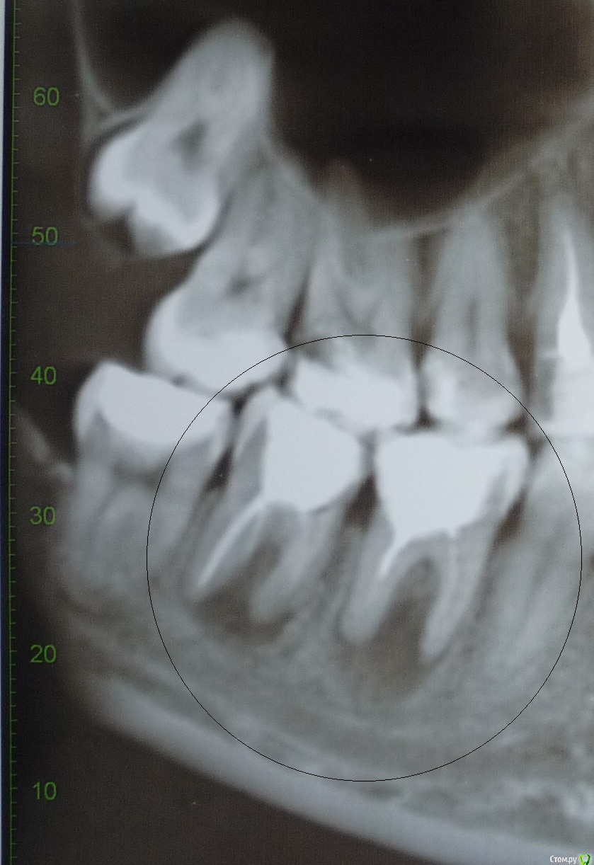
12345k Опубликовано 23 августа, 2019 Поделиться Опубликовано 23 августа, 2019 Здравствуйте!Подскажите, пожалуйста, как лучше поступить с зубами 25, 46, 47? Воспаление обнаружилось год назад на рентгеновском снимке. У зубов имеются свищи. Спасибо. Ссылка на комментарий
St. Опубликовано 2 сентября, 2019 Поделиться Опубликовано 2 сентября, 2019 Добрый день.Если еще актуально. Корневые каналы можно перелечить. Шансы на успех достаточно высокие .Могут возникнуть вопросы с 47 по этому снимку не понятно, но там может быть перфорация или трещина. Ссылка на комментарий
12345k Опубликовано 5 сентября, 2019 Автор Поделиться Опубликовано 5 сентября, 2019 Добрый день.Если еще актуально. Корневые каналы можно перелечить. Шансы на успех достаточно высокие .Могут возникнуть вопросы с 47 по этому снимку не понятно, но там может быть перфорация или трещина. Спасибо за ответ! Ссылка на комментарий
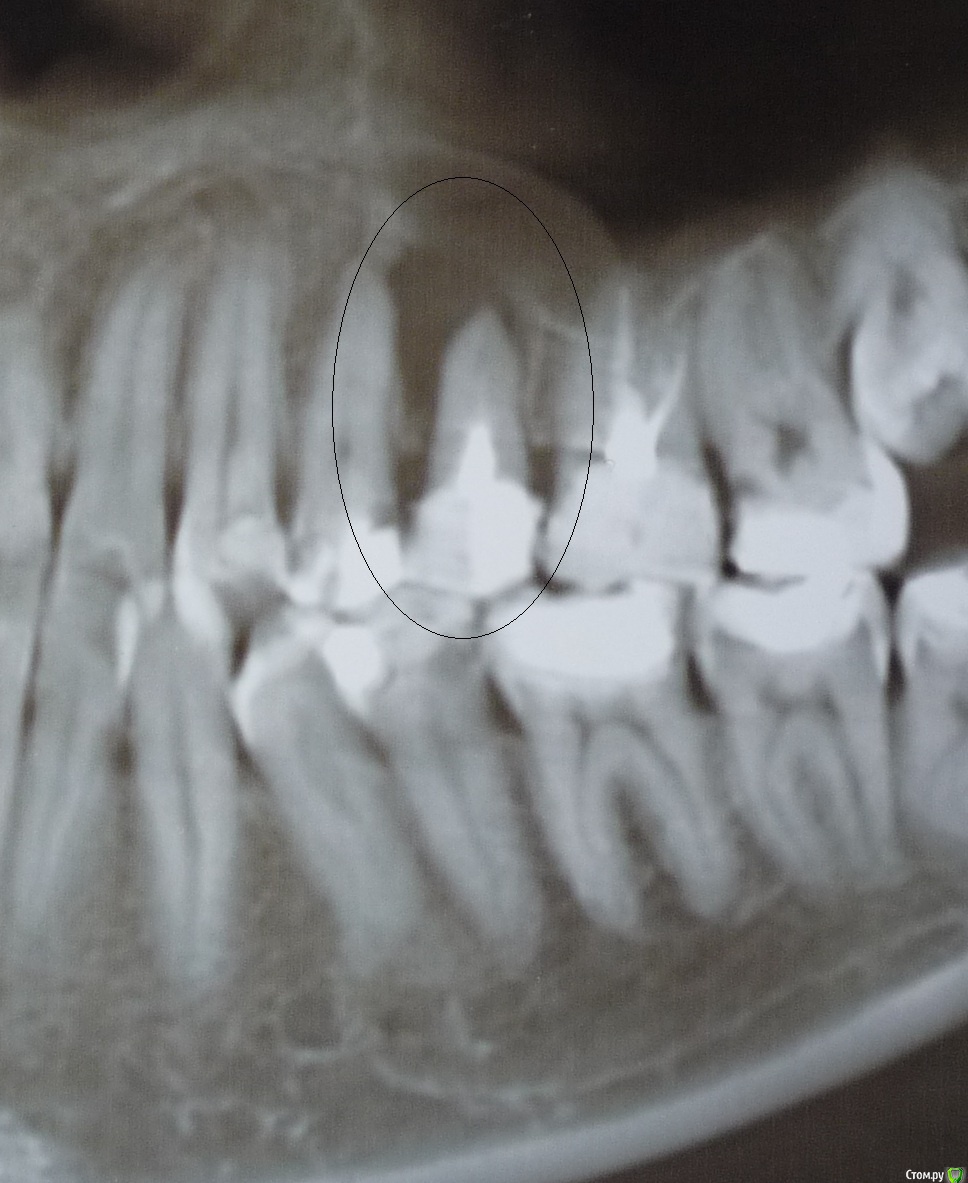
12345k Опубликовано 31 января, 2020 Автор Поделиться Опубликовано 31 января, 2020 В продолжение моей темы. Мне перелечили зуб 25: распломбировали, промыли каналы, закладывали кальсепт с йодоформом на 2 недели, затем запломбировали каналы на постоянной основе. В процессе несколько раз делали снимки (они не на руках). Снимок до лечения выложен ранее.