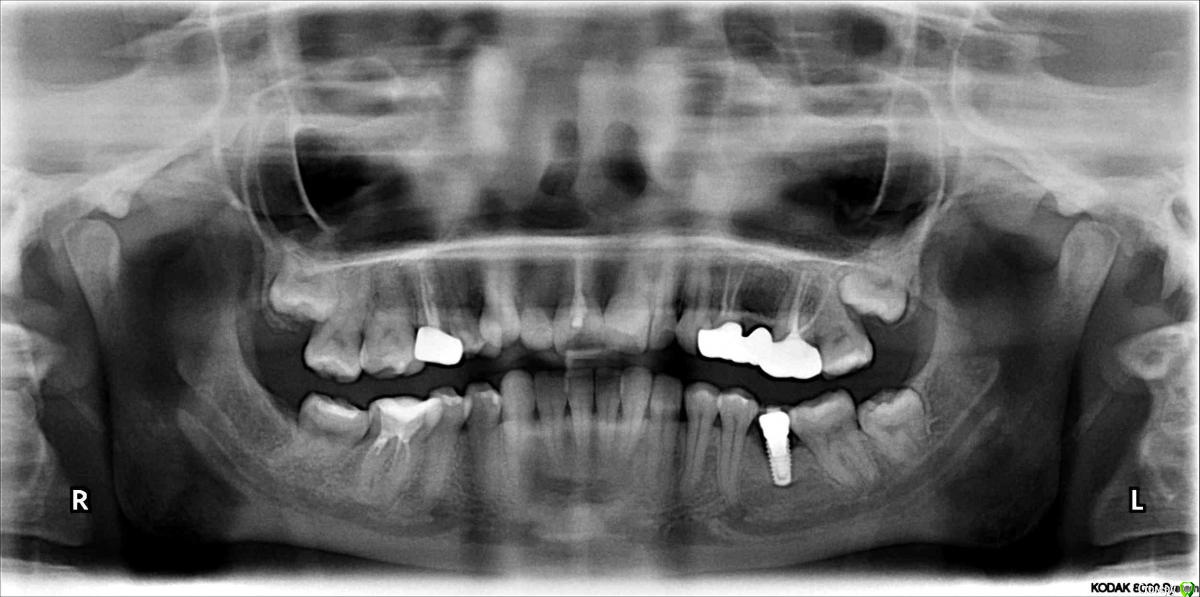
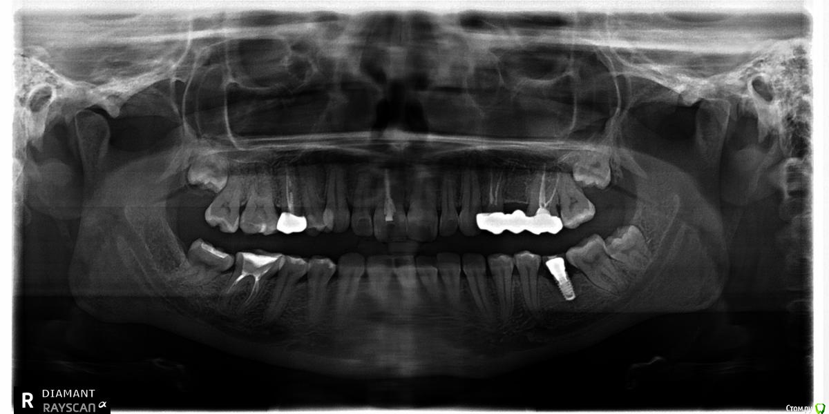
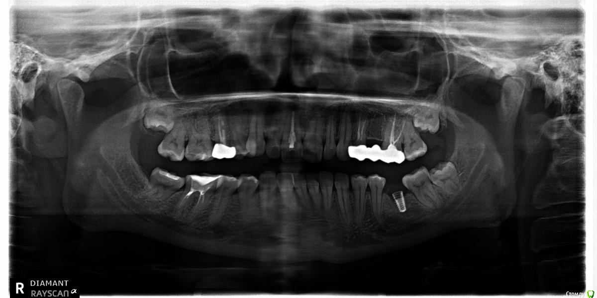
Нина86 Опубликовано 14 августа, 2019 Поделиться Опубликовано 14 августа, 2019 Здравствуйте! Проконсультируйте, пожалуйста, по поломке импланта. 5 лет назад поставила зубной имплант фирмы Megagen (диаметр 4 мм, длина 8,5 мм, Южная Корея, там и ставила).Месяц назад он сломался (сам имплант). На вопрос: "Почему же так произошло?" два стоматолога сказали, что не знают, просто импланты иногда (редко) ломаются. При внимательном рассмотрении панорамных снимков у нас с мужем возник вопрос, а не мог ли имплант сломаться из-за зачатка зуба мудрости, который давил на соседний зуб, а он, в свою очередь, на коронку импланта? Если это могло быть так, то нужно ли удалять зачаток зуба мудрости с той стороны, где имплант, перед установкой нового импланта или это можно сделать после его установки? И последний вопрос: можно ли устанавливать новый имплант в один день с удалением сломанного импланта? Снимки за 2017, март 2019 (до поломки импланта) и за июль 2019 (после поломки импланта) приведены ниже. Огромное спасибо! Ссылка на комментарий
Doc Опубликовано 14 августа, 2019 Поделиться Опубликовано 14 августа, 2019 1. Вряд ли2. Можно во время3. Зависит от ситуации, но чаще нет, чем да Ссылка на комментарий
колесников Опубликовано 15 августа, 2019 Поделиться Опубликовано 15 августа, 2019 Почему сломался? Можно только предполагать,но вероятно тут несколько предпосылок к этому было.Во первых ,как видно на снимке,стенка импланта довольно тонкая. Хотя диаметр 4.0 пригоден для установки в области моляров,в данном случае нагрузка оказалось запредельна для стенки такой толщины и для этого сплава . Во вторых ,почему сломался,ведь там внутренний конус? Да на коническом соединении мы получаем минимальную нагрузку на внутреннюю стенку шейки импланта и проблема перелома должна нас не волновать. Но! На корейских системах не оригинальный конус морзе,другой градус,вероятно градус имеет значение.В третьих,так же по снимку можно предположить ,что абатмент платформой «не сел» ,возможно не оригинальный,не правильное распределение нагрузки,как итог микролюфт и переломВ четвёртых,перед фиксацией коронки заметно что имплант более 1/3не в кости. Перелом проходит по костной границе . Вероятно были избыточные боковые нагрузки что привело к микролюфту и перелом произошёл по границе интегрированного с неинтегрированым. Ссылка на комментарий
