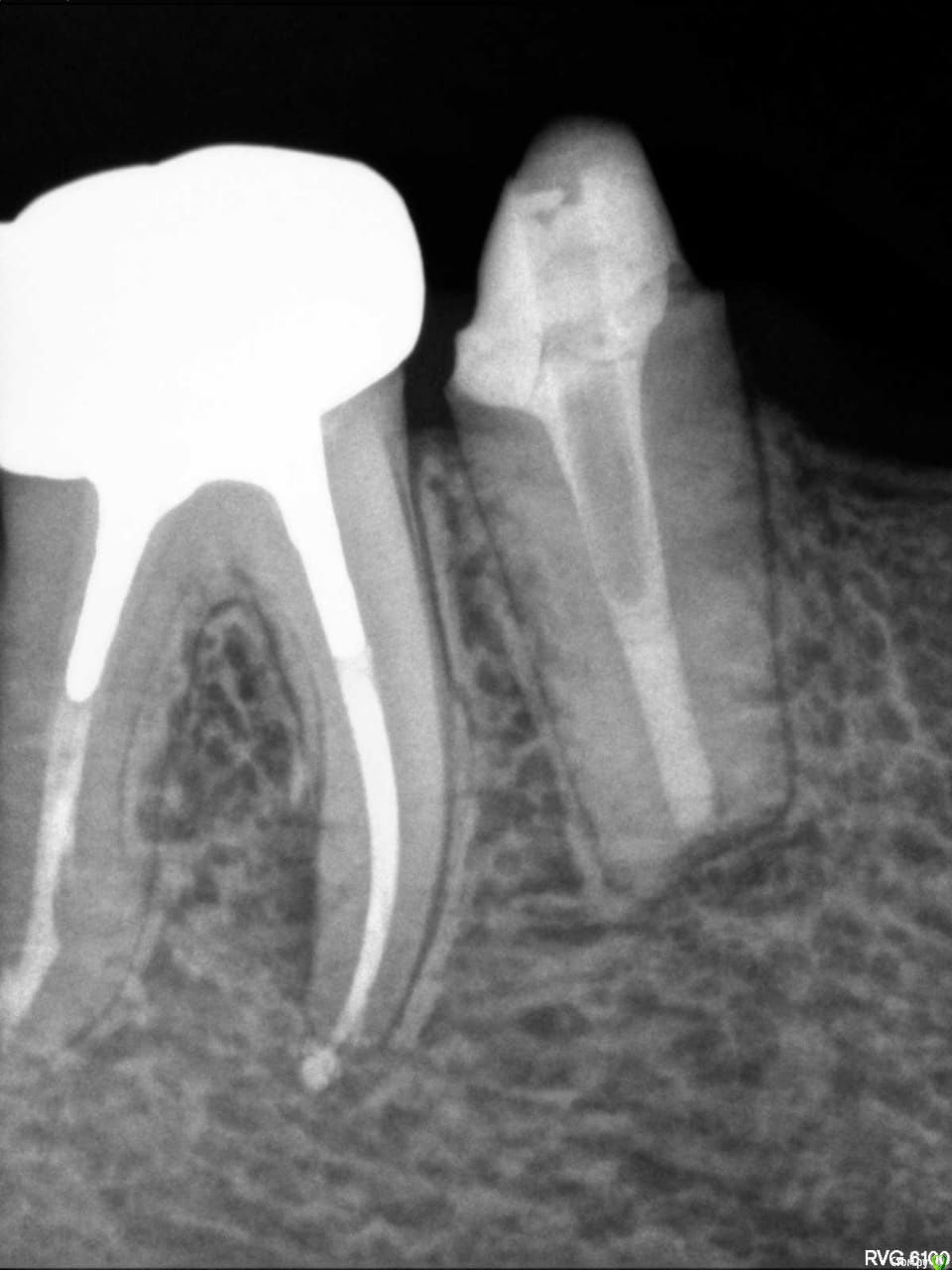
Placeforastep Опубликовано 7 сентября, 2019 Поделиться Опубликовано 7 сентября, 2019 Добрый день, уважаемые стоматологи!Подскажите пожалуйста, этот зуб (6-ка) нужно перелечивать? Если ли на нем киста?Ощущение выросшего зуба и дискомфорт при надкусывании. Ссылка на комментарий
krokomot Опубликовано 7 сентября, 2019 Поделиться Опубликовано 7 сентября, 2019 не весь 6й зуб попал в область прицельного снимка, есть подозрение на наличие воспалительного процесса на боковой стенке корня, там возможно есть ответвление корневого канала. нужно сделать томограмму в эндорежиме и посмотреть зуб в различных срезах и ракурсах. То есть томограмму с высоким разрешением участка с этим зубом. Ссылка на комментарий
Гарриевич Опубликовано 16 сентября, 2019 Поделиться Опубликовано 16 сентября, 2019 по снимку диагноз киста не ставитсяпо вашим жалобам может быть периодонтитгде и как лечили? Ссылка на комментарий
Рекомендуемые сообщения
Для публикации сообщений создайте учётную запись или авторизуйтесь
Вы должны быть пользователем, чтобы оставить комментарий
Создать аккаунт
Зарегистрируйте новый аккаунт в нашем сообществе. Это очень просто!
Регистрация нового пользователяВойти
Уже есть аккаунт? Войти в систему.
Войти