Перейти к содержанию
Стоматология для всех

Целесообразность лечения молочных зубов коронками


PetroArt

Рекомендуемые сообщения

Уважаемые доктора!

Хотел бы проконсультироваться по тактике лечения молочных зубов у детей. Сейчас нахожусь в США, у дочери выпала пломба на J и жаловалась на зуб А, хотя его в апреле пролечили (удалили pulp и поставили пломбу).

 

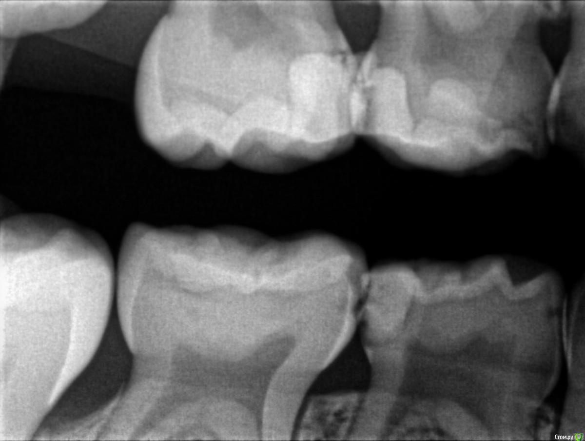
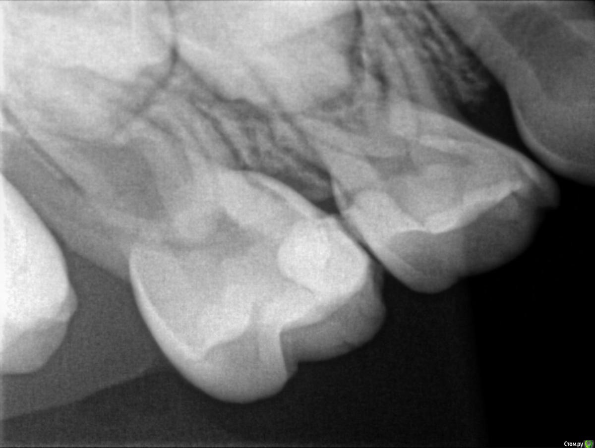
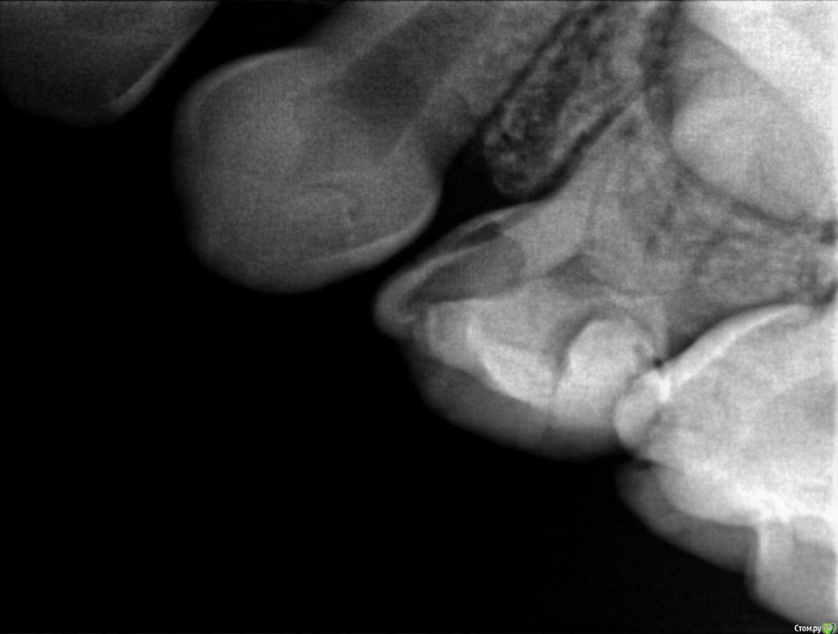
Пошли к врачу, сделали рентген и на рентгене видно что начал образовываться кариес почти на всех молярах, либо под пломбами, либо на стыке зубов. Так как зубы уже леченые доктор говорит что лечить дальше смысла нет, пломба держаться не будет, выпадет снова, предлагают ставить коронки сразу на все моляры, а зуб где уже большая пломба (зуб I на ренгене) просто удалить (не болит) и поставить space mantainer + удалить зуб А.

 

Зуб А - он депульпирован, лечили в апреле, там есть абсцесс (шишка над десной), дали антибиотик пока и приговорили на удаление. Другой врач правда говорит, что в его практике он такие зубы не рекомендует удалять сразу, т.к. свиду абсцесс не похож что связан с кариесом по ренгену и возможно вызван прорезывающимся следующим зубом. Предлагает пропить антибиотик и посмотреть что будет - если опять воспалиться, то тогда уже удалять. А пока наблюдать. Т.к. удаление этого зуба сейчас принесет большие проблемы потом, ввиду того что space mantainer туда поставить не возможно пока не выйдет полностью следующий зуб. И как минимум дотянуть до следующего зуба чтобы он вылез правильно, а уже потом удалять.

 

Но в целом тактика лечения всех оставшихся маляров в виде закатывания в коронки напрягает. Понятно что здесь это поставлено на поток, с точки зрения финансов и ответственности за некачественное решение, ни про какие менее щадящие методы как продолжать лечить просто пломбами слышать не хотят и делать под нашу ответственность тоже. 