Нина86 Опубликовано 15 августа, 2019 Автор Поделиться Опубликовано 15 августа, 2019 1. Вряд ли2. Можно во время3. Зависит от ситуации, но чаще нет, чем даСпасибо большое! Ссылка на комментарий
Нина86 Опубликовано 15 августа, 2019 Автор Поделиться Опубликовано 15 августа, 2019 Почему сломался? Можно только предполагать,но вероятно тут несколько предпосылок к этому было.Во первых ,как видно на снимке,стенка импланта довольно тонкая. Хотя диаметр 4.0 пригоден для установки в области моляров,в данном случае нагрузка оказалось запредельна для стенки такой толщины и для этого сплава .Во вторых ,почему сломался,ведь там внутренний конус? Да на коническом соединении мы получаем минимальную нагрузку на внутреннюю стенку шейки импланта и проблема перелома должна нас не волновать. Но! На корейских системах не оригинальный конус морзе,другой градус,вероятно градус имеет значение.В третьих,так же по снимку можно предположить ,что абатмент платформой «не сел» ,возможно не оригинальный,не правильное распределение нагрузки,как итог микролюфт и переломВ четвёртых,перед фиксацией коронки заметно что имплант более 1/3не в кости. Перелом проходит по костной границе . Вероятно были избыточные боковые нагрузки что привело к микролюфту и перелом произошёл по границе интегрированного с неинтегрированым.Спасибо большое за подробное описание возможных причин поломки импланта. Ссылка на комментарий
Нина86 Опубликовано 15 августа, 2019 Автор Поделиться Опубликовано 15 августа, 2019 Скажите, пожалуйста, как Вы считаете, а есть ли рациональная причина, почему врач установил такой короткий имплант? Можно ли установить на это место новый имплант большей длины? Ссылка на комментарий
колесников Опубликовано 15 августа, 2019 Поделиться Опубликовано 15 августа, 2019 Размер импланта оптимальный. Другой вопрос что он должен быть полностью интегрирован. Модно ли будет установить сразу новый имплант,зависит от того насколько не травматично удалится старый и какой объём костной ткани останется Ссылка на комментарий
Рекомендуемые сообщения
Для публикации сообщений создайте учётную запись или авторизуйтесь
Вы должны быть пользователем, чтобы оставить комментарий
Создать аккаунт
Зарегистрируйте новый аккаунт в нашем сообществе. Это очень просто!
Регистрация нового пользователяВойти
Уже есть аккаунт? Войти в систему.
Войти