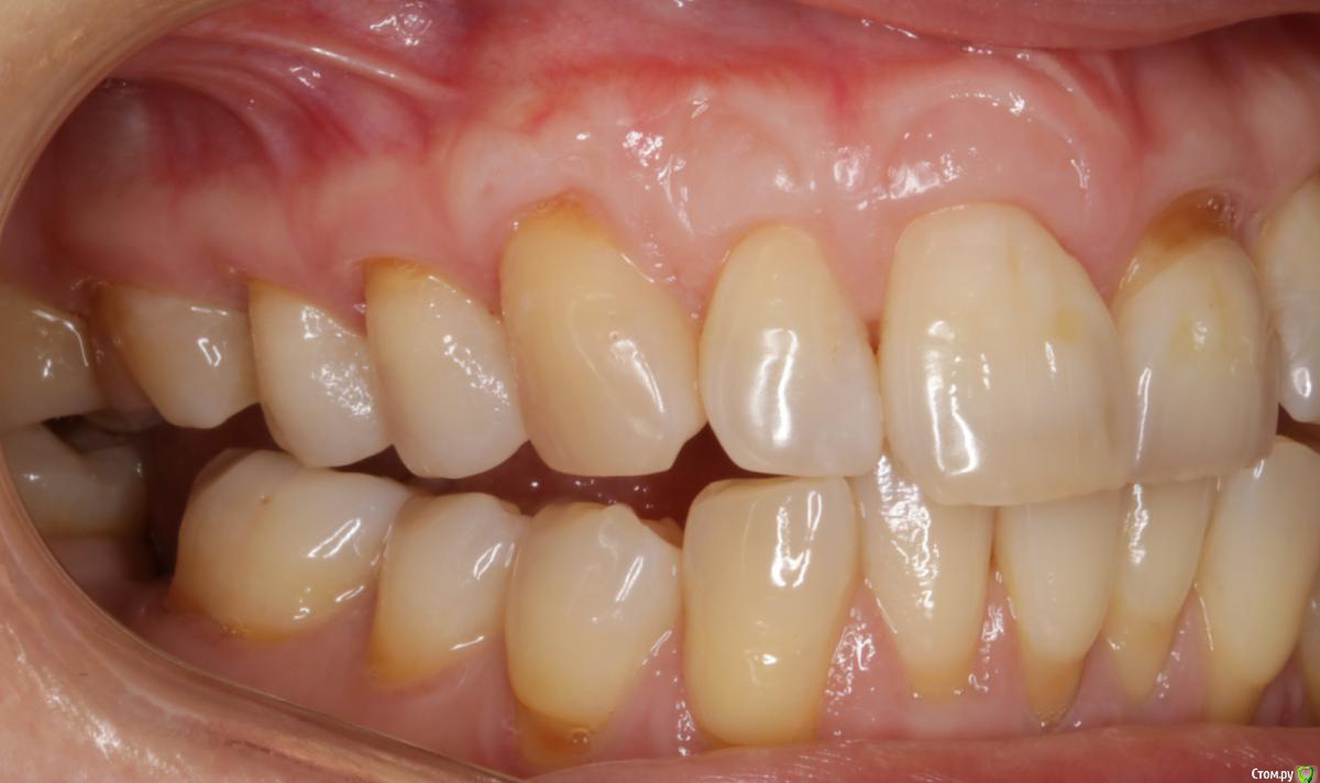
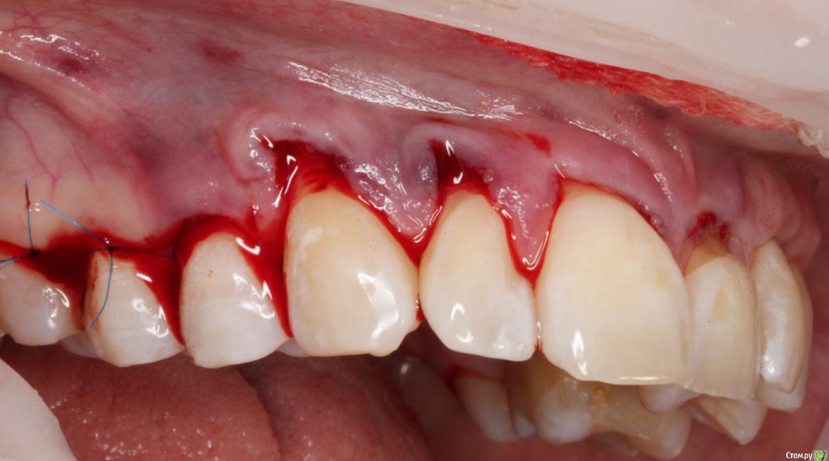
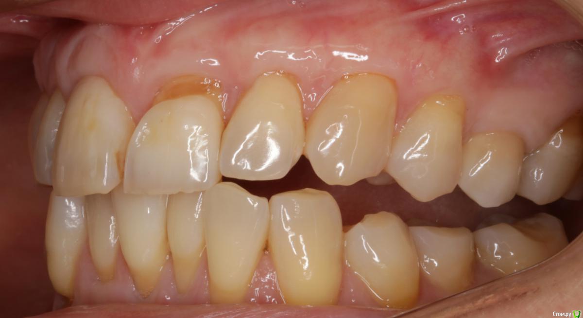
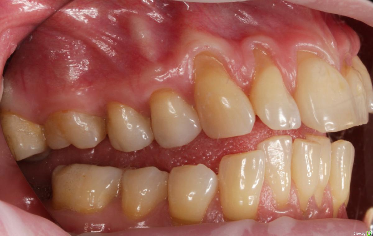
Dmitry DK Опубликовано 31 августа, 2019 Поделиться Опубликовано 31 августа, 2019 Доброго дня! Первичное обращение пациентки было связано с отсутствием 25 зуба, эстетические нарушения слизистой, клиновидные деф-ты в области других зубов - не смущали.В итоге решили, раз проводим операцию ( импл + ССТ ), закроем попутно и рец на верхней челюсти.Реставрацию на 21 зуб все не ставит... Приятных тебе выходных! ) Пациентка проходила лечение 2,5 года назад, пришла на проф осмотр 7 Ссылка на комментарий
Dman Опубликовано 2 сентября, 2019 Поделиться Опубликовано 2 сентября, 2019 ничего себе попутно, в итоге на имплант 15 минут, а на рецессии 2 часа?)) Ссылка на комментарий
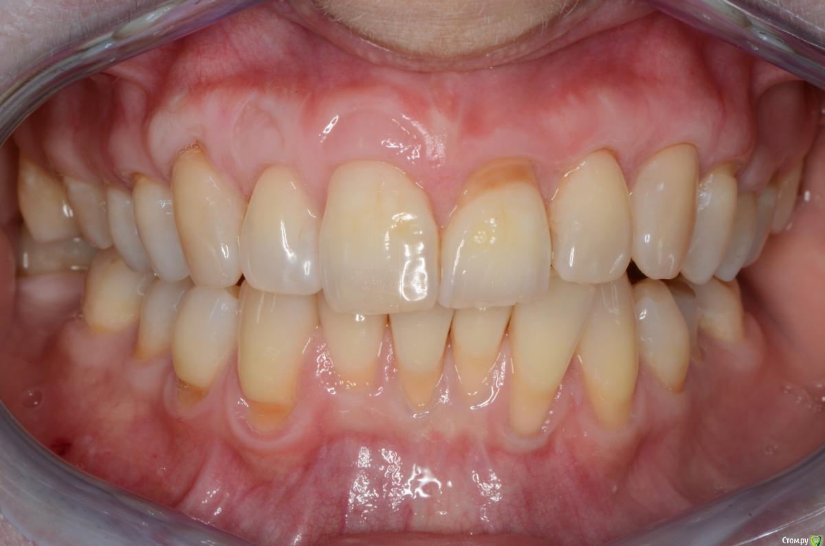