На наш НЕпрофессиональный взгляд, пломбы не такие уж большие чтоб закатывать в коронки, у старшего сына была аналогичная вообщем то ситуация и когда были в россии да, пломбы вываливались, на их место ставили новые, иногда удаляли нерв, но в итоге до смены зубов все дошло без удаления.

Здесь тактика все сделать за раз, под седацией. Финансовую сторону оставим в стороне, скажем так по цене что пломбой реставрировать, чтоб коронку ставить - цена одинаковая. Но седация стоит отдельно и очевидно ввиду влияния на здоровье ребенка делать каждый раз они не хотят.  

 

Ходили к двум другим докторам на консультацию, более менее похожая ситуация - все предлагают сделать за один раз, чтобы больше к этому не возвращаться и претензий что развалиться не было.

 

Про коронки смущает что:

- надо удалять нерв (или верхнюю часть нерва). Странно это делать на зубе который не болит. Даже если молочный зуб просто год но с нервом это помоему лучше. Зубы S, J, L  - удаление нерва под коронку, I - тоже, если зуб сохранять. Остальные зубы просто закатывают в коронки без удаления нерва чтобы не возвращаться к этому вопросу через год.


- какая бы коронка не была, даже индивидуальная, есть риск развития кариеса изнутри ведь, ведь на молочных зубах корневые каналы не лечат и не пломбируют как на взрослых. Плюс здесь НЕ используют индивидуальные коронки сделанные по оттискам, используют пре-фабрикейтед, просто подбирают по размерам. Сильно в десну их тоже не загоняют, соответственно я как понимаю риск развития кариеса под коронкой есть опять, только на этот раз это уже не будет видно на ренгтене. 

 

- ну и сильно немаловажный фактор - эстетика - стальные коронки-колпачки видок конечно так себе (ставят готовые колпачки 3M). И одно дело - на год-два поставить, а другое на 5-6 лет и пусть даже не зона улыбки но все равно. Как альтернатива есть белые цирконевые коронки NuSmile или EZCrown (Sprit), но очень мало врачей с ними работает и то что мы слышим говорят что т.к. они фиксированных размеров то очень тяжело их подобрать и держаться они на цементе только, хотя стальную как бы можно на месте доформировать. Хотя конечно основая причина - это финансовая мне кажется, очень мало страховых оплачивают белые цирконевые коронки, только стальные. В моем случае это не сильно критично т.к. страховая покроет часть все же и их и разница для меня несущественная.

 

Вопрос, а нужны ли коронки вообще? Понятно что врачи тут не хотят заморачиваться с реставрацией если 2 и 3 плоскости, плюс подозреваю чем больше зуба тем проще поставить коронку и будет лучше держаться. В россии же вроде как тактика восстанавливаем пломбами, до тех пор пока уже восстанавливать нечего, и если так - то ставим коронку. Такая тактика в россии просто финансовая или отсутствие опыта работы с этими коронками?

 

На всякий случае прикрепляю снимки, буду рад услышать мнение. 

 

Для нас сейчас главное определиться с тактикой - продолжать искать доктора кто просто продолжит лечить пломбами здесь в США или даже съездить в Россию, либо все же решится на коронки. 

post-58342-0-23595500-1564771504_thumb.jpg

post-58342-0-52069000-1564771510_thumb.jpg

post-58342-0-48159700-1564771516_thumb.jpg

post-58342-0-92879700-1564771522_thumb.jpg

post-58342-0-62505700-1564771567_thumb.jpg

Изменено пользователем PetroArt
Ссылка на комментарий

http://forum.stom.ru/user/36912-crazyduck/
 

Пример того как должен работать врач с детьми, лучших работ детского стоматолога я не видел... Это если в Россию.

 

Железные коронки это нормально. Я бы за циркониевые не переплачивал, так как качество коронки определяется её прилеганием к зубу, а не цветом.
 

Вцелом если вам адекватно пролечили каналы - удалили pulp, то можно поставить пломбу, это нормально даже если она выпадет.

Если есть абсцесс на десне то зуб надо либо перелечивать либо удалять.

Коронку я бы ставил только на качественно пролеченный зуб.

Задача номер 1 - сохранить вторые молочные моляры.

Ссылка на комментарий

Если есть абсцесс на десне то зуб надо либо перелечивать либо удалять.

Коронку я бы ставил только на качественно пролеченный зуб.

Задача номер 1 - сохранить вторые молочные моляры.

 

Вот нам тоже уже не первый врач говорит - задача это сохранить моляры. Но получается что перелечивать, а как? судя по ренгену пломба стоит хорошо, каналы не пломбируют у молочных зубов. Получается просто заново перепоставить пломбу?

Ссылка на комментарий
  • 2 недели спустя...

В молочных зубах каналы лечат и пломбируют. Абсцесс на десне это прямое показание для снятие пломбы и лечения каналов.

Ссылка на комментарий

Для публикации сообщений создайте учётную запись или авторизуйтесь

Вы должны быть пользователем, чтобы оставить комментарий

Создать аккаунт

Зарегистрируйте новый аккаунт в нашем сообществе. Это очень просто!

Регистрация нового пользователя

Войти

Уже есть аккаунт? Войти в систему.

Войти
×
×
  • Создать...
Вверх