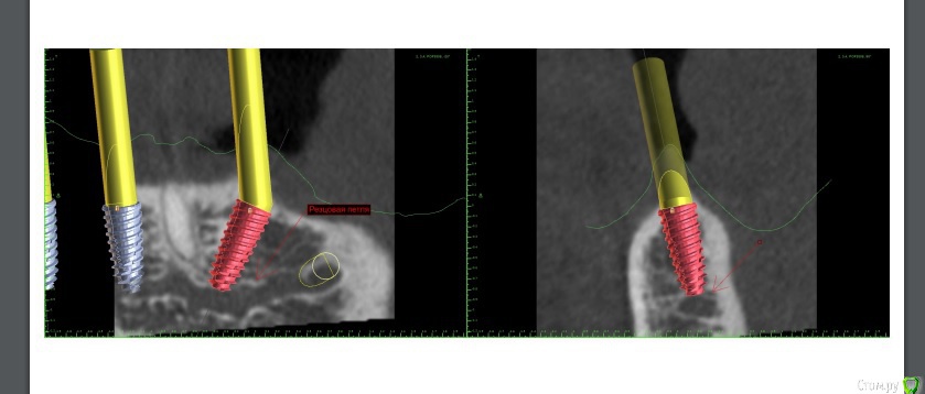
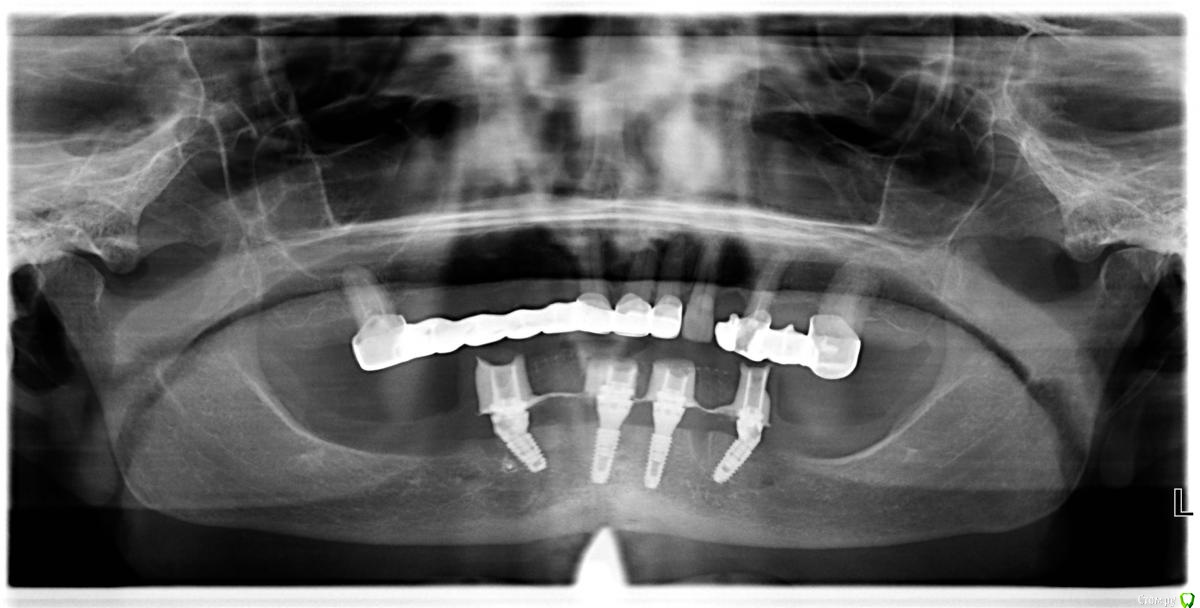
Dman Опубликовано 22 августа, 2019 Поделиться Опубликовано 22 августа, 2019 (изменено) Всем привет. Закончил кейс, который продвигался очень сложно всю дорогу, делюсь)Пациент 70 лет. Состояние здоровья соответствующее. Во рту так Слепки, кт, планирование, изготовление шаблона, изначально хотел идти на оллинфо, проектировщик шаблона долго не хотел делать под дистальные имланты длину 4*13(очень широкая резцовая петля). Уговорил, шаблон готов, поехали.Сверлится очень плохо, несмотря на просьбу добавить пару фиксирующих пинов их нет, да и места куда их там уместить не особо. В итоге из 4 пилотных 3 мимо. раскрываюсь, редукция, поднялось давление 160, при редукции бьют фонтанчики из сосудов в области центральных резцов, периодически коагулирую их лазером. Засверливаюсь дистально ии! льет кровища как из шланга. Меняю план, ставлю дистально 4*8,5. Ушиваюсь. Панорама Сразу слепок, протез уже готов под нагрузку, техник готовит протез.Вид на следующий день Перебазировываю во рту, прикручиваю. Панорама На этом все, вторая часть в ортопедическом разделе. Буду рад услышать советы. Изменено 22 августа, 2019 пользователем Dman 7 Ссылка на комментарий
hogsmeed Опубликовано 22 августа, 2019 Поделиться Опубликовано 22 августа, 2019 То есть вы протез не в тот же день фиксировали? Ссылка на комментарий
Dman Опубликовано 22 августа, 2019 Автор Поделиться Опубликовано 22 августа, 2019 То есть вы протез не в тот же день фиксировали? честно говоря не помню, но скорее всего нет, в этот день вымотаны были и я и пациент, в основном морально вообще гружу и на 3 и на 5, бывает и на 7 день, если стабильность хорошая это не принципиально Ссылка на комментарий
Дмитрий М Опубликовано 23 августа, 2019 Поделиться Опубликовано 23 августа, 2019 спасибо за кейсесли бы удалось поставить 4*13, то 6-ки в протез добавили бы? или так и планировали до 5-го? Ссылка на комментарий
Evikrol Опубликовано 24 августа, 2019 Поделиться Опубликовано 24 августа, 2019 спасибо за кейсесли бы удалось поставить 4*13, то 6-ки в протез добавили бы? или так и планировали до 5-го? На временном консоли не рекомендуют 2 Ссылка на комментарий
Nazim_NV86 Опубликовано 24 августа, 2019 Поделиться Опубликовано 24 августа, 2019 А я перестал доверять 4ркам после нескольких переломов. Ссылка на комментарий
Smileee Опубликовано 25 августа, 2019 Поделиться Опубликовано 25 августа, 2019 А я перестал доверять 4ркам после нескольких переломов. Перелом протеза или имплантов (шейка, винт)? Ссылка на комментарий
Павел7809 Опубликовано 25 августа, 2019 Поделиться Опубликовано 25 августа, 2019 Так а в чем неудача? в том что короче импланты поставили? Или в том что по шаблону засверлиться не смогли? Ссылка на комментарий
Dman Опубликовано 26 августа, 2019 Автор Поделиться Опубликовано 26 августа, 2019 спасибо за кейсесли бы удалось поставить 4*13, то 6-ки в протез добавили бы? или так и планировали до 5-го? на временном осталось бы также, просто постоянный был бы прикручиваемый акрил с консолями, а не съемный на балке Ссылка на комментарий
