Illina Опубликовано 5 августа, 2019 Поделиться Опубликовано 5 августа, 2019 Добрый день!Несколько дней назад откололся кусочек пломбы на переднем зубе снизу (самой пломбе около полутора лет).Пломбы там огромные, я боюсь переделывать их просто негде, от зубов там совсем мало((( Можно ли просто восстановить этот кусочек пломбировочным материалом? т.е. пломбу на пломбу? Также на двойках на стыке пломб и зубов есть 2 пятнышка небольших коричневых, заметила около месяца назад - в прошлый раз врач из зашлифовала, перестали быть видны примерно на год хватило эффекта. Можно ли зашлифовать опять или на ваш взгляд надо переделывать? В связи с переездом пока непонятно, к кому лучше обратиться... Ссылка на комментарий
red_butler Опубликовано 5 августа, 2019 Поделиться Опубликовано 5 августа, 2019 зуб нужно протезировать искусственной коронкой Ссылка на комментарий
Illina Опубликовано 5 августа, 2019 Автор Поделиться Опубликовано 5 августа, 2019 Спасибо за ответ, там к сожалению и коронку уже не на что надевать, и вообще все передник такие((. И отпуск израсходован, не могу без зубов ходить в ожидании коронок((. Ссылка на комментарий
red_butler Опубликовано 5 августа, 2019 Поделиться Опубликовано 5 августа, 2019 Спасибо за ответ, там к сожалению и коронку уже не на что надевать это не так... И отпуск израсходован, не могу без зубов ходить в ожидании коронок ждать не придется, ортопед сделает временную коронку Ссылка на комментарий
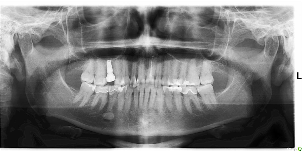
Illina Опубликовано 5 августа, 2019 Автор Поделиться Опубликовано 5 августа, 2019 Так получилось, что я уже имею 1 имплант там, где поставила коронку... Она простояла года полтора, следующая около года... Достаточного размера основание для нее делать не получалось в том корне, который имелся, а небольшой высоты штырь этот не держал ее... В то же время аналогичный зуб, который во время еще первой беременности также рекомендовали под коронку из-за большого разрушения, до сих пор со мной (тьфу-тьфу) , а ребенок, которым была тогда беременна, уже студент) Не поймите меня неправильно, я очень ценю ваше мнение, просто очень страшно все, что передних зубов касается и хочется узнать - теоретически приделать кусок пломбы к пломбе возможно?Если нет, тогда буду морально настраиваться наверное на имплантацию сразу((( Ссылка на комментарий
dok1 Опубликовано 5 августа, 2019 Поделиться Опубликовано 5 августа, 2019 То, что другой зуб развалился - не показатель. На передний зуб нужна своевременная коронка, а не лепнина Ссылка на комментарий
Illina Опубликовано 9 августа, 2019 Автор Поделиться Опубликовано 9 августа, 2019 В профильной теме "Посоветуйте..." никто не отвечает(Можно я здесь попрошу посоветовать опытного врача и клинику в Москве, где есть все условия для качественной работы.Лучше Запад, Юго-Запад, Северо-Запад или Центр. (почему-то врачи на форуме в основном из Северной столицы ) Ссылка на комментарий
Рекомендуемые сообщения
Для публикации сообщений создайте учётную запись или авторизуйтесь
Вы должны быть пользователем, чтобы оставить комментарий
Создать аккаунт
Зарегистрируйте новый аккаунт в нашем сообществе. Это очень просто!
Регистрация нового пользователяВойти
Уже есть аккаунт? Войти в систему.
Войти