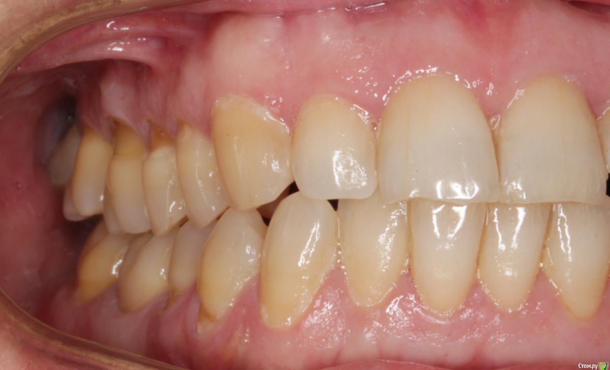
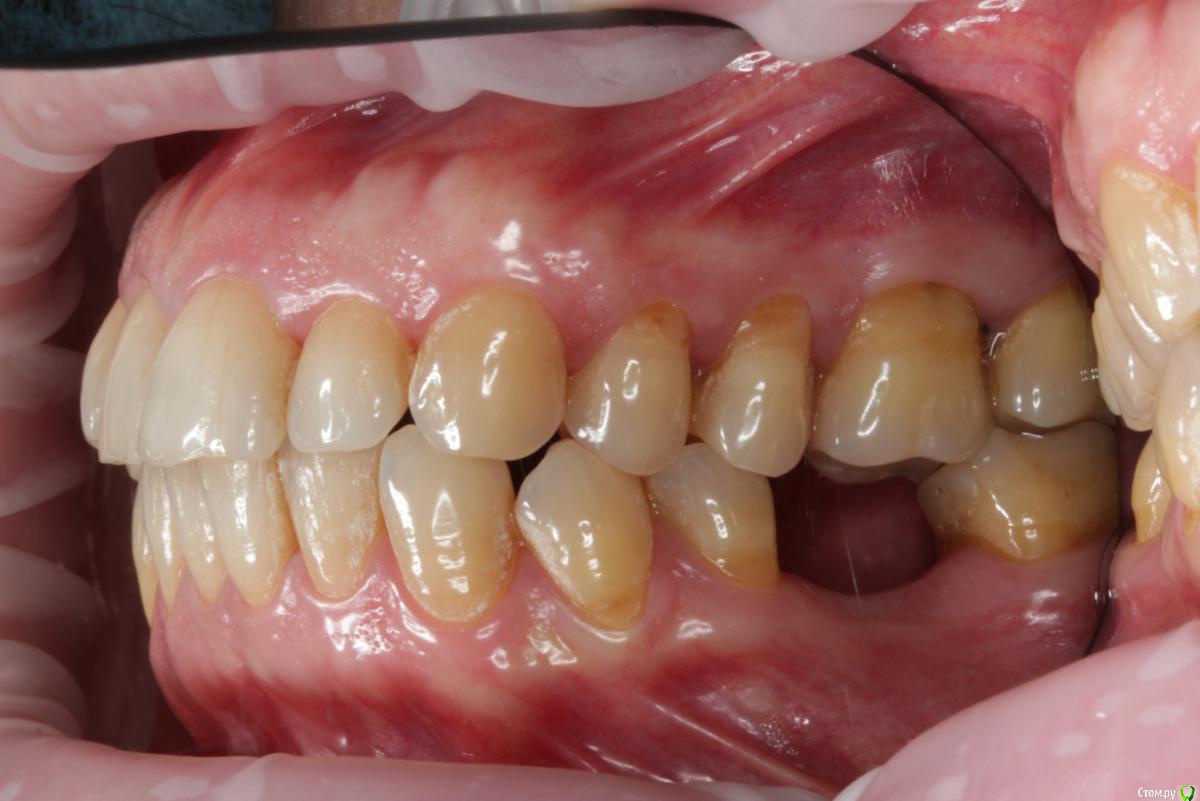
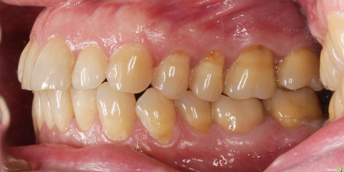
Dmitry DK Опубликовано 29 августа, 2019 Поделиться Опубликовано 29 августа, 2019 Добрый день всем! Случай достаточно заурядный, но возможно кому-то будет интересно. Результат - 2 года спустя 13 Ссылка на комментарий
annda Опубликовано 16 сентября, 2019 Поделиться Опубликовано 16 сентября, 2019 На титановом основании сделано?Снимка нет с ортопедической работой? Ссылка на комментарий
Дмитрий М Опубликовано 17 сентября, 2019 Поделиться Опубликовано 17 сентября, 2019 какая фиксация? Ссылка на комментарий
Dmitry DK Опубликовано 18 сентября, 2019 Автор Поделиться Опубликовано 18 сентября, 2019 Да.Снимок скину На титановом основании сделано?Снимка нет с ортопедической работой? Ссылка на комментарий
Dmitry DK Опубликовано 18 сентября, 2019 Автор Поделиться Опубликовано 18 сентября, 2019 какая фиксация?Винтовая 1 Ссылка на комментарий
Дмитрий М Опубликовано 22 сентября, 2019 Поделиться Опубликовано 22 сентября, 2019 Винтоваяшахта из-за бликов не разглядел ))) Ссылка на комментарий
Рекомендуемые сообщения
Для публикации сообщений создайте учётную запись или авторизуйтесь
Вы должны быть пользователем, чтобы оставить комментарий
Создать аккаунт
Зарегистрируйте новый аккаунт в нашем сообществе. Это очень просто!
Регистрация нового пользователяВойти
Уже есть аккаунт? Войти в систему.
Войти