Dman Опубликовано 26 августа, 2019 Автор Поделиться Опубликовано 26 августа, 2019 А я перестал доверять 4ркам после нескольких переломов. переломы были именно у ваших пациентов, или просто видели на фейсбуке? Ссылка на комментарий
Dman Опубликовано 26 августа, 2019 Автор Поделиться Опубликовано 26 августа, 2019 Так а в чем неудача? в том что короче импланты поставили? Или в том что по шаблону засверлиться не смогли? основная неудовлетворенность тем, что дистальные поставил короче, что повлияло на протезирование. Ссылка на комментарий
Evikrol Опубликовано 26 августа, 2019 Поделиться Опубликовано 26 августа, 2019 А я перестал доверять 4ркам после нескольких переломов. на какой системе? Ссылка на комментарий
Nazim_NV86 Опубликовано 27 августа, 2019 Поделиться Опубликовано 27 августа, 2019 Отвечу сразу и всем. Осстем. Пациенты мои. Ломаются шейки. За 12 лет видел лишь пару переломов 3.5 по причине развинчивания винта и пациент продолжал жевать. А 4.0 ломались чаще, даже не с развинченными. Есть один случай, где 2 рядом стоящих 4.0 сломаны в средней трети, но имплантам лет 8 и они стоят хорошо. Не встретил ни одного перелома 4.5 и выше. И не забывайте что в каталоге производитель рекомендует для реставрации одиночного моляра использовать не менее 4.5. Может это особенность такой обточки у них или дело в сплаве грейд 4. Я больше склоняюсь к тому, что похожие случаи скорее всего возникают по ортопедическим причинам. 1 Ссылка на комментарий
Dman Опубликовано 28 августа, 2019 Автор Поделиться Опубликовано 28 августа, 2019 Отвечу сразу и всем. Осстем. Пациенты мои. Ломаются шейки. За 12 лет видел лишь пару переломов 3.5 по причине развинчивания винта и пациент продолжал жевать. А 4.0 ломались чаще, даже не с развинченными. Есть один случай, где 2 рядом стоящих 4.0 сломаны в средней трети, но имплантам лет 8 и они стоят хорошо. Не встретил ни одного перелома 4.5 и выше. И не забывайте что в каталоге производитель рекомендует для реставрации одиночного моляра использовать не менее 4.5. Может это особенность такой обточки у них или дело в сплаве грейд 4. Я больше склоняюсь к тому, что похожие случаи скорее всего возникают по ортопедическим причинам. ортопедия оригинальная на них была? Ссылка на комментарий
Nazim_NV86 Опубликовано 28 августа, 2019 Поделиться Опубликовано 28 августа, 2019 ортопедия оригинальная на них была?Разная. Ломались даже на родных абатментах. Типа Rigid если не ошибаюсь. Но на родных всего 2-3. Остальное это видимо какие-то левые основания 1мм высотой. Они для меня уже как красная тряпка для быка. Устал ворчать о том, что техники не умеют подбирать высоту оснований и пихают низкие везде со всеми вытекающими последствиями. Ортопеды тоже сдают... Мало того, бывало сдавали на титановых винтах. Тех что в каталоге как временные до 180 дней. В итоге участились развинчивания. Переделали работы. Добился чтоб вернулись к Ebony. Ссылка на комментарий
Irouil Опубликовано 29 августа, 2019 Поделиться Опубликовано 29 августа, 2019 дело в сплаве грейд 4. Емнип осстем не грейд 4 Ссылка на комментарий
