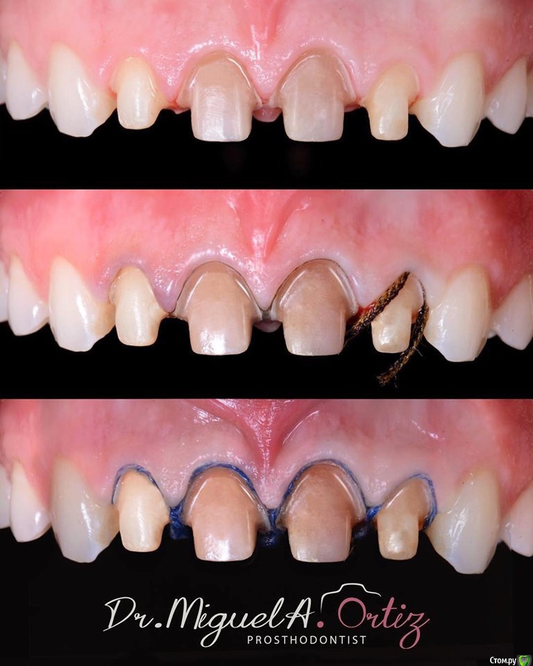
korotkevich Опубликовано 16 августа, 2019 Поделиться Опубликовано 16 августа, 2019 Доброго времени суток, коллеги! Недавно нашел у нашего западного коллеги (Dr Miguel Ortiz) множество публикаций с фото оттисков и практически под каждым постом он подписывал, что пользовался так называемой back to back техникой. Беглый поиск по данному форуму не принес никаких результатов. В чем, собственно говоря, заключается техника: прокладывается 2 нити, все как обычно, после чего вторая, более толстая нить удаляется - делается оттиск - быстротвердеющая коррекция и средняя по жесткости база. Далее начинается самое интересное: сразу после извлечения ложки, извлекаются (в случае, если не вышли сами) первые нити (более тонкие) и сразу же делается второй оттиск уже без нитей. Смысл в том, что второй оттиск получается еще лучше первого, поскольку десневая борозда уже открыта. По крайней мере, судя по фото, результат действительно впечатляет Сам доктор рекомендует использовать данную технику на больших (тотальных работах). Оно и понятно, на одиночную коронку уж очень круто получается 2 оттиска, да и смысла большого нету. Так вот коллеги вопрос, кто что знает/слышал про данную методику? Может кто пробовал уже? Делимся мыслями, опытом и тд. Ссылка на комментарий
zubovolok Опубликовано 17 августа, 2019 Поделиться Опубликовано 17 августа, 2019 А почему сразу не убрать обе нити и снять оттиск? Смысл первого вообще непонятен для меня. Ссылка на комментарий
Дмитрий Л. Опубликовано 17 августа, 2019 Поделиться Опубликовано 17 августа, 2019 В следующий раз, когда у меня не получится оттиск, я так с гордостью скажу ассистенту: работаем бэк ту бэк техникой! 5 Ссылка на комментарий
dentikl Опубликовано 17 августа, 2019 Поделиться Опубликовано 17 августа, 2019 делается оттиск - быстротвердеющая коррекция и средняя по жесткости база.поясните плз термины-быстротвердеющая коррекция.Средняя по жесткости база какой фирмы? Ссылка на комментарий
korotkevich Опубликовано 17 августа, 2019 Автор Поделиться Опубликовано 17 августа, 2019 А почему сразу не убрать обе нити и снять оттиск? Смысл первого вообще непонятен для меня.Для меня тоже далеко не все понятно в этой технике, для этого я и создал эту тему, чтобы постараться разобраться Ссылка на комментарий
korotkevich Опубликовано 17 августа, 2019 Автор Поделиться Опубликовано 17 августа, 2019 поясните плз термины-быстротвердеющая коррекция.Средняя по жесткости база какой фирмы?fast set light body on the preps, medium body on tray используется масса фирмы aquasil Ссылка на комментарий
korotkevich Опубликовано 17 августа, 2019 Автор Поделиться Опубликовано 17 августа, 2019 В следующий раз, когда у меня не получится оттиск, я так с гордостью скажу ассистенту: работаем бэк ту бэк техникой!потрясающий ход Ссылка на комментарий
dentikl Опубликовано 17 августа, 2019 Поделиться Опубликовано 17 августа, 2019 потрясающий ход судя по фото его слепков при 1-3 он снимает обычные одноэтапники,а при большем количестве отпрепарированных зубов-2х этапный с 2мя нитями .При одноэтапном перед слепком одну извлекает перед слепком,при двуэтапном -первую извлекает перед базой,вторую-перед коррекцией Ссылка на комментарий
korotkevich Опубликовано 17 августа, 2019 Автор Поделиться Опубликовано 17 августа, 2019 судя по фото его слепков при 1-3 он снимает обычные одноэтапники,а при большем количестве отпрепарированных зубов-2х этапный с 2мя нитями .При одноэтапном перед слепком одну извлекает перед слепком,при двуэтапном -первую извлекает перед базой,вторую-перед коррекциейDouble Cord Back to Back impression Technique. TWO DIFFERENT IMPRESSIONS. 2 cords. Pull the first one and take the first impression. Fast set light body on the preps. Medium body on the tray. Remove impression. Immediately take the second cord out and take a new second impression. For a total of two impressions in case one did not came out right without having to go back and pack cord again. Only used in large cases. в описании ничего не сказано про двухэтапник, по фото не могу однозначно сказать Ссылка на комментарий
