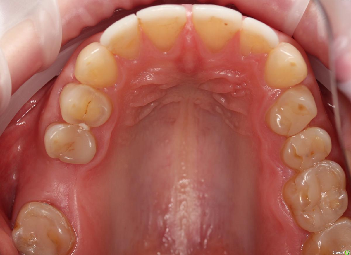
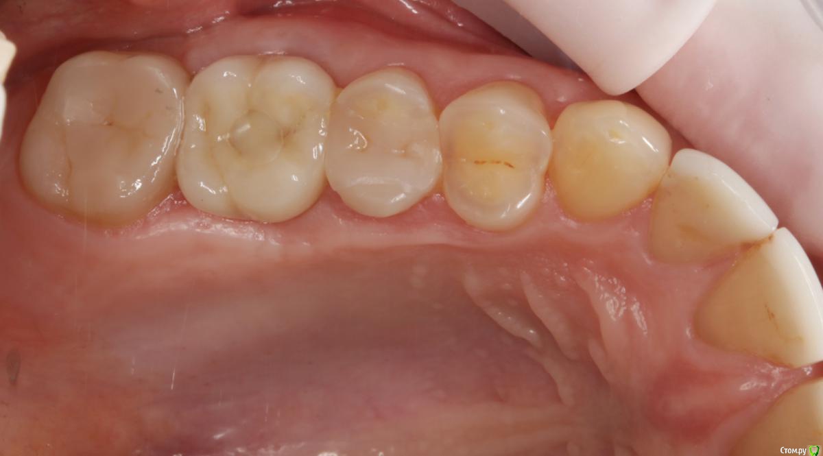
Dmitry DK Опубликовано 10 сентября, 2019 Поделиться Опубликовано 10 сентября, 2019 Фотопротокол к сожалению не полный, но ничего особенного и не проводилось. 1) Открытый синус, удален пломбировочный материал из пазухи, уложен 1 г Bio-oss 2) через 6 мес имплантация Straumann SP 4.1\10 Результат через год 9 Ссылка на комментарий
Irouil Опубликовано 10 сентября, 2019 Поделиться Опубликовано 10 сентября, 2019 Классный результат, только я бы не разделял хирургические этапы 1 Ссылка на комментарий
Dmitriy DK Опубликовано 11 сентября, 2019 Поделиться Опубликовано 11 сентября, 2019 Спасибо) Ссылка на комментарий
dr Alexandr Опубликовано 14 сентября, 2019 Поделиться Опубликовано 14 сентября, 2019 Аккуратно сделано всё!..какой материал для синуса? Ссылка на комментарий
Dmitry DK Опубликовано 18 сентября, 2019 Автор Поделиться Опубликовано 18 сентября, 2019 Аккуратно сделано всё!..какой материал для синуса?Спасибо!Bio-oss около 1,5 г Ссылка на комментарий
Дохтур Rusya Опубликовано 19 сентября, 2019 Поделиться Опубликовано 19 сентября, 2019 Супер. А бухты , которые после лифта в синусе получились, не будут являться причиной места скопления микробов инфекции? Ссылка на комментарий
Dmitry DK Опубликовано 20 сентября, 2019 Автор Поделиться Опубликовано 20 сентября, 2019 Супер. А бухты , которые после лифта в синусе получились, не будут являться причиной места скопления микробов инфекции?Спасибо)Не встречался с подобной проблемой, тем более такая анатомическая ситуация встречается часто в естественном варианте Ссылка на комментарий
Рекомендуемые сообщения
Для публикации сообщений создайте учётную запись или авторизуйтесь
Вы должны быть пользователем, чтобы оставить комментарий
Создать аккаунт
Зарегистрируйте новый аккаунт в нашем сообществе. Это очень просто!
Регистрация нового пользователяВойти
Уже есть аккаунт? Войти в систему.
Войти