Dmitry DK Опубликовано 2 сентября, 2019 Автор Поделиться Опубликовано 2 сентября, 2019 ничего себе попутно, в итоге на имплант 15 минут, а на рецессии 2 часа?))У меня те же мысли были), но согласитесь, что если бы мы этого не сделали - разница в зенитах былабы слишком велика Ссылка на комментарий
Bier Опубликовано 3 сентября, 2019 Поделиться Опубликовано 3 сентября, 2019 в итоге наврали с зенитом на имплантате. Ссылка на комментарий
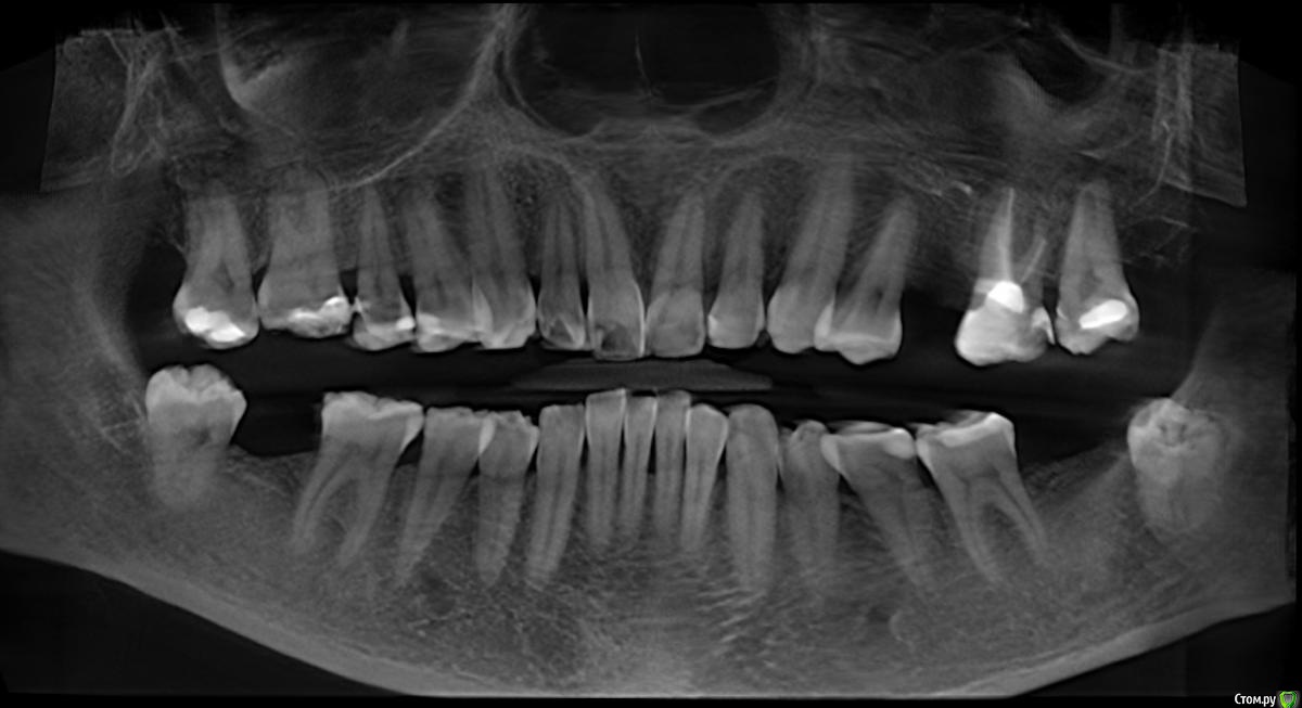
Amigo43 Опубликовано 3 сентября, 2019 Поделиться Опубликовано 3 сентября, 2019 Правильно ли я понимаю, что это штрауманн тл утопленный полированной шейкой в кость? Ссылка на комментарий
Dmitry DK Опубликовано 3 сентября, 2019 Автор Поделиться Опубликовано 3 сентября, 2019 в итоге наврали с зенитом на имплантечто вы имеете ввиду? Ссылка на комментарий
