Перейти к содержанию
Стоматология для всех

Нужно ли ставить брекеты?


Оксана1318

Рекомендуемые сообщения

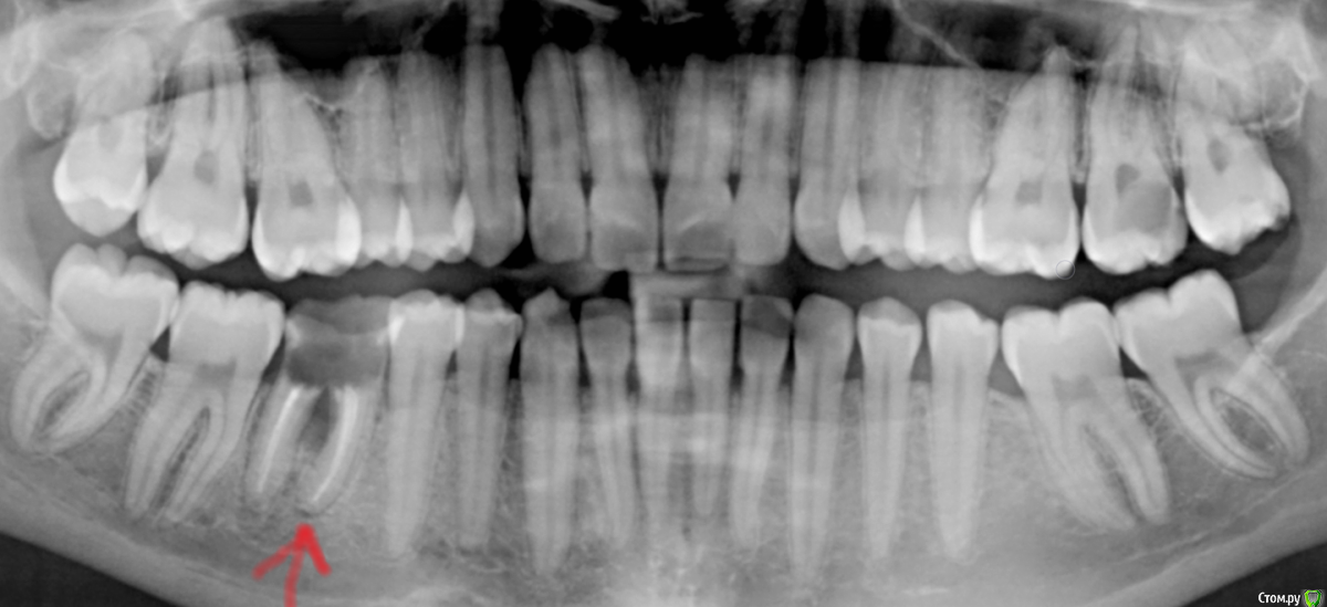
Добрый день! Подскажите, нужно ли ставить брекеты? И можно ли это сделать, если у меня стоит имплантат (на снимке где оранжевая стрелка). Можно ли удалить имплантат и поставить брекеты? Боюсь, что прикус неправильный и в будущем могут сточиться зубы или еще что-нибудь. И если да, то на имплантат можно ли поставить брекеты? В детстве нижняя шестерка, которая с противоположной стороны от имплантата, ее удалили и зуб мудрости туда сместился и между зубами есть расстояния конечно, но некритично. А там где имплантат было большое расстояние и его надо было закрыть, поэтому поставила имплантат. Как вообще быть? Мне 27 лет.

post-50117-0-95930200-1565974077_thumb.png

Изменено пользователем Оксана1318
Ссылка на комментарий

Для публикации сообщений создайте учётную запись или авторизуйтесь

Вы должны быть пользователем, чтобы оставить комментарий

Создать аккаунт

Зарегистрируйте новый аккаунт в нашем сообществе. Это очень просто!

Регистрация нового пользователя

Войти

Уже есть аккаунт? Войти в систему.

Войти
×
×
  • Создать...
Вверх