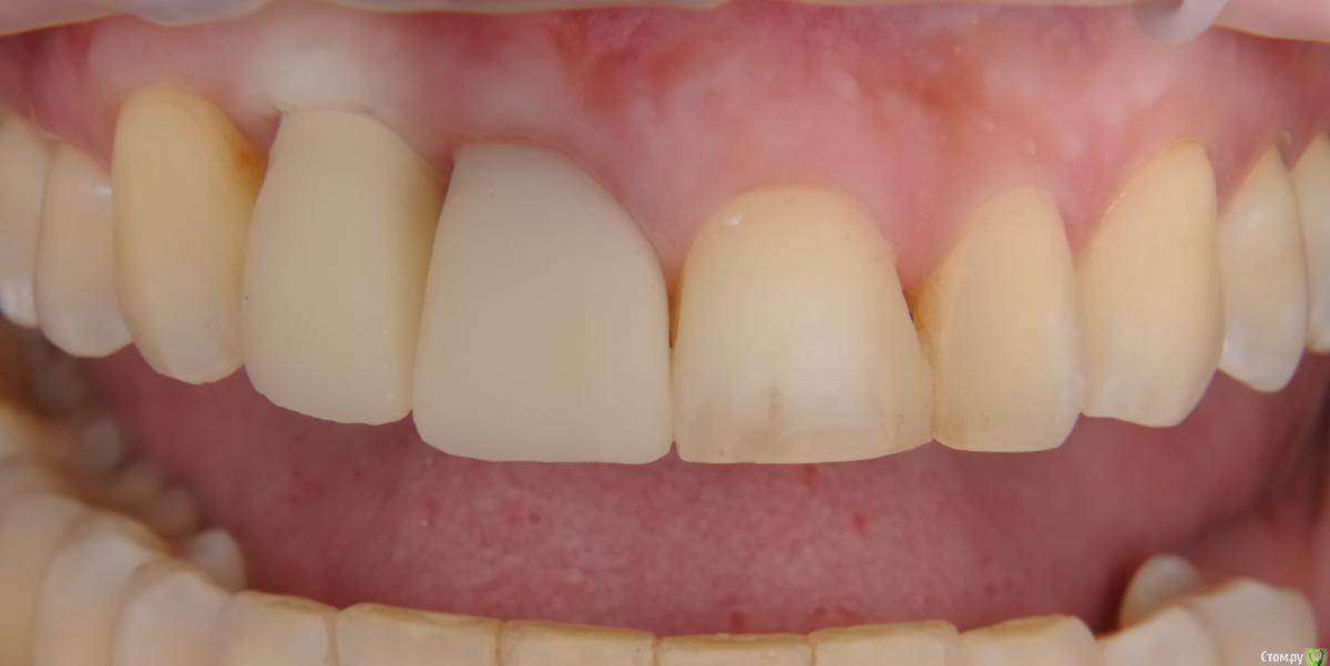
x4ex Опубликовано 30 августа, 2019 Поделиться Опубликовано 30 августа, 2019 Коллеги, как оцениваете прогноз пластики десны с целью коронального смещения зенитов 11 и 12 и создания сосочка между 11 и 12? 12 - имплантат. Ссылка на комментарий
Дмитрий М Опубликовано 1 сентября, 2019 Поделиться Опубликовано 1 сентября, 2019 11 МК коронка? Ссылка на комментарий
Irouil Опубликовано 1 сентября, 2019 Поделиться Опубликовано 1 сентября, 2019 Тут бы рентген смотреть Ссылка на комментарий
x4ex Опубликовано 1 сентября, 2019 Автор Поделиться Опубликовано 1 сентября, 2019 11 МК коронка?пресс на примерке Ссылка на комментарий
x4ex Опубликовано 1 сентября, 2019 Автор Поделиться Опубликовано 1 сентября, 2019 Тут бы рентген смотреть Ссылка на комментарий
Евгений Ходыкин Опубликовано 1 сентября, 2019 Поделиться Опубликовано 1 сентября, 2019 Сперва «тянуть» 1.1 с целью смещения зенита и возможной коррекции пики дистально. 1 Ссылка на комментарий
Dman Опубликовано 2 сентября, 2019 Поделиться Опубликовано 2 сентября, 2019 пресс на примеркечто-то вы не вовремя задались этим вопросом. Если смещать ткани, то дизайн абатмента должен быть другим. Более того для наращивания тканей возможно придется заглушить имплант))) 2 Ссылка на комментарий
x4ex Опубликовано 2 сентября, 2019 Автор Поделиться Опубликовано 2 сентября, 2019 (изменено) что-то вы не вовремя задались этим вопросом. Если смещать ткани, то дизайн абатмента должен быть другим. Более того для наращивания тканей возможно придется заглушить имплант))) да, согласен. вроде всё обсудили, сделали временные, всё было хорошо. а на этапе примерки начались вопросы) Изменено 2 сентября, 2019 пользователем x4ex Ссылка на комментарий
Dman Опубликовано 3 сентября, 2019 Поделиться Опубликовано 3 сентября, 2019 рассмотрите как вариант хир удлиннение 21, 22 + пластика 11, 12. В любом случае результат будет чуть лучше. 3 Ссылка на комментарий
Дмитрий М Опубликовано 3 сентября, 2019 Поделиться Опубликовано 3 сентября, 2019 12 - имплантат.так по снимку 12 - свой зуб! это резорбция у шейки или недозаглубили? Ссылка на комментарий
Дмитрий М Опубликовано 3 сентября, 2019 Поделиться Опубликовано 3 сентября, 2019 Если смещать ткани, то дизайн абатмента должен быть другим опишите пожалуйста, каким именно? Ссылка на комментарий
Irouil Опубликовано 3 сентября, 2019 Поделиться Опубликовано 3 сентября, 2019 Согласен и с тем, что придётся заглушить, и с тем, что проще будет равнять зениты везде. Ссылка на комментарий