Dmitry DK Опубликовано 3 сентября, 2019 Автор Поделиться Опубликовано 3 сентября, 2019 Правильно ли я понимаю, что это штрауманн тл утопленный полированной шейкой в кость?да, это он Ссылка на комментарий
Bier Опубликовано 3 сентября, 2019 Поделиться Опубликовано 3 сентября, 2019 что вы имеете ввиду?короткий зуб, что же еще. Ссылка на комментарий
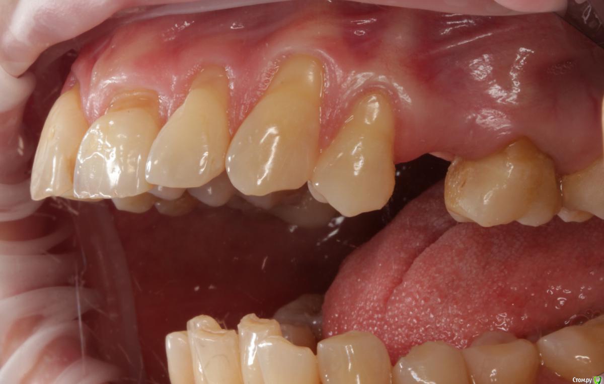
Dmitry DK Опубликовано 4 сентября, 2019 Автор Поделиться Опубликовано 4 сентября, 2019 короткий зуб, что же еще.У имплантата край дёсны действительно корональнее.Платплатформа в двух миллиметрах от цементо-эмалевой границы, была возможность иссечь излишек либо его ещё отдавить, также как хотелось заполировать в 1-м сегменте, поставит реставрацию на 21-м и т.д.Пациентка отказалась от дальнейших этапов... Ссылка на комментарий
Bier Опубликовано 4 сентября, 2019 Поделиться Опубликовано 4 сентября, 2019 так нужно было его просто глубже поставить Ссылка на комментарий
