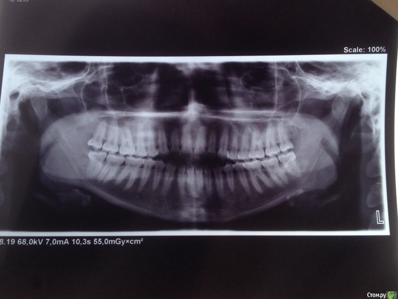
КошкинДом Опубликовано 3 сентября, 2019 Поделиться Опубликовано 3 сентября, 2019 Приветствую всех!Меня зовут Александра, мне 25 лет и я ипохондрик, переживаю в данный момент из-за своих зубов. Возможно кто-то из вас сможет дать мне совет Пол года назад у меня немного заболел левый ВНЧС, было неудобно спасть, затем все прошло и больше ничего не беспокоит до сих пор, только иногда хрустит в левом суставе и легкий дискомфорт в ухе после еды. Я заметила что в течении этих 6 месяцев мой прикус открылся ~2мм Вот мое фото 2017:А вот сейчас: Также прикрепляю два фото, ТРГ и ОПТГ: Мой вопрос: Меня сейчас ничего не беспокоит в моих зубах, можно ли и дальше спокойно жить? Если кто-то сталкивался с подобным дайте совет Всем хорошего дня 1 Ссылка на комментарий
krokomot Опубликовано 3 сентября, 2019 Поделиться Опубликовано 3 сентября, 2019 когда прорезались зубы мудрости? Ссылка на комментарий
КошкинДом Опубликовано 4 сентября, 2019 Автор Поделиться Опубликовано 4 сентября, 2019 когда прорезались зубы мудрости?Лет 7 назад, не доставили никаких неудобств Ссылка на комментарий
КошкинДом Опубликовано 4 сентября, 2019 Автор Поделиться Опубликовано 4 сентября, 2019 Заключение ТРГ: скелетный 1 класс с выраженной тенденцией к 3 классу. Вертикальная резцовая дизокклюзия зубоальвеолярная форма. Протрузия резцов верхней челюсти. Нейтральный тип роста челюстей с тенденцией к вертикальному.Сужение нижних воздухоносных путей не выявлено. Ссылка на комментарий
krokomot Опубликовано 4 сентября, 2019 Поделиться Опубликовано 4 сентября, 2019 Открытый прикус требует лечения. Ссылка на комментарий
Большой Зеленый Опубликовано 4 сентября, 2019 Поделиться Опубликовано 4 сентября, 2019 Надо бы еще фотографию в купальнике Ортодонт Вам поможет 2 Ссылка на комментарий
КошкинДом Опубликовано 5 сентября, 2019 Автор Поделиться Опубликовано 5 сентября, 2019 Открытый прикус требует лечения.Благодарю за ответ Ссылка на комментарий
Рекомендуемые сообщения
Для публикации сообщений создайте учётную запись или авторизуйтесь
Вы должны быть пользователем, чтобы оставить комментарий
Создать аккаунт
Зарегистрируйте новый аккаунт в нашем сообществе. Это очень просто!
Регистрация нового пользователяВойти
Уже есть аккаунт? Войти в систему.
Войти