x4ex Опубликовано 3 сентября, 2019 Автор Поделиться Опубликовано 3 сентября, 2019 Согласен и с тем, что придётся заглушить, и с тем, что проще будет равнять зениты везде.а для чего глушить? Ссылка на комментарий
Irouil Опубликовано 4 сентября, 2019 Поделиться Опубликовано 4 сентября, 2019 (изменено) Я думаю, что если на такой глубине протезировать винт и рассчитывать на эстетику, то апроксимально Вам нужны твёрдые ткани на его плечах. Я бы попробовал туда подсадить два фрагмента бугра (вероятно - с эмд) и укрыл бы все надкостнично-соединительнотканным лоскутом с неба. Через 4 месяца раскрывать винт и идти на жесткое переключение платформы с подсадкой стт с бугра. Изменено 4 сентября, 2019 пользователем Irouil Ссылка на комментарий
Dman Опубликовано 4 сентября, 2019 Поделиться Опубликовано 4 сентября, 2019 так по снимку 12 - свой зуб! 358.jpg это резорбция у шейки или недозаглубили? по всем снимкам 12- имплант, вы точно врач? опишите пожалуйста, каким именно? ну видно же, что на примерке ишемия, значит абатмент выталкивает мягкие ткани вестибулярно и коронально. Если делать пластику то трансплантат будет находиться и расти в том же направлении. Значит нужно сделать более вогнутый абатмент с переходом в коронку намного ниже, там, куда мы хотим сместить зенит. а для чего глушить? чтобы получить больше мягких тканей, потом сместить их вестибулярно, и получить необходимую высоту. Также будет возможность провести на раскрытии еще пластику и добавить ещею 1 Ссылка на комментарий
Дмитрий М Опубликовано 8 сентября, 2019 Поделиться Опубликовано 8 сентября, 2019 по всем снимкам 12- имплант, вы точно врач? посмотрел снимок, аж сам засомневался врач ли я туплю по страшному. пора в отпускдумаю об одном, пишу про другое Ссылка на комментарий
Дмитрий М Опубликовано 8 сентября, 2019 Поделиться Опубликовано 8 сентября, 2019 ну видно же, что на примерке ишемия, значит абатмент выталкивает мягкие ткани вестибулярно и коронально. Если делать пластику то трансплантат будет находиться и расти в том же направлении. Значит нужно сделать более вогнутый абатмент с переходом в коронку намного ниже, там, куда мы хотим сместить зенит.понял, спасибо. так и у 11 тоже нужно сделать более вогнутую коронку и зенит опустить!? Ссылка на комментарий
Рекомендуемые сообщения
Для публикации сообщений создайте учётную запись или авторизуйтесь
Вы должны быть пользователем, чтобы оставить комментарий
Создать аккаунт
Зарегистрируйте новый аккаунт в нашем сообществе. Это очень просто!
Регистрация нового пользователяВойти
Уже есть аккаунт? Войти в систему.
Войти