Александр9 Опубликовано 6 сентября, 2019 Поделиться Опубликовано 6 сентября, 2019 (изменено) Неделю назад делал ультразвуковую чистку зубного камня, Airflow плюс шлифовку. Через пару дней обнаружил ощущение что под верхней губой остается частичка пищи, и только потом посмотрел и увидел там язвочку на десне. Вопросы: насколько вероятно, что это проявление вызвано проделанной процедурой?должны ли меня в той стоматологии бесплатно продиагностировать и лечить это проявлениенасколько срочно мне надо этим заняться? (как назло свободное время только на следующей неделе) Изменено 6 сентября, 2019 пользователем Александр9 Ссылка на комментарий
shishok Опубликовано 6 сентября, 2019 Поделиться Опубликовано 6 сентября, 2019 Это похоже на свищевой ход,с чисткой никак не связано. Сделайте снимок зубов под коронками. 2 Ссылка на комментарий
Александр9 Опубликовано 6 сентября, 2019 Автор Поделиться Опубликовано 6 сентября, 2019 Это похоже на свищевой ход,с чисткой никак не связано. Сделайте снимок зубов под коронками.Спасибо! Ссылка на комментарий
St. Опубликовано 6 сентября, 2019 Поделиться Опубликовано 6 сентября, 2019 насколько вероятно, что это проявление вызвано проделанной процедурой? Абсолютно никак не связано должны ли меня в той стоматологии бесплатно продиагностировать и лечить это проявление никто Вам ничего не должен.. насколько срочно мне надо этим заняться? В плановом порядке, неделю точно терпит 3 Ссылка на комментарий
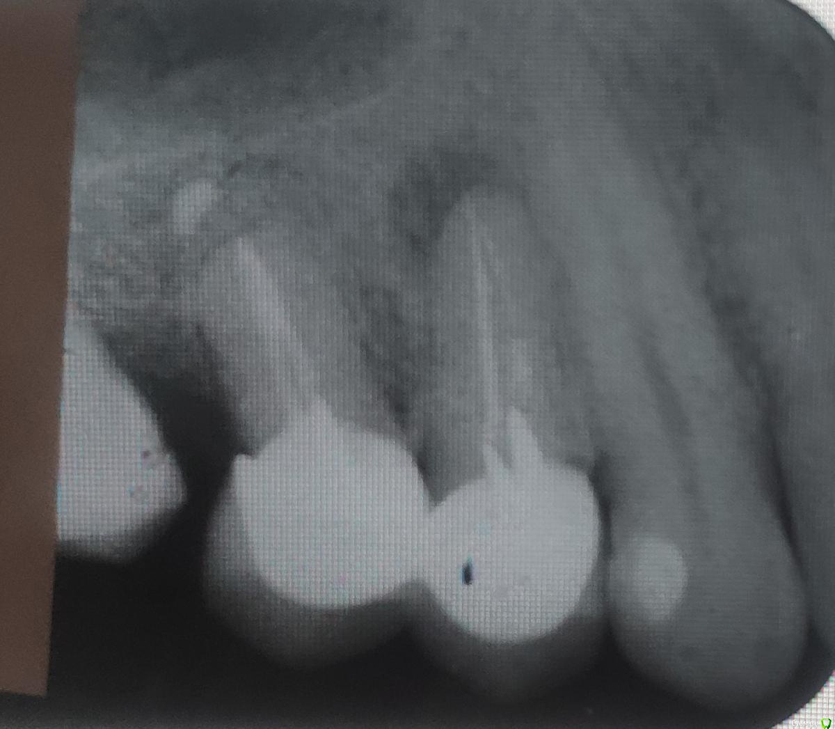
Александр9 Опубликовано 11 сентября, 2019 Автор Поделиться Опубликовано 11 сентября, 2019 Пока не дошел до врача. Успел только сделать рентген. Сам ничего разобрать на нем не могу. Насколько все серьезно? Надо ли обращаться к врачу который ставил мне эти коронки 3,5 года назад? Ссылка на комментарий
St. Опубликовано 11 сентября, 2019 Поделиться Опубликовано 11 сентября, 2019 Добрый день. Проблема в ближнем зубе под коронкой, там хроническое воспаление за пределами зуба, в период обострения оно "искало выход" и появился свищ. Нужно идти к стоматологу, поскольку само оно не пройдет, может только уменьшиться на время. Снять коронку, перелечить корневые каналы и после этого сделать новую коронку 1 Ссылка на комментарий
Александр9 Опубликовано 11 сентября, 2019 Автор Поделиться Опубликовано 11 сентября, 2019 Нужно идти к стоматологу, поскольку само оно не пройдет, может только уменьшиться на время. Снять коронку, перелечить корневые каналы и после этого сделать новую коронкуСпасибо! А к тому врачу который мне делал коронки имеет смысл обращаться (это связано с его качеством работы и сможет ли он это лучше исправить) ? Или прошло уже много времени и нужно просто искать хорошего стоматолога? Ссылка на комментарий
St. Опубликовано 12 сентября, 2019 Поделиться Опубликовано 12 сентября, 2019 Спасибо! А к тому врачу который мне делал коронки имеет смысл обращаться (это связано с его качеством работы и сможет ли он это лучше исправить) ? Или прошло уже много времени и нужно просто искать хорошего стоматолога?Нужно искать хорошего стоматолога.Судя из ваших коментариев каналы перед постановкой коронок не перелечивали, правильно?Если с доктором который делал прошлый раз коронки было комфортно и он занимается лечением каналов, то почему б и нет) Еще раз акцентирую ваше внимание что проблема не от коронок как таковых а от микробов в корне с которыми не справился ваш иммунитет Ссылка на комментарий
Рекомендуемые сообщения
Для публикации сообщений создайте учётную запись или авторизуйтесь
Вы должны быть пользователем, чтобы оставить комментарий
Создать аккаунт
Зарегистрируйте новый аккаунт в нашем сообществе. Это очень просто!
Регистрация нового пользователяВойти
Уже есть аккаунт? Войти в систему.
Войти