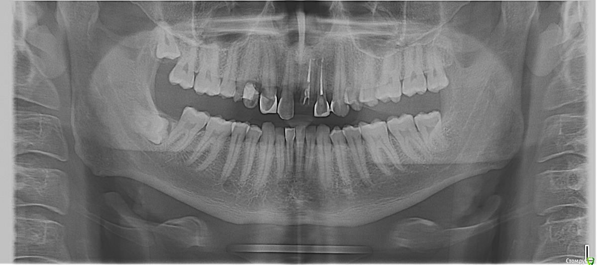
Алексей_1989 Опубликовано 5 августа, 2019 Поделиться Опубликовано 5 августа, 2019 Здравствуйте, будьте добры, подскажите пожалуйста: Мне 30 лет, 10 лет назад у меня была киста на месте выбитого зуба. Мне ее вырезали поставили коронку. Недавно коронка выпала. Я решил поставить. Мне сказали, что с таким прикусом ставить нельзя. Нижние зубы бьют по коронке. Я и сам это чувствую, нижние зубы уже и бьют по нормальным передним зубам. Ортодонт в клинике сказал, что надо иправлять прикус, но что он у меня очень глубокий и брейкеты мне не помогут. Нужно наплавлять на боковые зубы коронки, чтоб поднять прикус и все. Я решил сходить к еще одному ортодонту к другой клинике....все наоборот.. только брейкеты, они одни помогут, наплавлять ничего не надо, еще и потому, что последний ортодонт мне сказал, что от поднятия так зубов, передние зубы никак друг с другом не будут соприкасаться и от этого могут быть ПРОБЛЕМЫ С ПОЗВОНОЧНИКОМ! ГРЫЖИ, ПРОТРУЗИИ! Так что если нет желание еще больших проблем - нужны брейкеты....вот это да....Я не понимаю кому верить тут.Вы не могли бы посмотреть на мой панорамный снимок (если он поможет, если надо какой-то еще снимок или что-то еще - я сделаю) брейкеты или увеличивать боковые зубы? Ссылка на комментарий
red_butler Опубликовано 5 августа, 2019 Поделиться Опубликовано 5 августа, 2019 http://forum.stom.ru/topic/4655-patcientam/ 1 Ссылка на комментарий
Алексей_1989 Опубликовано 5 августа, 2019 Автор Поделиться Опубликовано 5 августа, 2019 (изменено) Я понять не могу, пишет, что можно выложить файл не больше 1 мб, на следующий уже 600кб, потом 200. Так я все файлы не могу выложить.Мне приходится выкладывать на радикалеМогу префотать если фотки не совсем так вышли https://d.radikal.ru/d17/1908/78/e5dce7a6bd58.png https://a.radikal.ru/a24/1908/d8/d33386adc04e.png https://b.radikal.ru/b21/1908/61/18ef6a75dd85.png https://b.radikal.ru/b18/1908/08/be19af5823b7.png https://d.radikal.ru/d06/1908/8f/0ed5e0ae19ba.png https://a.radikal.ru/a22/1908/e3/69a9c791e685.png https://c.radikal.ru/c23/1908/31/eeb39f5db8fa.png https://a.radikal.ru/a10/1908/30/403fa8f386eb.png http://forum.stom.ru/topic/4655-patcientam/ П.С. Про гигиену и кариес я знаю Изменено 5 августа, 2019 пользователем Алексей_1989 Ссылка на комментарий
Brigita Опубликовано 5 августа, 2019 Поделиться Опубликовано 5 августа, 2019 Мало данных для анализа. Попробуйте сходить к еще одному ортодонту.В Киеве есть хороший ортодонт, который на разных форумах представляется как Назар Бродский, найдите его. Не знаю, настоящее ли это имя, мой русский гугл не ищет украинских ребят 1 Ссылка на комментарий
Алексей_1989 Опубликовано 5 августа, 2019 Автор Поделиться Опубликовано 5 августа, 2019 Мало данных для анализа. Попробуйте сходить к еще одному ортодонту.В Киеве есть хороший ортодонт, который на разных форумах представляется как Назар Бродский, найдите его. Не знаю, настоящее ли это имя, мой русский гугл не ищет украинских ребят У меня гугл тоже не находит по словосочетанию "Назар Бродсий ортодонт" Подскажите хоть на каком форуме? Ссылка на комментарий
Brigita Опубликовано 5 августа, 2019 Поделиться Опубликовано 5 августа, 2019 (изменено) фейсбук.Назар БродсКий Изменено 5 августа, 2019 пользователем Brigita 1 Ссылка на комментарий
Алексей_1989 Опубликовано 7 августа, 2019 Автор Поделиться Опубликовано 7 августа, 2019 фейсбук.Назар БродсКий3 человека такие на фейсбуке и ни одного стоматолога Ссылка на комментарий
Алексей_1989 Опубликовано 14 августа, 2019 Автор Поделиться Опубликовано 14 августа, 2019 Был у еще однного ортодонта. Тот сказал, что брейкеты ставить обязательно. А вот нужно ли еще и наплавлять - отправил на исследование под названием "Рентгеновская томография височно-нижнечелюстных суставов (с октрыи ртом и привычной окклюзии)Вот такие снимки я получил. Вы не могли бы сказать, по ним видно, можно ли обойтись только брейкетами? Ссылка на комментарий
Рекомендуемые сообщения
Для публикации сообщений создайте учётную запись или авторизуйтесь
Вы должны быть пользователем, чтобы оставить комментарий
Создать аккаунт
Зарегистрируйте новый аккаунт в нашем сообществе. Это очень просто!
Регистрация нового пользователяВойти
Уже есть аккаунт? Войти в систему.
Войти