Хотела бы задать вопрос уважаемым докторам форума. Может, кто-нибудь ответит? К своему доктору пока нет возможности попасть.До перелечивания на десне рядом с зубом 25 был свищ, из которого самостоятельно отделялось содержимое. После промывания каналов и кальция прекратились выделения из свища, но на десне был виден небольшой круглый шрам. Спустя месяц после пломбировки каналов снова начались периодические скудные выделения из свища белого цвета.Означает ли это, что инфекция не устранена или находилась не в каналах зуба? Насколько неблагоприятен прогноз? Насчет резекции доктор сразу сказал, что этот способ на подойдет.Спасибо всем, кто откликнется. Ссылка на комментарий
red_butler Опубликовано 31 января, 2020 Поделиться Опубликовано 31 января, 2020 Означает ли это, что инфекция не устранена или находилась не в каналах зуба? да Насколько неблагоприятен прогноз? покажите снимки Ссылка на комментарий
Рекомендуемые сообщения
Для публикации сообщений создайте учётную запись или авторизуйтесь
Вы должны быть пользователем, чтобы оставить комментарий
Создать аккаунт
Зарегистрируйте новый аккаунт в нашем сообществе. Это очень просто!
Регистрация нового пользователяВойти
Уже есть аккаунт? Войти в систему.
Войти