Перейти к содержанию
Стоматология для всех

флюс от пародонтального кармана


Рекомендуемые сообщения

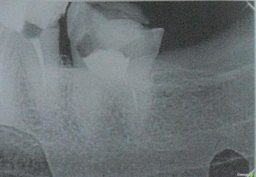
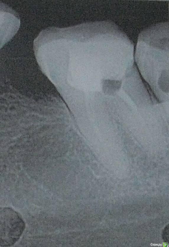
Здравствуйте! две недели назад был флюс.Хирург сделал надрез, дренаж не ставил, выписал антибиотики полоскание содой с солью. Отек сошел, но не полностью - десна немного увеличена. Все это время выходил гной. Дня три гной не выходит, но там белая фигня какая-то как налет, но как будто под кожей. Я не понимаю, т ли не долечили то ли что. Хирург говорит что нужно удалять 8 зуб что причина в кармане (это он определил по рентгену) и что иначе десна не пройдет. Но яне понимаю откуда там карман мне никогда туда пища то не забивалась. Поранить грубой щетиной щетки я реально могла но чтобы там остатки пищи гнии странно как-то.... на рентгене фото 1 это 7 зуб, а на фото 2 это  7 и 8 зуб. Зуб мудрости у меня не болит! Неужели без удаления никак? там действительно по рентгену карман? Подскажите пожалуйста уважаемые доктора! И еще момент хирург предлагает в качестве анастезии убистезин! говорит что он лучше обезболивает а так как идет воспалительный процесс то лидокаин с адреналином могут плохо подействовать и будет больно! Я постоянно принимаю анаприлин, он нормально сочетается с убистезином? раньше мне кололи лидокаин садреналином и я нормально переносила. Что скажете про убистезин, заранее большое спасибо!

 

post-58333-0-62010500-1565033843_thumb.jpg

post-58333-0-77537500-1565033850_thumb.jpg

Ссылка на комментарий
Гость
Эта тема закрыта для публикации ответов.
×
×
  • Создать...
Вверх