kryger2010 Опубликовано 10 сентября, 2019 Поделиться Опубликовано 10 сентября, 2019 (изменено) Доброго времени суток. Уважаемые специалисты очень прошу помочь разобраться в сложившейся ситуации. Верхняя 6-ка = лет 15 как депульпирована, восстановлена на штифтах, нависающие края пломбы постоянно раздражали десну, дважды перепломбировали. Все это дело надоело и было принято решение ставить коронку. Протезист сказал что лучше ставить МК, вроде как недорого и для жевательного зуба будет норм. В процессе обточки зуба я интересовался, с уступом делается или нет, да, уступ 1,5 мм что то типо того. Ретракцию десны делал нитью 1 мм, в общем снял слепок через пару дней поставил коронку. Первые пару дней десны болели нереально, коронка мешала и распирала 5 и 7, через пару дней дискомфорт прошел. При надавливании на десну у щеки никаких неприятных ощущений нет, при надавливании у основания коронки на десну со стороны неба - есть болезненные ощущения. Ногтем под десной нащупывается край коронки причем ощущается как выпирающая от корня ступенька. Пошел к доктору который поставил ее, он говорит, не выдумывайте я смотрю тут все идеально и болеть нечему - на вопрос о выступе он говорит так и должно быть это экватор зуба, полоскайте солью и все пройдет. На родном зубе такого экватора не наблюдал резкого. Прошло пару дней - ничего не поменялось, если надавить то неприятно и даже проступает немного крови. Пошел еще раз к врачу, он начинает "я же не знаю где вы лечили этот зуб до меня вдруг там каналы не пролечены" пошел сделал снимок, там все хорошо. Давайте говорит промою линкомицином и дексометазоном. На мои доводы что воспалено у самого основание у края ( как он говорит экватор) ничего слушать не хочет. Промыл линкомицином - воспаление проходит до первого приема пищи или надавливания на десну. С щечной стороны под десной также прощупывается переход с зуба на коронку ступенькой но там не беспокоит. Должен ли быть такой переход как я описал, просить вернуть деньги и идти в другую клинику? Коронка делалась литьем, врач также говорил что в этом случае имеют место быть погрешности и это нормально типа. Изменено 10 сентября, 2019 пользователем kryger2010 Ссылка на комментарий
kryger2010 Опубликовано 10 сентября, 2019 Автор Поделиться Опубликовано 10 сентября, 2019 (изменено) В состоянии покоя место это как будто зудит чешется, не могу объяснить в общем доставляет дискомфорт. В интернете смотрел что делается край коронки заподлицо с корнем зуба у меня же там переход мм 1,5-2 причем резкий.... Изменено 10 сентября, 2019 пользователем kryger2010 Ссылка на комментарий
red_butler Опубликовано 10 сентября, 2019 Поделиться Опубликовано 10 сентября, 2019 http://forum.stom.ru/topic/20613-sovety-patcientam-obiazatelno-k-prochteniiu/ Ссылка на комментарий
kryger2010 Опубликовано 10 сентября, 2019 Автор Поделиться Опубликовано 10 сентября, 2019 Вечером выложу рентген но он прицельный, есть панорамный снимок, но сделанный до установки коронки... Ссылка на комментарий
St. Опубликовано 10 сентября, 2019 Поделиться Опубликовано 10 сентября, 2019 Вечером выложу рентген но он прицельный, есть панорамный снимок, но сделанный до установки коронки...лучше прицельный с коронкой 2 Ссылка на комментарий
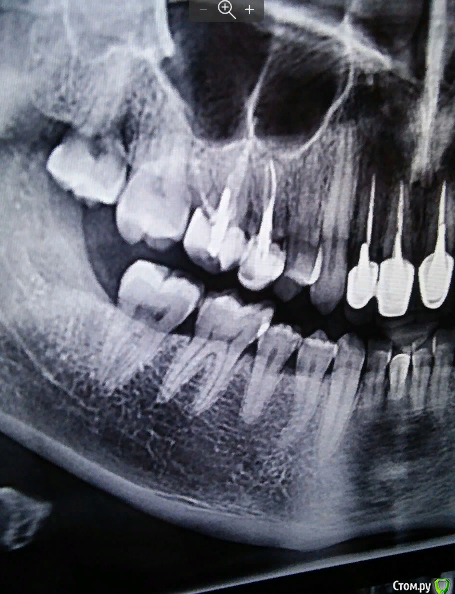
kryger2010 Опубликовано 10 сентября, 2019 Автор Поделиться Опубликовано 10 сентября, 2019 До установки и после Ссылка на комментарий
kryger2010 Опубликовано 11 сентября, 2019 Автор Поделиться Опубликовано 11 сентября, 2019 лучше прицельный с коронкойПосмотрите пожалуйста Ссылка на комментарий
