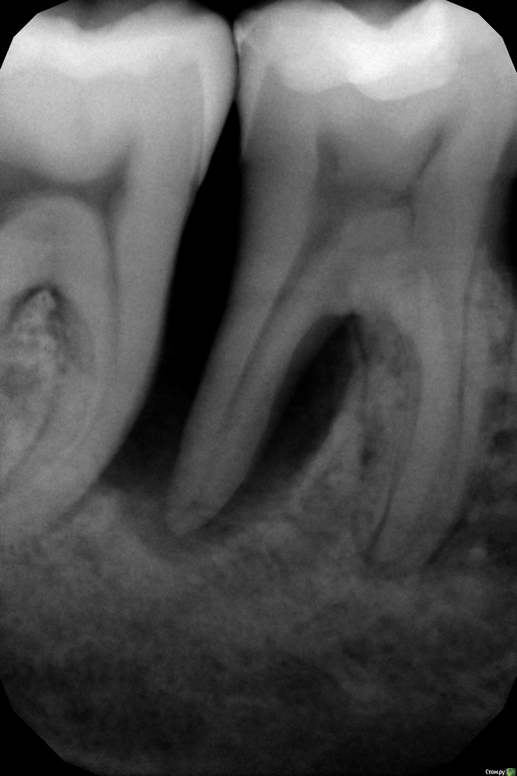
Muhamedgaliev Опубликовано 29 июля, 2019 Поделиться Опубликовано 29 июля, 2019 Уважаемые коллеги. Подскажите, тактику лечения в данном клиническом случае. Ссылка на комментарий
Muhamedgaliev Опубликовано 29 июля, 2019 Автор Поделиться Опубликовано 29 июля, 2019 Уважаемые коллеги. Подскажите, тактику лечения в данном клиническом случае.В полости рта все спокойно, проведен кюретаж, полировка корня, слизистая бледно розового цвета. Ссылка на комментарий
Дмитрий Л. Опубликовано 29 июля, 2019 Поделиться Опубликовано 29 июля, 2019 Здесь для внятного совета нужно поллиста А4 вводных данных. Ссылка на комментарий
dentikl Опубликовано 29 июля, 2019 Поделиться Опубликовано 29 июля, 2019 Уважаемые коллеги. Подскажите, тактику лечения в данном клиническом случае.кт и если очаг подтвердится-удаление Ссылка на комментарий
___49___ Опубликовано 29 июля, 2019 Поделиться Опубликовано 29 июля, 2019 как из вариантов - гемисекция, но нужно больше данных . 1 Ссылка на комментарий
Евгений Ходыкин Опубликовано 29 июля, 2019 Поделиться Опубликовано 29 июля, 2019 Тест на витальность что показывает? 2 Ссылка на комментарий
AndyAndy Опубликовано 29 июля, 2019 Поделиться Опубликовано 29 июля, 2019 Тест на витальность что показывает?+1. Тест с большой долей вероятности покажет пародонтальная проблема или периапикальный очаг Ссылка на комментарий
DmitrySH Опубликовано 30 июля, 2019 Поделиться Опубликовано 30 июля, 2019 . А потом убрать "остатки", если себя не оправдают, и заимплантировать.. Эти полумеры с гемисекцией будут иметь достаточно сомнительные перспективы. Если брать во внимание финансовую сторону вопроса, то лучше один раз поставить 2 импланта. 1 Ссылка на комментарий
kladoffka Опубликовано 8 августа, 2019 Поделиться Опубликовано 8 августа, 2019 Уважаемые коллеги. Подскажите, тактику лечения в данном клиническом случае. Проверьте по окклюзии. Подозреваю что есть суперконтакт. Попробуйте его пришлифофать. При условии витальности зуба . Ссылка на комментарий
Павел7809 Опубликовано 9 августа, 2019 Поделиться Опубликовано 9 августа, 2019 я бы больше за соседний зуб беспокоился, можно и его потерять. Ну а тут удаление... Ссылка на комментарий
Рекомендуемые сообщения
Для публикации сообщений создайте учётную запись или авторизуйтесь
Вы должны быть пользователем, чтобы оставить комментарий
Создать аккаунт
Зарегистрируйте новый аккаунт в нашем сообществе. Это очень просто!
Регистрация нового пользователяВойти
Уже есть аккаунт? Войти в систему.
Войти