zubovolok Опубликовано 17 августа, 2019 Поделиться Опубликовано 17 августа, 2019 Может первый снимает для того чтобы оттискная масса слизистую отдавила посильнее при полимеризации, наподобие ретракционных паст? Ссылка на комментарий
dentikl Опубликовано 17 августа, 2019 Поделиться Опубликовано 17 августа, 2019 (изменено) в описании ничего не сказано про двухэтапник, по фото не могу однозначно сказатьВы дали фамилию,я-загуглил.Посыпались фотки препа (очень грамотный,скопный) и фотки слепков,ртов и тд.Озвучил что увидел.гляньте сами. Изменено 17 августа, 2019 пользователем dentikl Ссылка на комментарий
korotkevich Опубликовано 17 августа, 2019 Автор Поделиться Опубликовано 17 августа, 2019 Может первый снимает для того чтобы оттискная масса слизистую отдавила посильнее при полимеризации, наподобие ретракционных паст?получается так Ссылка на комментарий
Doc Опубликовано 17 августа, 2019 Поделиться Опубликовано 17 августа, 2019 На самом деле проснимать борозду до середины зуба и так толсто нет никакой необходимости. Кроме того, при тотале даже одну нить запаковать в 14 зубов и уложиться в 20 минут почти нереально. Уложить две нити и снять два оттиска и того нереальнее. А полчаса и больше нахождение нити в борозде даже сухой не есть полезно, а пропитанной эпинефрином или чем-то еще, так и вовсе вредно. Так что я бы не стал стремиться к этой методике. Доктор просто самоутверждается так. Методик слепков разных экзотических море, но в учебниках о них не пишут, т.к. научных обоснований у этих методик нет. 2 Ссылка на комментарий
Евгений Ходыкин Опубликовано 28 августа, 2019 Поделиться Опубликовано 28 августа, 2019 На самом деле проснимать борозду до середины зуба и так толсто нет никакой необходимости. Кроме того, при тотале даже одну нить запаковать в 14 зубов и уложиться в 20 минут почти нереально. Уложить две нити и снять два оттиска и того нереальнее. А полчаса и больше нахождение нити в борозде даже сухой не есть полезно, а пропитанной эпинефрином или чем-то еще, так и вовсе вредно. Так что я бы не стал стремиться к этой методике. Доктор просто самоутверждается так. Методик слепков разных экзотических море, но в учебниках о них не пишут, т.к. научных обоснований у этих методик нет.Вывод: тотал лучше разбивать)) А то, что на таких работах в принципе нужно два оттиска отсылать в лабу - давно известный факт. Ибо чем точнее контрольная модель - тем лучше для всех. Ссылка на комментарий
Doc Опубликовано 28 августа, 2019 Поделиться Опубликовано 28 августа, 2019 Вывод: тотал лучше разбивать)) А то, что на таких работах в принципе нужно два оттиска отсылать в лабу - давно известный факт. Ибо чем точнее контрольная модель - тем лучше для всех.Правильный вывод! Есть еще методика, заморочная, но жутко точная. Тотал разбивается на два этапа, снимается боковая часть, потом центральная часть, потом высаживаются все колпачки (заодно проверка уступов) и снимается слепок со всеми колпаками (тут же еще раз с колпаками прикус делается) и на этой модели уже делается керамика. Пациенту приходится трижды выдерживать слепок, это плохо, зато если в лабе не могут сделать идеальную модель, то после такой заморочки даже у самой средней лабы коронки просто падают на свое место без подгонки вообще. Так что методик море, просто половина из них - извращения конкретного доктора. Ссылка на комментарий
korotkevich Опубликовано 29 августа, 2019 Автор Поделиться Опубликовано 29 августа, 2019 Правильный вывод! Есть еще методика, заморочная, но жутко точная. Тотал разбивается на два этапа, снимается боковая часть, потом центральная часть, потом высаживаются все колпачки (заодно проверка уступов) и снимается слепок со всеми колпаками (тут же еще раз с колпаками прикус делается) и на этой модели уже делается керамика. Пациенту приходится трижды выдерживать слепок, это плохо, зато если в лабе не могут сделать идеальную модель, то после такой заморочки даже у самой средней лабы коронки просто падают на свое место без подгонки вообще. Так что методик море, просто половина из них - извращения конкретного доктора. Скажите, пожалуйста, а зачем делать слепок с колпачками? Ссылка на комментарий
johniola Опубликовано 30 августа, 2019 Поделиться Опубликовано 30 августа, 2019 извращенцы 1 Ссылка на комментарий