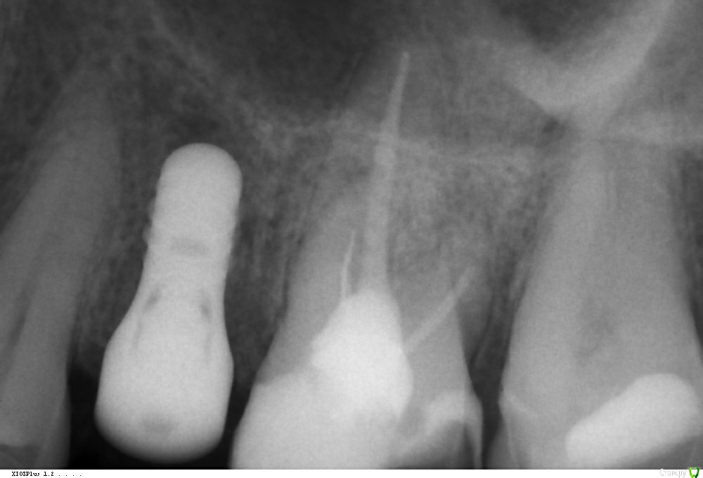
Dmitry DK Опубликовано 4 сентября, 2019 Автор Поделиться Опубликовано 4 сентября, 2019 так нужно было его просто глубже поставитьБыли такие мысли)Имплантат упёрся в нижнюю стенку синус. Весь винт с полированной частью 9,8 мм, шероховатая часть - 8 мм, от небной стеньки до синуса - 8 мм. Выбор был 1) закрытый синус, глубже платформа 2) выше платформа, без синусаВторой вариант выбран только по причине низких эстетических требований пациентки. 1 Ссылка на комментарий
Рекомендуемые сообщения
Для публикации сообщений создайте учётную запись или авторизуйтесь
Вы должны быть пользователем, чтобы оставить комментарий
Создать аккаунт
Зарегистрируйте новый аккаунт в нашем сообществе. Это очень просто!
Регистрация нового пользователяВойти
Уже есть аккаунт? Войти в систему.
Войти