Dman Опубликовано 29 августа, 2019 Автор Поделиться Опубликовано 29 августа, 2019 Разная. Ломались даже на родных абатментах. Типа Rigid если не ошибаюсь. Но на родных всего 2-3. Остальное это видимо какие-то левые основания 1мм высотой. Они для меня уже как красная тряпка для быка. Устал ворчать о том, что техники не умеют подбирать высоту оснований и пихают низкие везде со всеми вытекающими последствиями. Ортопеды тоже сдают... Мало того, бывало сдавали на титановых винтах. Тех что в каталоге как временные до 180 дней. В итоге участились развинчивания. Переделали работы. Добился чтоб вернулись к Ebony. видимо реплики совсем уж плохие, работаю много с премилами неоригинальными, но сертифицированными, там винт титановый, тьфу-тьфу ни одной раскрутки. Вот так. Ссылка на комментарий
pit Опубликовано 30 августа, 2019 Поделиться Опубликовано 30 августа, 2019 Всем привет. Закончил кейс, который продвигался очень сложно всю дорогу, делюсь)Пациент 70 лет. Состояние здоровья соответствующее. Во рту так Сверлится очень плохо, несмотря на просьбу добавить пару фиксирующих пинов их нет, да и места куда их там уместить не особо. В итоге из 4 пилотных 3 мимо. раскрываюсь, редукция, поднялось давление 160, при редукции бьют фонтанчики из сосудов в области центральных резцов, периодически коагулирую их лазером. Засверливаюсь дистально ии! льет кровища как из шланга. Меняю план, ставлю дистально 4*8,5. На этом все, вторая часть в ортопедическом разделе. Буду рад услышать советы. 1. Я не совсем понимаю почему нельзя было установить 4х11,5 или 4х13, если установлены 4х8,5??? Кровоточивость не мешает сверлению, вопрос всего в 3-4 мм.2. Дистальные импланты надо было установить на 5 мм дистальнее, судя по ОПТГ. Для этого нужно было откинуть лоскуты и выделить оба ментальных нерва.3. В клинике всегда нужно иметь нифедипин, 20 мг под язык - экстренная помощь при резком повышении АД. Хотя 160 не такая высокая цифра, чтобы говорить о ужасном кровотечении при типовой операции4. Фонтанчики крови часто бывают при редукции и при нормальном давлении. С ними лучше всего бороться алмазным шариком на больших оборотах без воды или локальным сдавлением кости щипцами.5. В конце концов можно было остановить операцию, назначить а/б, гипотензивные препараты, режим и через 2-3 дня все доустановить.6. Отвечу здесь по ортопедии. Даже в Вашем решении можно было выполнить несъемную конструкцию. из 12-и зубов с компромиссными молярами, длина имплантов имеет решающее значение только при немедленной нагрузке. Ссылка на комментарий
Dman Опубликовано 30 августа, 2019 Автор Поделиться Опубликовано 30 августа, 2019 1. Я не совсем понимаю почему нельзя было установить 4х11,5 или 4х13, если установлены 4х8,5??? Кровоточивость не мешает сверлению, вопрос всего в 3-4 мм.2. Дистальные импланты надо было установить на 5 мм дистальнее, судя по ОПТГ. Для этого нужно было откинуть лоскуты и выделить оба ментальных нерва.3. В клинике всегда нужно иметь нифедипин, 20 мг под язык - экстренная помощь при резком повышении АД. Хотя 160 не такая высокая цифра, чтобы говорить о ужасном кровотечении при типовой операции4. Фонтанчики крови часто бывают при редукции и при нормальном давлении. С ними лучше всего бороться алмазным шариком на больших оборотах без воды или локальным сдавлением кости щипцами.5. В конце концов можно было остановить операцию, назначить а/б, гипотензивные препараты, режим и через 2-3 дня все доустановить.6. Отвечу здесь по ортопедии. Даже в Вашем решении можно было выполнить несъемную конструкцию. из 12-и зубов с компромиссными молярами, длина имплантов имеет решающее значение только при немедленной нагрузке. 