arinasmirn74@gmail.com Опубликовано 1 августа, 2019 Поделиться Опубликовано 1 августа, 2019 Добрый день! Только что закончилась процедура протезирования - поставили коронки на две нижние шестерки и две пятерки (пятерки не импланты, свои).Справа нижней шестерки не было очень давно, антагонист выдвинулся, врач пришлифовал его в пределах эмали на этапе снятия слепков. Сегодня добивались комфортного прикуса, и вроде бы в статике и при небольших движениях все идеально подогнали, но, придя домой, я поняла, что имплант справа ниже остального ряда, а антагонист - выше, таким образом происходит вклинение антагониста в нижний зубной ряд, при активном жевании, движении по вектору зубного ряда верхний антагонист шестерки оказывается заклиненым между нижними 5 и 7 при смыкании с имплантом.Вот не знаю теперь, что делать.Понимаю, что врач решал проблему как мог: более глубокая пришлифовка - решение не очень (зуб - одна большая пломба с бессимптомной кистой), а сошлифовывать, обтачивать и убирать под коронку верхний антагонист с возвращением в общий зубной ряд нецелесообразно потому, что верхний антагонист имеет бессимптомную кисту и может в любой момент пойти под удаление. Что делать? Пытаться привыкнуть к зарубанию зуб о зуб? Удалять верхний антагонист и переделывать коронку нижней шестерки? Рискнуть и выровнять оба зуба (антагонист сточить по уровню, нижний переделать)?Можно ли переделать коронку на импланте через год-три-пять?ОПТГ завтра попробую сделать. Ссылка на комментарий
red_butler Опубликовано 2 августа, 2019 Поделиться Опубликовано 2 августа, 2019 Вот не знаю теперь, что делать. обратитесь к своему врачу Ссылка на комментарий
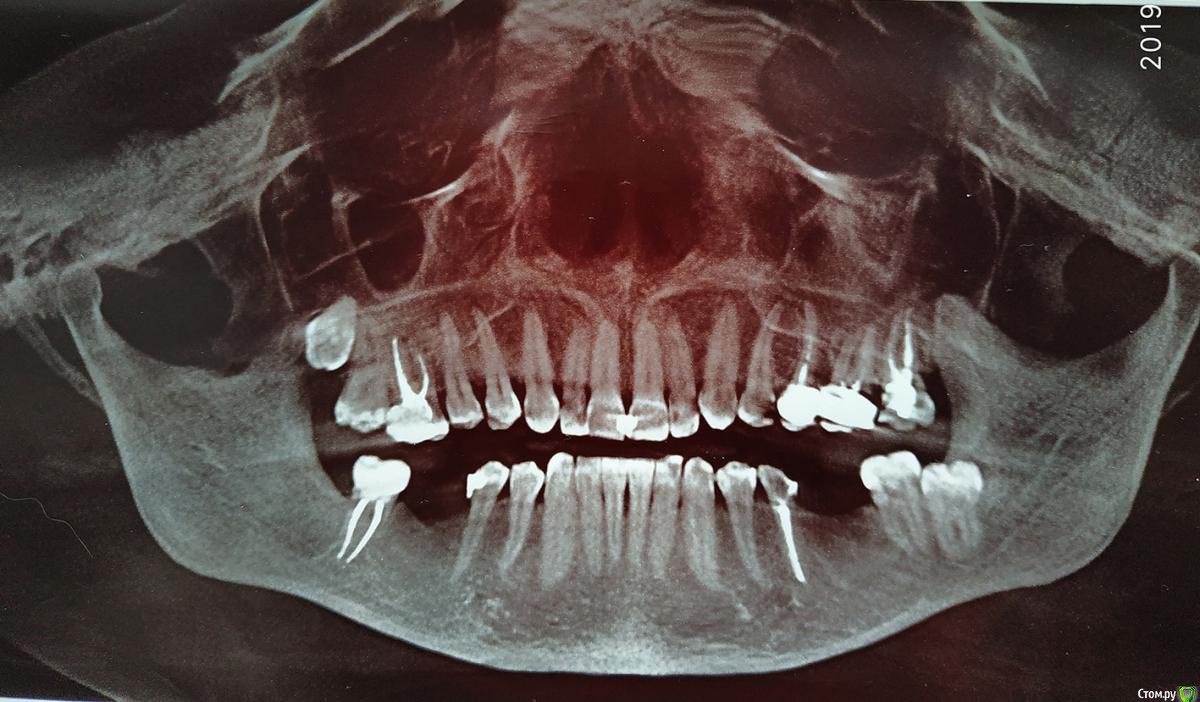
arinasmirn74@gmail.com Опубликовано 2 августа, 2019 Автор Поделиться Опубликовано 2 августа, 2019 (изменено) Ситуация до имплантации и после. Второй снимок в Пикассо фиговый, попробую переделать, но может быть что-то и понятно. Изменено 2 августа, 2019 пользователем arinasmirn74@gmail.com Ссылка на комментарий
red_butler Опубликовано 2 августа, 2019 Поделиться Опубликовано 2 августа, 2019 Что делать? перелечить антагонист и протезировать его искусственной коронкой Ссылка на комментарий
arinasmirn74@gmail.com Опубликовано 2 августа, 2019 Автор Поделиться Опубликовано 2 августа, 2019 (изменено) Врач говорит, что киста на оба корня - перелечивание нецелесообразно. Предложил допечь нижний имплант и пришлифовать верхний зуб "сколько простоит". Уговорить покрыть полукоронкой верхний не удалось. Он весь огромная пломба с тонкой стенкой и кистой под корнями. Изменено 2 августа, 2019 пользователем arinasmirn74@gmail.com Ссылка на комментарий
red_butler Опубликовано 2 августа, 2019 Поделиться Опубликовано 2 августа, 2019 Врач говорит, что киста на оба корня - перелечивание нецелесообразно. Предложил допечь нижний имплант и пришлифовать верхний зуб "сколько простоит". Уговорить покрыть полукоронкой верхний не удалось. Он весь огромная пломба с тонкой стенкой и кистой под корнями.Тогда удаление и имплантация... Ссылка на комментарий
arinasmirn74@gmail.com Опубликовано 2 августа, 2019 Автор Поделиться Опубликовано 2 августа, 2019 Тогда удаление и имплантация...А нижний допекать до линии окклюзии? Сейчас он сточен до смыкания с выдвинутым. Ссылка на комментарий
Рекомендуемые сообщения
Для публикации сообщений создайте учётную запись или авторизуйтесь
Вы должны быть пользователем, чтобы оставить комментарий
Создать аккаунт
Зарегистрируйте новый аккаунт в нашем сообществе. Это очень просто!
Регистрация нового пользователяВойти
Уже есть аккаунт? Войти в систему.
Войти