Dman Опубликовано 30 августа, 2019 Поделиться Опубликовано 30 августа, 2019 Скажите, пожалуйста, а зачем делать слепок с колпачками?заливается как бы сразу контрольная модель, на которой нет погрешности высадки, и по контактам будет все как во рту. но заморочно конечно) 1 Ссылка на комментарий
Doc Опубликовано 30 августа, 2019 Поделиться Опубликовано 30 августа, 2019 заливается как бы сразу контрольная модель, на которой нет погрешности высадки, и по контактам будет все как во рту. но заморочно конечно)Совершенно верно! Модель не разрезанная, не убитая, с идеальной десной, все классно видно, плюс во рту все самые маленькие погрешности высадки колпачков уже зафиксированы и потом не нужно ничего подгонять. Ссылка на комментарий
dentikl Опубликовано 30 августа, 2019 Поделиться Опубликовано 30 августа, 2019 Есть еще методика, заморочная, но жутко точная.а до нее была еще более заморочная и тоже точная-брали медные кольца,адаптировали к опорным зубам и снимали ими микрослепки корректором,а потом все вместе снимали (вместе с кольцами и их слепками ) базой. Ссылка на комментарий
Doc Опубликовано 1 сентября, 2019 Поделиться Опубликовано 1 сентября, 2019 а до нее была еще более заморочная и тоже точная-брали медные кольца,адаптировали к опорным зубам и снимали ими микрослепки корректором,а потом все вместе снимали (вместе с кольцами и их слепками ) базой.Да, это очень давно было. Про методику с кольцами все рассказывали, но никогда не видел, чтобы ею реально кто-то пользовался. Очередная мертворожденная идея. Ссылка на комментарий
Евгений Ходыкин Опубликовано 2 сентября, 2019 Поделиться Опубликовано 2 сентября, 2019 Да, это очень давно было. Про методику с кольцами все рассказывали, но никогда не видел, чтобы ею реально кто-то пользовался. Очередная мертворожденная идея. Ну если верить словам Рами Балабановского, он её нет-нет, да использует) Ссылка на комментарий
Doc Опубликовано 2 сентября, 2019 Поделиться Опубликовано 2 сентября, 2019 Ну если верить словам Рами Балабановского, он её нет-нет, да использует)Я же говорю "все рассказывают". Как в том анекдоте про пенсионера "Ну так и Вы говорите!". )) Ссылка на комментарий
J_enya Опубликовано 16 сентября, 2019 Поделиться Опубликовано 16 сентября, 2019 Может первый снимает для того чтобы оттискная масса слизистую отдавила посильнее при полимеризации, наподобие ретракционных паст?Тоже сразу подумал об этом, отдавить первым оттиском как пастой. Но потом подумал базой не отдавилось бы без коррекции, если только цель отдавить.. Ссылка на комментарий
anvladd Опубликовано 16 сентября, 2019 Поделиться Опубликовано 16 сентября, 2019 Доброго времени суток, коллеги! Недавно нашел у нашего западного коллеги (Dr Miguel Ortiz) множество публикаций с фото оттисков и практически под каждым постом он подписывал, что пользовался так называемой back to back техникой. Беглый поиск по данному форуму не принес никаких результатов. В чем, собственно говоря, заключается техника: прокладывается 2 нити, все как обычно, после чего вторая, более толстая нить удаляется - делается оттиск - быстротвердеющая коррекция и средняя по жесткости база. Далее начинается самое интересное: сразу после извлечения ложки, извлекаются (в случае, если не вышли сами) первые нити (более тонкие) и сразу же делается второй оттиск уже без нитей. Смысл в том, что второй оттиск получается еще лучше первого, поскольку десневая борозда уже открыта. По крайней мере, судя по фото, результат действительно впечатляет Сам доктор рекомендует использовать данную технику на больших (тотальных работах). Оно и понятно, на одиночную коронку уж очень круто получается 2 оттиска, да и смысла большого нету. Так вот коллеги вопрос, кто что знает/слышал про данную методику? Может кто пробовал уже? Делимся мыслями, опытом и тд. Фрадеани снимает 2 оттиска всегда,второй часто без нитей,если вылезли после первого оттиска. Примерно тоже самое 1 Ссылка на комментарий
Рекомендуемые сообщения
Для публикации сообщений создайте учётную запись или авторизуйтесь
Вы должны быть пользователем, чтобы оставить комментарий
Создать аккаунт
Зарегистрируйте новый аккаунт в нашем сообществе. Это очень просто!
Регистрация нового пользователяВойти
Уже есть аккаунт? Войти в систему.
Войти