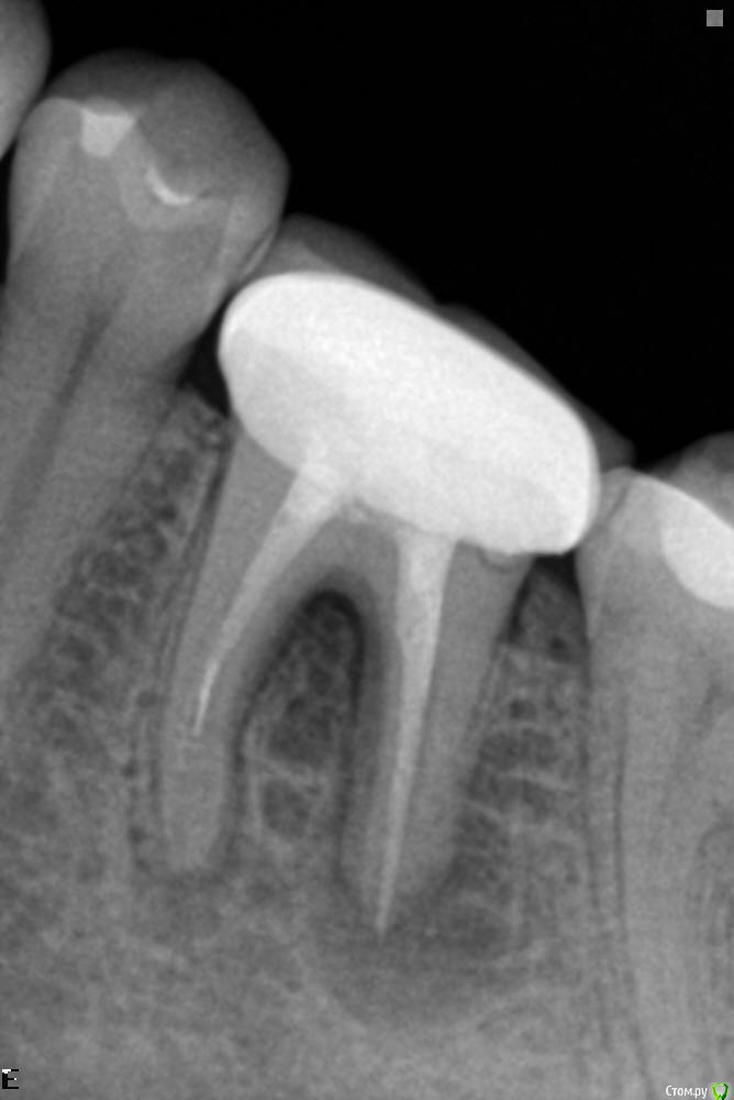
Jammy Опубликовано 5 августа, 2019 Поделиться Опубликовано 5 августа, 2019 Доброго времени суток. В январе зуб был протезирован (коронка) . Буквально несколько дней назад начал появляться свищ на десне.Сделала снимок,показала специалистам - терапевту стоматологу из местной поликлиники и врачу из частной клиники. Мнения разделились. Один говорит, что зуб нужно удалять и ставить имплант. Другой предложил лечение с чисткой каналов и последующим протезированием, но, говорит, что лечение может не помочь и зуб придётся удалять. И я теперь не знаю, что делать. Напишите, пожалуйста, Вашу точку зрения. Благодарю Ссылка на комментарий
St. Опубликовано 5 августа, 2019 Поделиться Опубликовано 5 августа, 2019 Добрый день. Никакой имплант не будет лучше своего зуба. Я бы пробовала сохранить перелечив каналы. Шанс на успех достаточно высокий, и только если не поможет рассматривала вариант удаления и имплантации Ссылка на комментарий
Jammy Опубликовано 12 августа, 2019 Автор Поделиться Опубликовано 12 августа, 2019 Добрый день. Никакой имплант не будет лучше своего зуба. Я бы пробовала сохранить перелечив каналы. Шанс на успех достаточно высокий, и только если не поможет рассматривала вариант удаления и имплантации большое спасибо за совет! 1 Ссылка на комментарий
red_butler Опубликовано 13 августа, 2019 Поделиться Опубликовано 13 августа, 2019 большое спасибо за совет!Тему можно закрывать? Ссылка на комментарий
Jammy Опубликовано 22 октября, 2019 Автор Поделиться Опубликовано 22 октября, 2019 Тему можно закрывать?да, спасибо! Ссылка на комментарий
Рекомендуемые сообщения