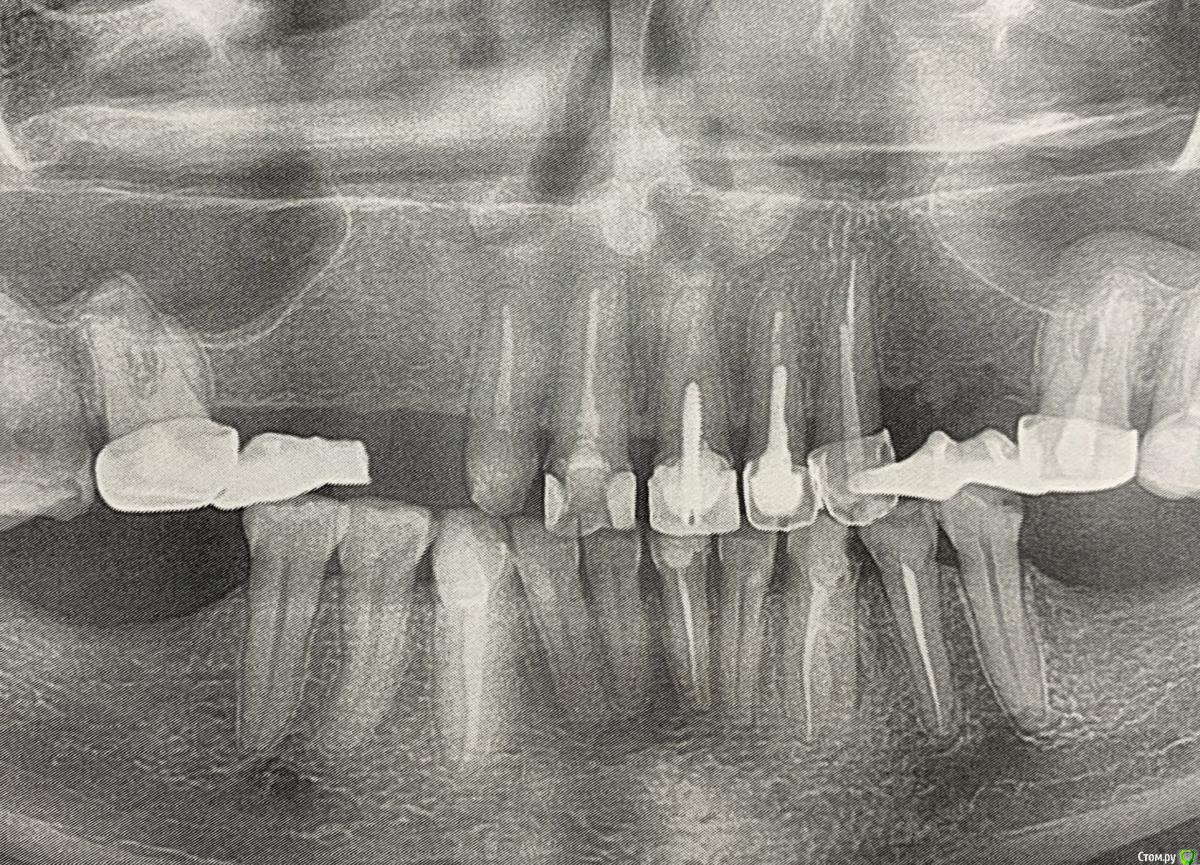
LeninK Опубликовано 8 августа, 2019 Поделиться Опубликовано 8 августа, 2019 (изменено) Здравствуйте. стоял мост на 2-6 зуб (нет 3,4,5) сверху, мост простоял 15 лет, потом сломался, поставили временный, но тот спал и часть зуба сломалась, (двойка) возможно сильно обточил врач зуб. Разные врачи предлагают все по разному, нужен совет. 1) вариант: на 1,2 и 6 одеть мост полуполковник как бы из металкерамики, учитывая вкладку в зуб 2. 2) вариант: на 2,1,1,2 поставить коронки!металкерамика, на 6 цельнолитой, и на 3,4,5 съемный протез типа бабочки( не помню точное название). Подскажите какой вариант лучше Изменено 8 августа, 2019 пользователем LeninK Ссылка на комментарий
red_butler Опубликовано 8 августа, 2019 Поделиться Опубликовано 8 августа, 2019 Имплантацию не рассматриваете? Ссылка на комментарий
LeninK Опубликовано 9 августа, 2019 Автор Поделиться Опубликовано 9 августа, 2019 К сожалению имплантацию не хочу, там пазухи носа или что то такое , близко, что осложняет все. Ссылка на комментарий
LeninK Опубликовано 9 августа, 2019 Автор Поделиться Опубликовано 9 августа, 2019 К сожалению имплантанты ни как. Ссылка на комментарий
red_butler Опубликовано 10 августа, 2019 Поделиться Опубликовано 10 августа, 2019 Тогда два частичных съемных протеза 1 Ссылка на комментарий
Рекомендуемые сообщения
Для публикации сообщений создайте учётную запись или авторизуйтесь
Вы должны быть пользователем, чтобы оставить комментарий
Создать аккаунт
Зарегистрируйте новый аккаунт в нашем сообществе. Это очень просто!
Регистрация нового пользователяВойти
Уже есть аккаунт? Войти в систему.
Войти