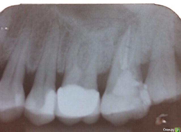
Oxi78 Опубликовано 7 сентября, 2019 Поделиться Опубликовано 7 сентября, 2019 Добрый день. Имею проблему с 27 зубом. Пошла к стоматологу. Сделали снимок. По снимку инфекция в районе корня. Сказали можно или удалить зуб или попробовать пить антибиотики и потом лечить зуб обязательно с применением микроскопа. Уважаемые стоматологи посмотрите пожалуйста снимок. Можно ли спасти этот зуб. Можно ли по этому снимку оценить состояние кости вокруг других зубов. Спасибо. Ссылка на комментарий
krokomot Опубликовано 7 сентября, 2019 Поделиться Опубликовано 7 сентября, 2019 Шансы есть. 2 Ссылка на комментарий
red_butler Опубликовано 11 сентября, 2019 Поделиться Опубликовано 11 сентября, 2019 Я бы лечил Ссылка на комментарий
Гарриевич Опубликовано 16 сентября, 2019 Поделиться Опубликовано 16 сентября, 2019 лечить можно, микроскоп опционно Ссылка на комментарий
Рекомендуемые сообщения
Для публикации сообщений создайте учётную запись или авторизуйтесь
Вы должны быть пользователем, чтобы оставить комментарий
Создать аккаунт
Зарегистрируйте новый аккаунт в нашем сообществе. Это очень просто!
Регистрация нового пользователяВойти
Уже есть аккаунт? Войти в систему.
Войти