Перейти к содержанию
Стоматология для всех

потеря сосочков, ортодонтия, хирургия


Рекомендуемые сообщения

Друзья,  долго думал, в какой раздел вопрос написать. пусть будет здесь :)

если очень вкратце у меня полный ад - текущим состоянием которого является

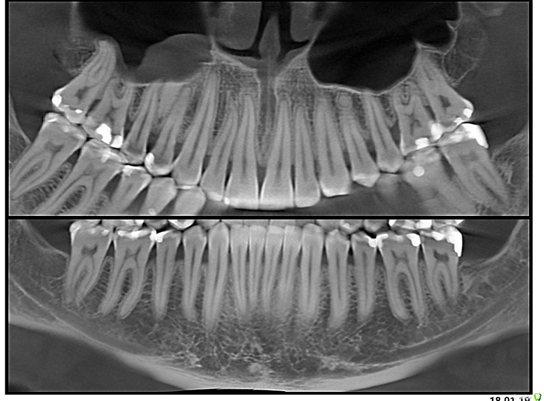
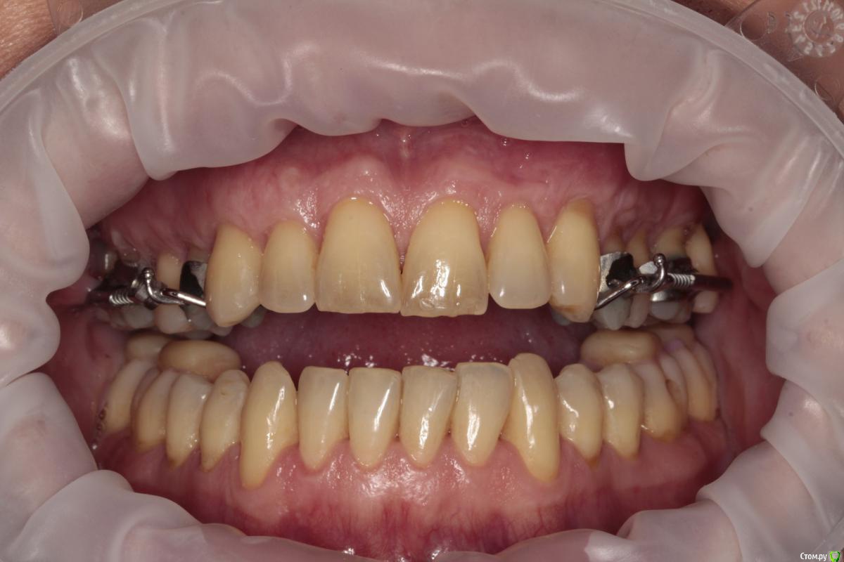
1. рецессии, клиновидный дефект, ВНЧС в результате неправильного прикуса (макрогнатия нижней и микрогнатия верхней челюсти)
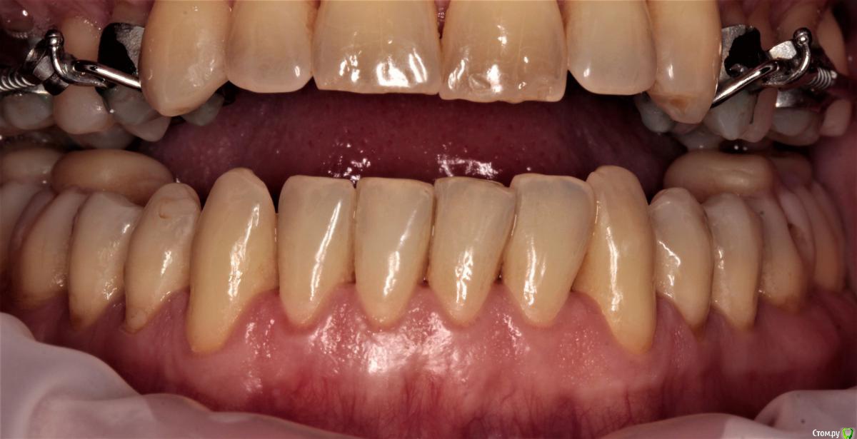
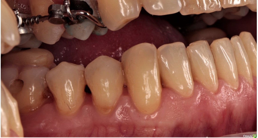
2. год назад у меня был гингивит, переросший в некроз, приведший к полной потере сосочков нижней челюсти
3. сейчас уже пол года мы увеличиваем в длину верхнюю челюсть, что бы наконец устранить причину всего. Потом будем брекетами выпрямлять все оставшееся.

 

относительно того, что же потом? ортодонт, он же и главный лечащий врач, говорит - типа исправим положение челюстей, выпрямим зубы потом будем думать насчет десен и сосочков - хиругрия и/или ортопедия.

 

с положением челюстей вопросов нет, все понятно.

так же мы понимаем, что сосочки это не только эстетика, но и важный функционал всей системы. И без них жить нельзя. При этом, технологии их восстановления, после некроза, не существует.

Я вижу вариант, полного протезирования всех зубов нижней челюсти, максимально закрыв отсутствующие сосочки. Если я понимаю правильно, то зачем тогда нам выпрямлять зубы нижней челюсти, травмируя кость и провоцируя дальнейшие рецессии? Не правильнее ли с помощью протезирования сразу придать им нужную форму и положение? Тем более раскрыв скученный перед у нас там дыры такие же как в боковых отделах будут...

 

кейса как у меня с потерей всех сосочков я в интернете не нашел, пардонтологи которые меня смотрели, тоже делали удивленные глаза и ничего внятного не говорили..

Друзья, скажите вообще свое мнение, хотя бы в каком направлении мне идти? спасибо огромное

ссылка на КТ недельной давности
https://www.dropbox.com/sh/x75s1nxcm3ez5uj/AAD-7PRrFsY2xmGAuhlWjwp2a?dl=0

это я очень кратко все написал, если нужно доп какой-то, я сразу отвечу. Спасибо
 

post-58502-0-96076100-1566767270_thumb.jpg

post-58502-0-78399500-1566767289_thumb.jpg

post-58502-0-56855100-1566767995_thumb.jpg

post-58502-0-58444400-1566768693_thumb.jpg

post-58502-0-43695800-1566768802_thumb.jpg

Изменено пользователем stas__
Ссылка на комментарий

сосочки утеряны вследствие пародонтита. Восстановить их почти нереально. Только ортопедически, изменив форму зубов.

Ссылка на комментарий

Для публикации сообщений создайте учётную запись или авторизуйтесь

Вы должны быть пользователем, чтобы оставить комментарий

Создать аккаунт

Зарегистрируйте новый аккаунт в нашем сообществе. Это очень просто!

Регистрация нового пользователя

Войти

Уже есть аккаунт? Войти в систему.

Войти
×
×
  • Создать...
Вверх