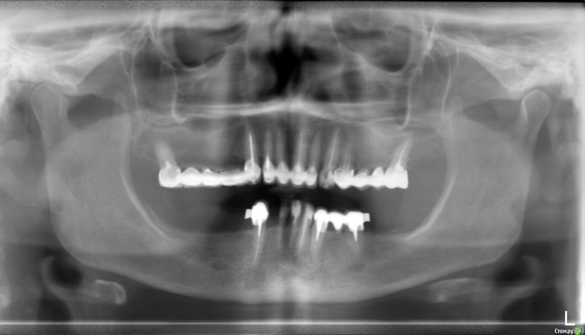
Dasha M Опубликовано 2 сентября, 2019 Поделиться Опубликовано 2 сентября, 2019 Добрый день. Собираюсь устанавливать импланты. В процессе поиска клиники нашла стоматолога с хорошими рекомендациями. Смутило то, что он получив мой снимок, сказал, что на нижней челюсти достаточно костной ткани и наращивания кости не потребуется. Те зубы, что отсутствуют на нижней челюсти, потеряны очень давно, лет 20 назад. Пожалуйста, помогите мне с ответом на 2 вопроса. 1. Достаточно ли костной ткани для имлантации. 2. Сколько имлантов лучше всего установить на нижней челюсти. Фото прилагаю. Большое спасибо! Ссылка на комментарий
Bier Опубликовано 2 сентября, 2019 Поделиться Опубликовано 2 сентября, 2019 Здравствуйте! По высоте костной ткани у вас достаточно, ширину на таком снимке не оценить, нужно либо смотреть во рту либо 3Д компьютерную томографию (CBCT) Минимум 3 штуки при условии сохранения оставшихся зубов. Ссылка на комментарий
колесников Опубликовано 4 сентября, 2019 Поделиться Опубликовано 4 сентября, 2019 5 имплантов и совершенно точно пластика десны (возможно дважды). О необходимости костной пластики-только после клкт (3д). Ссылка на комментарий
Рекомендуемые сообщения
Для публикации сообщений создайте учётную запись или авторизуйтесь
Вы должны быть пользователем, чтобы оставить комментарий
Создать аккаунт
Зарегистрируйте новый аккаунт в нашем сообществе. Это очень просто!
Регистрация нового пользователяВойти
Уже есть аккаунт? Войти в систему.
Войти