Перейти к содержанию
Стоматология для всех

4 импланта ч.2


Dman

Рекомендуемые сообщения

Первая часть в хирургии.

post-36568-0-38907900-1566455071_thumb.jpg

Пациент отходил 2 месяца, на осмотре при откручивании протеза периотест показывает на импланте 34 +50. Пятки вспотели. Отпиливаю от временного протеза часть, прикручиваю формирователь. Проверяю ии! -3. Блин, зря протез отпилил((

 

Ну, пора протезировать значит. Техник быстро готовит трансфер чек post-36568-0-78794200-1566455148_thumb.jpg

Оттиск, модель post-36568-0-80562100-1566455358_thumb.jpg , фиксация ЦО на жестком базисе прикручиваемом к мультам - не сфоткал( Отправка в лаботраторию другого города. Через 2 недели приходит протез ии! балка пляшет на модели в разные стороны) (есть видос, лень грузить). Отправка обратно, доделка, на этот раз все норм. 

Прикручиваем балку post-36568-0-83457700-1566455323_thumb.jpg 

Ответная часть в протезе post-36568-0-74785100-1566455400_thumb.jpg

Сам протез post-36568-0-12150800-1566455435_thumb.jpg

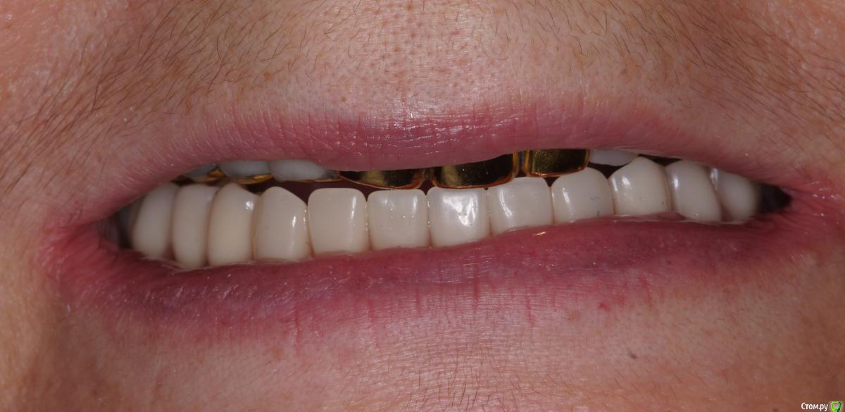
Во рту post-36568-0-13353100-1566455461_thumb.jpg post-36568-0-30978400-1566455479_thumb.jpg

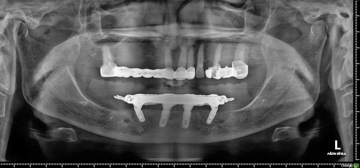
Панорама post-36568-0-16435400-1566455538_thumb.jpg как будто дистально балка прилегает хуже, но все держится без втулок. Пока что делать ничего не буду, понаблюдаем. 

 

Буду рад советам. 

  • Поддерживаю 3
Ссылка на комментарий

Изначально хотели условно-съемный? Но из-за коротких дистальных поменяли на балку, правильно понял? Первую часть читал.

Ссылка на комментарий

Изначально хотели условно-съемный? Но из-за коротких дистальных поменяли на балку, правильно понял? Первую часть читал.

Да, изначально хотел по классическому олинфо, сделать прикручиваемый акрил. Встречал информацию что для такого варианта дистальные импланты должны быть минимум 4*11,5, поэтому переиграли этот момент. 

Ссылка на комментарий

Для публикации сообщений создайте учётную запись или авторизуйтесь

Вы должны быть пользователем, чтобы оставить комментарий

Создать аккаунт

Зарегистрируйте новый аккаунт в нашем сообществе. Это очень просто!

Регистрация нового пользователя

Войти

Уже есть аккаунт? Войти в систему.

Войти
×
×
  • Создать...
Вверх