kryger2010 Опубликовано 11 сентября, 2019 Автор Поделиться Опубликовано 11 сентября, 2019 (изменено) Ходил к 2-м специалистам. Первый снимки не смотрел, сказал, что коронка стоит на своем месте и давить не должно. Воспалена десна. Второй специалист детально осмотрел снимки, сказал что воспалена десна, а я ее еще и руками трогаю периодически и тем самым провоцирую "замкнутый круг" болит, ищу причину и трогаю и тем самым усугубляю все. Посоветовал вообще не трогать и полоскать хлогексидином. Также сказал, что в нашей глухой деревне понятие уступа только на словах, в реальности нет специалистов, которые могли бы его выполнить. Добавил, что это не критично и для моего зуба сделано в целом неплохо. Также сказал что третий канал исходя из данных снимков не пломбирован, зуб депульпирован лет 15 назад. Перелечивать канал сказал может быть рискованно, так как это может вызвать осложнения и врач окажется крайним, не говоря уже о затратах на новую коронку. Особенно удивили слова " не обижайтесь но о гигиене у вас говорить не приходится, как будто вы вообще не чистите зубы" Кааак? Я 2-3 раза в день чищу локалютом мягкой щеткой и пользуюсь нитью.Сколько вообще восстанавливается десна и идет привыкание к коронкам? Изменено 11 сентября, 2019 пользователем kryger2010 Ссылка на комментарий
DmitrySH Опубликовано 11 сентября, 2019 Поделиться Опубликовано 11 сентября, 2019 Здравствуйте. По вашим снимкам сложно сказать что-то конкретное. Прицельный снимок сделан так, что прилегание коронки по нему невозможно оценить. Но видно у зуба 15 есть хроническое воспаление и пародонтальный карман. 2 Ссылка на комментарий
kryger2010 Опубликовано 11 сентября, 2019 Автор Поделиться Опубликовано 11 сентября, 2019 (изменено) Как я понял, он появился из за некачественной нависающей пломбы, что можете посоветовать чтобы снять воспаление, карман как понимаю, полному устранению не подлежит...Кстати врач, который ставил коронку уверил, что карман закроется коронкой и беспокоить не будет Изменено 11 сентября, 2019 пользователем kryger2010 Ссылка на комментарий
St. Опубликовано 11 сентября, 2019 Поделиться Опубликовано 11 сентября, 2019 Посмотрите пожалуйста присоединяюсь к ответу выше. Снимок с коронкой сделан слегка под углом и по нему не понятно как коронка соотносится с корнем. воспалена десна, а я ее еще и руками трогаю периодически и тем самым провоцирую "замкнутый круг" болит, ищу причину и трогаю и тем самым усугубляю все. вполне логичное обьяснение. В таком случае чистить как обычно(только щетку лучше все же средней жесткости), плюс мазать десну метрогилом, полоскать хлоргексидином 0,05%, и пока на неделю-другую оставить в покое.Понаблюдайте поменяется ли что-то. он появился из за нависающей пломбы,......карман как понимаю, полному устранению не подлежит. Да 1 Ссылка на комментарий
kryger2010 Опубликовано 11 сентября, 2019 Автор Поделиться Опубликовано 11 сентября, 2019 Хлоргексидин как продается 0.05% им и полоскать? или разбавлять водой? Ссылка на комментарий
DmitrySH Опубликовано 11 сентября, 2019 Поделиться Опубликовано 11 сентября, 2019 Так и полоскать Ссылка на комментарий
DmitrySH Опубликовано 11 сентября, 2019 Поделиться Опубликовано 11 сентября, 2019 что можете посоветовать чтобы снять воспаление Скорее всего разбираться с зубом 15 тоже надо. И налаживать гигиену, судя из написанного. Ссылка на комментарий
St. Опубликовано 11 сентября, 2019 Поделиться Опубликовано 11 сентября, 2019 причем после повторного эндо 15 восстанавливать обязательно коронкой, так и для десны и для зуба будет лучше Ссылка на комментарий
Рекомендуемые сообщения
Для публикации сообщений создайте учётную запись или авторизуйтесь
Вы должны быть пользователем, чтобы оставить комментарий
Создать аккаунт
Зарегистрируйте новый аккаунт в нашем сообществе. Это очень просто!
Регистрация нового пользователяВойти
Уже есть аккаунт? Войти в систему.
Войти