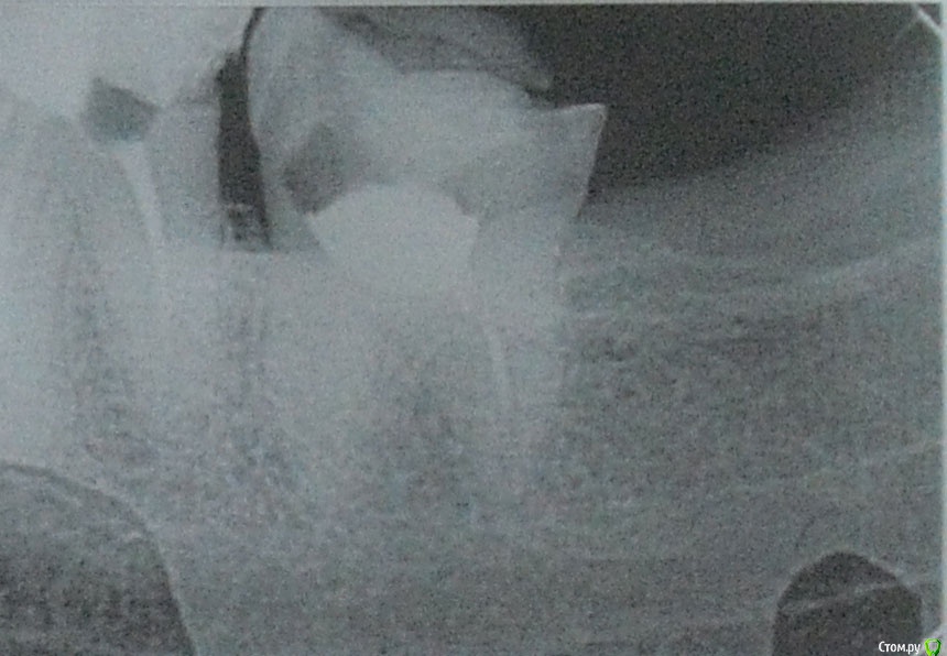
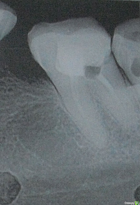
usersha Опубликовано 1 августа, 2019 Поделиться Опубликовано 1 августа, 2019 Здравствуйте! 10 дней назад у меня выступил флюс то есть десна между 7 и 8 зубом слева внизу отекла и появился гнойничек. До этого была боль пульсирующая или как будто распирающая. После того появился флюс боль практически прошла. У врача на приеме сделали снимок. Я думала что причина в 8 зубе так как боль усиливалась при нажатии. Но потом когда боль прошла то и при нажатии боли нет. По снимку врач сказала что корни нормальные и проблема в десне может быть поранила. Хирург сделал надрез сказал чтобы выходила инфекция. Дренаж не ставил. Я полоскала содой солью и пила амоксициллин 8 дней. Отек стал спадать было видно как образуется гнойное типа налета и выходит..... где то дня 4 назад десна стала немного побаливать и я добавила левомеколь - 3 раза в день... и периодически из этого надреза появляется белый налет (гной) потом при полоскании отскакивает. Опухоль в основном спала,но десна слегка увеличена. В основном десна не болит если не теребить ее. Как долго выходит инфекция и проходит флюс? Вторая неделя пошла это долго или это нормальные сроки? И еще вопрос. Пломба у 7 зуба стоит так что с внутренней стороны межзубное пространство забито пломбой и она упирается в десну. Я прочитала что нависающий край пломбы может травмировать десну. Один из способов проверить - зубная нить которая не должна цепляться. Как раз если провести нитью то у самой десны нить как бы цепляется как за крючок что ли. Могла ли эта пломба в межзубном пространстве давящая на десну привести к флюсу? Сейчас там где с внутренней стороны пломба давит в межзубном пространстве я чувствую дискомфорт и немного болезненно у десны. Флюс у меня с внешней стороны ( то есть со стороны щеки) он был расположен как-то прям между зубами 7 и 8 со смещением отечности в сторону 8 зуба. Может ли врач убрать пломбу в межзубном пространстве нависающий край без переделывания всей пломбы? Заранее большое спасибо за помощь! PS первый снимок 7 и 8 зубы, второй снимок 7 зуб и часть 8 Ссылка на комментарий
red_butler Опубликовано 2 августа, 2019 Поделиться Опубликовано 2 августа, 2019 для начала удалите зуб мудрости. Затем оценить перспективу протезирования, и если оно возможно, то повторное лечение седьмого зуба Ссылка на комментарий
usersha Опубликовано 2 августа, 2019 Автор Поделиться Опубликовано 2 августа, 2019 для начала удалите зуб мудрости. Затем оценить перспективу протезирования, и если оно возможно, то повторное лечение седьмого зубаСпасибо за ответ! Скажите а зачем удалять зуб мудрости если он не болит и как сказала врач там корни нормальные? флюс скорее от травмы либо зубной щеткой десны либо от постоянного пломбы в межзубном пространстве Ссылка на комментарий
red_butler Опубликовано 2 августа, 2019 Поделиться Опубликовано 2 августа, 2019 Спасибо за ответ! Скажите а зачем удалять зуб мудрости если он не болит и как сказала врач там корни нормальные? флюс скорее от травмы либо зубной щеткой десны либо от постоянного пломбы в межзубном пространствеВосьмой зуб сильно разрушен, корневые каналы полноценно не пролечены. Контактного пункта с седьмым зубом нет, это привело к воспалению десны и рецидиву кариеса на седьмом зубе. Оставляя зуб мудрости Вы приближаете конец седьмого зуба. 2 Ссылка на комментарий