1 лило реально как из шланга, + там резцовая петля очень широкая думаете можно было оставить верхушку импланта в ней, или пройти насквозь?2 найду кт гляну, но планировал не один, видимо были причины3 не слышал про такой, найдем и купим4 первая объемная редукция, ранее не слышал что это норма(5 не думал что получится что-то лучше, в связи с резцовой петлей6 за неимением опыта(копылов давал данные что дистальные меньше 11мм, неблагоприятный прогноз), решил перестраховаться, возможно неправ огромное спасибо за советы, будем расти Ссылка на комментарий
Smileee Опубликовано 30 августа, 2019 Поделиться Опубликовано 30 августа, 2019 Кто-нибудь пробовал для профилактики кровотечения во время и после операции назначать дицинон? Ссылка на комментарий
АнтонТЛТ Опубликовано 30 августа, 2019 Поделиться Опубликовано 30 августа, 2019 Кто-нибудь пробовал для профилактики кровотечения во время и после операции назначать дицинон?Зависит от того, что вызывает кровотечение. Если повышенное давление, то как Петр написал нифедипин.Дицинон (этамзилат) назначается при нарушении свертываемости крови.Назначать коагулянты, к которым относится дицинон при повышенном АД так себе затея. Ссылка на комментарий
L.E.S.I.K. Опубликовано 31 августа, 2019 Поделиться Опубликовано 31 августа, 2019 Кто-нибудь пробовал для профилактики кровотечения во время и после операции назначать дЕсли вмешательство под наркозом, то применяю транексамовую кислоту внутривенно, при отсутствии противопоказаний. Есть и таблетировання форма. Дицинон - препарат с недоказанной эффективностью. Ссылка на комментарий
Nazim_NV86 Опубликовано 6 сентября, 2019 Поделиться Опубликовано 6 сентября, 2019 Емнип осстем не грейд 4Написал электронку в Осстем. Ti CP - Grade 4. Ссылка на комментарий
Saiduev Опубликовано 3 октября, 2021 Поделиться Опубликовано 3 октября, 2021 (изменено) Осстем официально признал хрупкость имплантов 4.0. Вышли новые рекомендации, теперь их нельзя ставить в области моляров, минимально 4.5 теперь. Раньше такие рекомендации были только для одиночных имплантов. Изменено 3 октября, 2021 пользователем Saiduev Ссылка на комментарий
rimtar Опубликовано 3 октября, 2021 Поделиться Опубликовано 3 октября, 2021 ну что ж , будем 3.5 ставить, раз 4.0 категорически прям нельзя. кто имеет наблюдения по тройкам? ни разу не ставил осстемовские. а 2.5 и не знал даже, что есть у них. Ссылка на комментарий
Рекомендуемые сообщения
Для публикации сообщений создайте учётную запись или авторизуйтесь
Вы должны быть пользователем, чтобы оставить комментарий
Создать аккаунт
Зарегистрируйте новый аккаунт в нашем сообществе. Это очень просто!
Регистрация нового пользователяВойти
Уже есть аккаунт? Войти в систему.
Войти