Большой Зеленый Опубликовано 5 сентября, 2019 Поделиться Опубликовано 5 сентября, 2019 Ненадолго. напряжение между единицами .Мало мобилизовал .Жидкий сст .растает быстро 1 Ссылка на комментарий
Большой Зеленый Опубликовано 5 сентября, 2019 Поделиться Опубликовано 5 сентября, 2019 Это точно работает 7 Ссылка на комментарий
Bier Опубликовано 5 сентября, 2019 Автор Поделиться Опубликовано 5 сентября, 2019 Ненадолго. напряжение между единицами .Мало мобилизовал .Жидкий сст .растает быстрода ты я смотрю круче Ванги этот ССТ не растает, т.к. там один сплошной коллаген. Он очень плотный и потому я его максимально истончил, чтобы он быстро реваскуляризовался. Уже на снятии швов напряжения практически нет. По опыту, то, что сразу не расползлось в дальнейшем стабильно. 1 Ссылка на комментарий
Большой Зеленый Опубликовано 5 сентября, 2019 Поделиться Опубликовано 5 сентября, 2019 Покажи потом результат ,через год.. 1 Ссылка на комментарий
Bier Опубликовано 5 сентября, 2019 Автор Поделиться Опубликовано 5 сентября, 2019 следующий прием через 6 мес. Надеюсь увижу его Иногда я провожу пластику преддверия местными тканями после такой операции, чтобы убрать натяжение. В данном случае ССТ уже пересажен и при пластике преддверия дополнительная пересадка не нужна. 1 Ссылка на комментарий
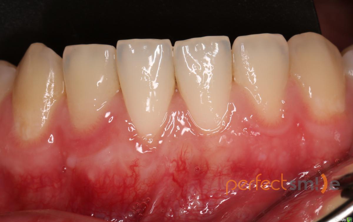
Bier Опубликовано 12 марта, 2020 Автор Поделиться Опубликовано 12 марта, 2020 Большой Зеленый, смотри ) 4 Ссылка на комментарий
Большой Зеленый Опубликовано 12 марта, 2020 Поделиться Опубликовано 12 марта, 2020 Я уже вижу начало этого процесса. В сентябре покажи как уговаривались,через год. Ссылка на комментарий
Bier Опубликовано 13 марта, 2020 Автор Поделиться Опубликовано 13 марта, 2020 Нет, теперь он через год будет. Ссылка на комментарий
Большой Зеленый Опубликовано 13 марта, 2020 Поделиться Опубликовано 13 марта, 2020 Сам то ты ,я думаю, находишь результат удовлетворительным? Ссылка на комментарий
Bier Опубликовано 13 марта, 2020 Автор Поделиться Опубликовано 13 марта, 2020 я вижу небольшой рецидив, но считаю, что все так и останется. Удовлетворительно.Более толстый трансплантат в такой ситуации рискован некрозом всего. В моем кейсе покрывной лоскут очень тонкий. Ссылка на комментарий
Irouil Опубликовано 13 марта, 2020 Поделиться Опубликовано 13 марта, 2020 Объективно - прикрепленки мало Но учитывая что было... На мой взгляд результат действительно удовлетворительный, смотреть надо что будет дальше, но даже если придётся повторять - условия будут лучше. Рубцов агрессивных нет, это главное. Ссылка на комментарий
Рекомендуемые сообщения
Для публикации сообщений создайте учётную запись или авторизуйтесь
Вы должны быть пользователем, чтобы оставить комментарий
Создать аккаунт
Зарегистрируйте новый аккаунт в нашем сообществе. Это очень просто!
Регистрация нового пользователяВойти
Уже есть аккаунт? Войти в систему.
Войти