usersha Опубликовано 2 августа, 2019 Автор Поделиться Опубликовано 2 августа, 2019 Восьмой зуб сильно разрушен, корневые каналы полноценно не пролечены. Контактного пункта с седьмым зубом нет, это привело к воспалению десны и рецидиву кариеса на седьмом зубе. Оставляя зуб мудрости Вы приближаете конец седьмого зуба.спасибо большое за ответ! подскажите еще пожалуйста удалять нужно когда флюс пройдет полностью? просто уже дней 10 но до конца десна не восстановилась... опухоль спала осталось совсем немного и из того разреза что делал хирург периодически появляется гной - полощу содой солью иногда хлоргексидином мажу левомеколем. сколько должно по времени проходить флюс?может ли быть такое что десна не проходит так долго потому что мне не ставили дренаж? Ссылка на комментарий
usersha Опубликовано 6 августа, 2019 Автор Поделиться Опубликовано 6 августа, 2019 уважаемые доктора подскажите пожалуйста насчет флюса? неужели такие проблемы с лечением флюса? что же теперь десна воспалилась и только зубы рвать? Зуб мудрости у меня не болит! Неужели без удаления никак? там действительно по рентгену карман? Подскажите пожалуйста уважаемые доктора! И еще момент хирург предлагает в качестве анастезии убистезин! говорит что он лучше обезболивает а так как идет воспалительный процесс то лидокаин с адреналином могут плохо подействовать и будет больно! Я постоянно принимаю анаприлин, он нормально сочетается с убистезином? раньше мне кололи лидокаин садреналином и я нормально переносила. Что скажете про убистезин, заранее большое спасибо! Ссылка на комментарий
red_butler Опубликовано 6 августа, 2019 Поделиться Опубликовано 6 августа, 2019 Про зубы я Вам ответил. Карман есть. Убистезин нормальный препаратP.s. Надеюсь дизлайк Вы мне поставили ошибочно... Ссылка на комментарий
usersha Опубликовано 6 августа, 2019 Автор Поделиться Опубликовано 6 августа, 2019 Про зубы я Вам ответил. Карман есть.Убистезин нормальный препаратP.s. Надеюсь дизлайк Вы мне поставили ошибочно...нет не ошибочно! вы конечно модератор администратор и можете легко забанить меня! но я все равно скажу! вы не отвечаете по существу! за это и минус! я спросила насчет флюса и его лечения без удаления 8 зуба! все что вы советуете только удалять! причем здоровый зуб! и насчет анастезии я спросила как он совместим в анаприлином! вы отвечаете нормальный препарат! прерасный ответ! в инстукции к убистезину написано противопоказание и несовместимость с неселективными бета-блокаторами а анаприлин как Вам известно это неселективный бета блокатор! поэтому я и спрашивала! и еще меня интересовала это действительно так что лидокаин с адреналином при воспалительном процессе плохо действуют и что при тех же условиях то есть воспалении убистезин действительно лучше действует? я спросила про карман потому что во первых мне никогда пища в межзубном пространстве не застревала! во вторых есть истиные и ложные карманы! в третьих мне ни один из врачей не проверил то есть не зондировал десну чтобы говорить карманы! и наконец по снимку видно что одна и таже часть сильно отличается ! я не спец но видела снимки в сети карманов где идет разрушение кости или как там правильно называется! у меня на одном снимке между зубами четко видна белая полоса а на другом нет! может принтер УДАЛЕНО АДМИНИСТРАТОРОМ в поликлинике как может отличаться одна и таже часть на снимках! вы конечно извините меня за резкость но меня достало что к нам относятся как быдлу! я знаю что на этом форуме мне никто ничего не должен! у нас в этой стране никто уже никому ничего не должен,дальше я помолчу иначе тема сведется к политике. 1 3 Ссылка на комментарий
