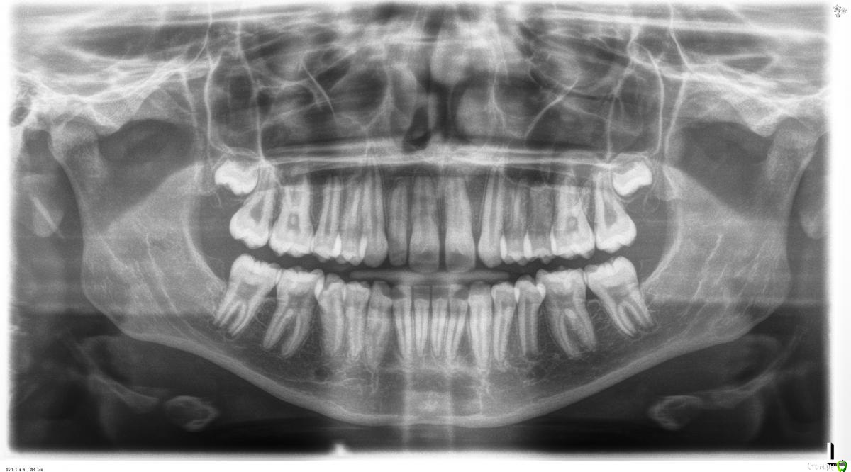
Illina Опубликовано 2 августа, 2019 Поделиться Опубликовано 2 августа, 2019 Добрый день! Девушке 18 лет.Нет левой верхней двойки, из-за чего между зубами верхними щели.Не улыбается прилюдно(Консультировались лет в 16 у ортодонта, сказал ждать 18 лет. Читала про 2 тактики - 1) смещение зубов с целью убрать щели и 2) имплантацию отсутствующей двойки. Цель самой девушки - избавиться от щели, то есть наверное 1 вариант бы устроил.Но будет ли результат постоянен? Не раздвинутся ли зубы после снятия брекетов опять?? Спасибо Ссылка на комментарий
Brigita Опубликовано 5 августа, 2019 Поделиться Опубликовано 5 августа, 2019 Я за имплант в этом случае. Брекеты можно и сейчас,получить место, имплантацию в 18.После снятия брекетов вариантов замещения с сохранением места множество Ссылка на комментарий
Illina Опубликовано 5 августа, 2019 Автор Поделиться Опубликовано 5 августа, 2019 (изменено) Я за имплант в этом случае.Брекеты можно и сейчас,получить место, имплантацию в 18.После снятия брекетов вариантов замещения с сохранением места множествоСпасибо.Ей уже 18... А скажите пожалуйста, вы за имплант - из-за того, что иначе разъедутся зубы опять?Или просто недостаточно красиво на ваш взгляд, если просто стянуть их? Изменено 5 августа, 2019 пользователем Illina Ссылка на комментарий
Brigita Опубликовано 5 августа, 2019 Поделиться Опубликовано 5 августа, 2019 Спасибо.Ей уже 18... А скажите пожалуйста, вы за имплант - из-за того, что иначе разъедутся зубы опять?Или просто недостаточно красиво на ваш взгляд, если просто стянуть их?потому что1. это будет некрасиво2. нестабильно3. несимметрично. Чтобы было симметрично, нужно вторую двойку удалить. Но клыки крупнее двоек и на фоне центральных резцов это будет1. некрасиво Ссылка на комментарий
Рекомендуемые сообщения
Для публикации сообщений создайте учётную запись или авторизуйтесь
Вы должны быть пользователем, чтобы оставить комментарий
Создать аккаунт
Зарегистрируйте новый аккаунт в нашем сообществе. Это очень просто!
Регистрация нового пользователяВойти
Уже есть аккаунт? Войти в систему.
Войти