Перейти к содержанию
Стоматология для всех

Перепломбировка каналов зуба с резорцин-формалиновой пастой под коронкой


Ginger29

Рекомендуемые сообщения

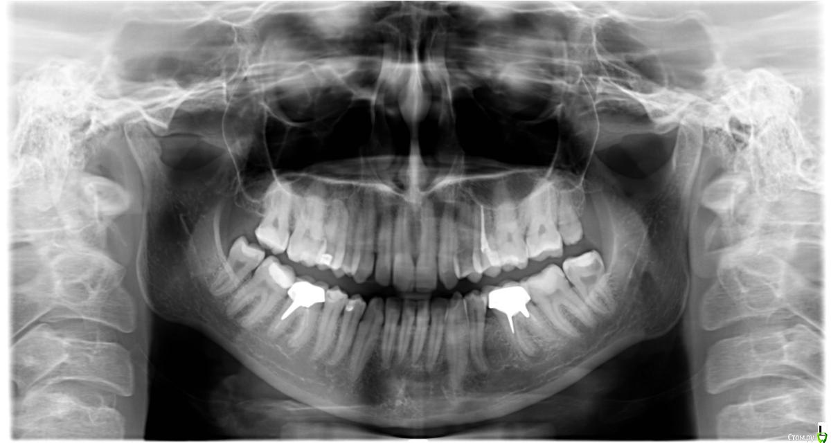
Добрый день! На снимке на корнях двух нижних шестёрок есть гранулемы. Эти зубы были пролечены резорцин-формалиновым способом когда мне было 14 (сейчас 29). Зубы были с огромной пломбой, впоследствии одна из стенок отвалилась. Позже при перелечивании этих зубов пылились распломбировать каналы, заливали какую-то жидкость на час, но безуспешно. Оставили так, 5 лет назад так как от зубов мало что осталось и выглядели они неэстетично, решила поставить коронки. Протезист предупредил, что каналы до конца не пролечены, пролечить их очень сложно и есть риск потери зуба, в итоге оставили как есть, по максимуму санировали, поставили вкладки и коронки. Зубы не болят и практически не беспокоят, хотя в последнее время та шестерка, которая не со светлой гранулемой пульсирует, немного тянет десна под ним и соседними зубами.

 

Так вот, в одной клинике сказали, что за такие зубы даже не возьмутся перелечивать, нужно удалять. В другой сказали что нужно попробовать и свой зуб, даже резорциновый лучше самого крутого импланта. Что делать? Дайте пожалуйста совет!

 

P.S. А вообще болит сустав справа, есть крепатура и щелчки, нужно ставить брекеты и исправлять прикус. Но сначала нужно решить, что делать с этими зубами.

post-58498-0-52037900-1566737196_thumb.jpeg

Ссылка на комментарий

Добрый день. Та 6 которая слева выглядит хуже, если будет беспокоить я бы ее удаляла, потому что от стенок корня сейчас осталось мало, штифты  большие, если их доставать то скорее всего от зуба совсем ничего не останется и очень большой риск трещины в зубе сейчас и в будущем.

По правой 6  принимать решение по ситуации. Если не беспокоит - наблюдать и ничего не делать, если будет болеть то по ситуации, можно пробовать достать вкладку и перелечивать(но вероятность успеха 50/50) можно удалять и имплант. Зависит от вашего настроя и желания.

Еще по снимку на 8 слева похоже кариес достаточно обьемный, очень близко к нерву

Ссылка на комментарий

Для публикации сообщений создайте учётную запись или авторизуйтесь

Вы должны быть пользователем, чтобы оставить комментарий

Создать аккаунт

Зарегистрируйте новый аккаунт в нашем сообществе. Это очень просто!

Регистрация нового пользователя

Войти

Уже есть аккаунт? Войти в систему.

Войти
×
×
  • Создать...
Вверх