red_butler Опубликовано 6 августа, 2019 Поделиться Опубликовано 6 августа, 2019 Вот и помогай после этого... 2 1 Ссылка на комментарий
usersha Опубликовано 6 августа, 2019 Автор Поделиться Опубликовано 6 августа, 2019 Вот и помогай после этого...когда нечего сказать по существу ищите ошибки в тексте! так и скажите что не умеете лечить флюс! так и скажите что не знаете о несовместимости анаприлина с убинзимом! так и скажите что вам ничего не известно о приоритете использования убензима при воспалительных процессах так и скажите что не можете помочь в этой теме! не надо строить из себя святого и такого высоконравственного! никогда не поверю что вы такой в жизни деликатный что прям разобиделись на мой текст... кстати в тексте не было ни одного нецензурного матного слова! с вами все понятно вперед идите минусуйте мне пофигу! Ссылка на комментарий
dentikl Опубликовано 8 августа, 2019 Поделиться Опубликовано 8 августа, 2019 (изменено) ! в инстукции к убистезину написано противопоказание и несовместимость с неселективными бета-блокаторами а анаприлин как Вам известно это неселективный бета блокатор! Одновременный прием неселективных бета-адреноблокаторов, сопутствующая терапия ингибиторами моноаминооксидазы или трициклическими антидепрессантами;одновременно-нельзя.(Это к убистезину)Следует соблюдать осторожность также при применении с такими препаратами, как изопреналин и норадреналин. Применение пропранолола во время инфузии лидокаина может повысить концентрацию лидокаина в плазме крови на 30%. Подробности читайте на (это к анаприлину)надеюсь разберетесь Изменено 8 августа, 2019 пользователем dentikl Ссылка на комментарий
dentikl Опубликовано 9 августа, 2019 Поделиться Опубликовано 9 августа, 2019 (изменено) надеюсь разберетесь переведу с врачебного на язык пациентов-Если Вы лежите под капельницей с анаприлином, в нее (эту капельницу),адреналин лучьше не добавлять.И наоборот-прямо в кресле,в момент введения анестетика с адреналином (убистезин например) -капельницу с анаприлином лучьше не ставить. Изменено 9 августа, 2019 пользователем dentikl Ссылка на комментарий
сирена Опубликовано 9 августа, 2019 Поделиться Опубликовано 9 августа, 2019 Причём убистезин в этом плане выгодно отличается от лидокаина с адреналином,там адреналина меньше.Но вообще у пациентов,принимающих анаприлин лучше использовать скандонест,либо другие безадреналиновые анестетики,но анестезия от них слабее,чем от того же убистезина.Другой выход - проконсультируйтесь у Вашего леч.врача,нельзя ли сменить анаприлин на селективный блокатор,с этими препаратами можно использовать "сильные" анестетики с адреналином.А насчёт кармана,Вам правильно ответили:проблему можно решить только удалением либо седьмого,либо восьмого зуба.Карман из-за длительного отсутствия шестого зуба и смещения седьмого в сторону дефекта зубного ряда.Я думаю - надо с ортопедом посоветоваться,как лучше сделать,имея ввиду будущее протезирование этого сегмента. 1 Ссылка на комментарий
Рекомендуемые сообщения
Для публикации сообщений создайте учётную запись или авторизуйтесь
Вы должны быть пользователем, чтобы оставить комментарий
Создать аккаунт
Зарегистрируйте новый аккаунт в нашем сообществе. Это очень просто!
Регистрация нового пользователяВойти
Уже есть аккаунт? Войти в систему.
Войти